Telefon:
+49 (0)241 95 163 153
Fax:
+49 (0)241 95 163 155
E-Mail:
orders@antikoerper-online.de

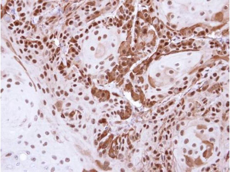
DDB1 Antikörper (C-Term)

Der Kaninchen Polyklonal anti-DDB1 Antikörper wird verwendet zum Nachweis von DDB1 in Proben von Human. Er wurde validiert für WB, IF, ICC und IHC (p).
Produktnummer ABIN2857079
583,17 €
Zzgl. Versandkosten 20,00 € und MwSt
100 μL
Lieferung nach: Deutschland
Lieferung in 7 bis 10 Werktagen

Kurzübersicht für DDB1 Antikörper (C-Term) (ABIN2857079)

Target

Alle DDB1 Antikörper anzeigen
DDB1 (Damage Specific DNA Binding Protein 1 (DDB1))

Reaktivität

  • 59
  • 36
  • 32
  • 2
  • 2
  • 1
  • 1
  • 1
  • 1
Human

Wirt

  • 49
  • 9
  • 1
Kaninchen

Klonalität

  • 36
  • 23
Polyklonal

Konjugat

  • 39
  • 3
  • 2
  • 2
  • 2
  • 2
  • 2
  • 2
  • 2
  • 1
  • 1
  • 1
Dieser DDB1 Antikörper ist unkonjugiert

Applikation

  • 44
  • 26
  • 24
  • 17
  • 15
  • 11
  • 10
  • 3
  • 2
  • 2
  • 2
  • 2
  • 1
  • 1
Western Blotting (WB), Immunofluorescence (IF), Immunocytochemistry (ICC), Immunohistochemistry (Paraffin-embedded Sections) (IHC (p))

Güteklasse

KO Validated
  • Bindungsspezifität

    • 9
    • 5
    • 2
    • 2
    • 1
    • 1
    • 1
    • 1
    • 1
    • 1
    • 1
    • 1
    • 1
    C-Term

    Kreuzreaktivität

    Human, Maus, Ratte

    Produktmerkmale

    Rabbit Polyclonal antibody to DDB1 (damage-specific DNA binding protein 1, 127 kDa)
    DDB1 antibody

    Aufreinigung

    Purified by antigen-affinity chromatography.

    Immunogen

    Recombinant protein encompassing a sequence within the C-terminus region of human DDB1. The exact sequence is proprietary.

    Isotyp

    IgG
  • Applikationshinweise

    WB: 1:500-1:10000. ICC/IF: 1:100-1:1000. IHC-P: 1:100-1:1000. Optimal dilutions/concentrations should be determined by the researcher. Not tested in other applications.

    Kommentare

    Positive Control: NIH-3T3 , Mouse brain , PC-12 , Rat2 , rat brain , 293T

    Validation: KO/KD

    Beschränkungen

    Nur für Forschungszwecke einsetzbar
  • Format

    Liquid

    Konzentration

    0.34 mg/mL

    Buffer

    1XPBS ( pH 7), 1 % BSA, 20 % Glycerol, 0.025 % ProClin 300

    Konservierungsmittel

    ProClin

    Vorsichtsmaßnahmen

    This product contains ProClin: a POISONOUS AND HAZARDOUS SUBSTANCE which should be handled by trained staff only.

    Lagerung

    4 °C,-20 °C

    Informationen zur Lagerung

    Store as concentrated solution. Centrifuge briefly prior to opening vial. For short-term storage (1-2 weeks), store at 4°C. For long-term storage, aliquot and store at -20°C or below. Avoid multiple freeze-thaw cycles.
  • Target

    DDB1 (Damage Specific DNA Binding Protein 1 (DDB1))

    Andere Bezeichnung

    damage specific DNA binding protein 1

    Hintergrund

    This gene encodes the large subunit of DNA damage-binding protein which is a heterodimer composed of a large and a small subunit. This protein functions in nucleotide-excision repair. Its defective activity causes the repair defect in the patients with xeroderma pigmentosum complementation group E (XPE). However, it remains for mutation analysis to demonstrate whether the defect in XPE patients is in this gene or the gene encoding the small subunit. In addition, Best vitelliform mascular dystrophy is mapped to the same region as this gene on 11q, but no sequence alternations of this gene are demonstrated in Best disease patients.

    Cellular Localization: Cytoplasm , Nucleus

    Molekulargewicht

    127 kDa

    Gen-ID

    1642

    UniProt

    Q16531

    Pathways

    DNA Reparatur
Sie sind hier:
Chat with us!