Telefon:
+49 (0)241 95 163 153
Fax:
+49 (0)241 95 163 155
E-Mail:
orders@antikoerper-online.de

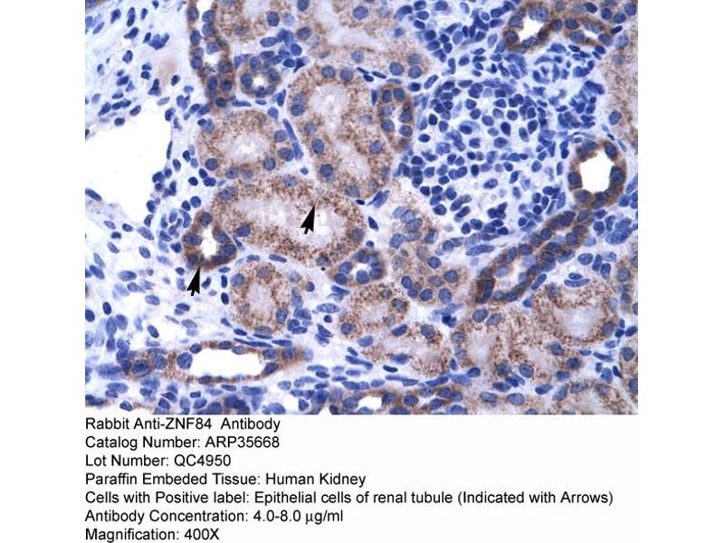
ZNF84 Antikörper (C-Term)

Dieser Kaninchen Polyklonal Antikörper detektiert spezifisch ZNF84 in WB und IHC. Es zeigt Reaktivität gegenüber Proben von Human, Maus, Ratte, Rind (Kuh), Pferd, Hund, Kaninchen und Schwein.
Produktnummer ABIN2776393
470,22 €
Zzgl. Versandkosten 20,00 € und MwSt
Lieferung nach: Deutschland
Lieferung in 6 bis 9 Werktagen

Kurzübersicht für ZNF84 Antikörper (C-Term) (ABIN2776393)

Target

Alle ZNF84 Antikörper anzeigen
ZNF84 (Zinc Finger Protein 84 (ZNF84))

Reaktivität

  • 5
  • 3
  • 2
  • 2
  • 2
  • 2
  • 2
  • 1
  • 1
  • 1
  • 1
  • 1
  • 1
Human, Maus, Ratte, Rind (Kuh), Pferd, Hund, Kaninchen, Schwein

Wirt

  • 4
  • 1
Kaninchen

Klonalität

  • 5
Polyklonal

Konjugat

  • 5
Dieser ZNF84 Antikörper ist unkonjugiert

Applikation

  • 4
  • 1
  • 1
  • 1
Western Blotting (WB), Immunohistochemistry (IHC)
  • Bindungsspezifität

    • 2
    • 1
    • 1
    C-Term

    Sequenz

    RKAFSQKSQL VNHQRIHTGE KPYRCIECGK AFSQKSQLIN HQRTHTVKKS

    Homologie

    Cow: 100%, Dog: 100%, Horse: 93%, Human: 100%, Mouse: 92%, Pig: 90%, Rabbit: 100%, Rat: 83%

    Produktmerkmale

    This is a rabbit polyclonal antibody against ZNF84. It was validated on Western Blot and immunohistochemistry.

    Aufreinigung

    Protein A purified

    Immunogen

    The immunogen is a synthetic peptide directed towards the C terminal region of human ZNF84
  • Applikationshinweise

    Optimal working dilutions should be determined experimentally by the investigator.

    Kommentare

    Antigen size: 738 AA

    Beschränkungen

    Nur für Forschungszwecke einsetzbar
  • Format

    Liquid

    Konzentration

    Lot specific

    Buffer

    Liquid. Purified antibody supplied in 1x PBS buffer with 0.09 % (w/v) sodium azide and 2 % sucrose.

    Konservierungsmittel

    Sodium azide

    Vorsichtsmaßnahmen

    This product contains Sodium azide: a POISONOUS AND HAZARDOUS SUBSTANCE which should be handled by trained staff only.

    Handhabung

    Avoid repeated freeze-thaw cycles.

    Lagerung

    -20 °C

    Informationen zur Lagerung

    For short term use, store at 2-8°C up to 1 week. For long term storage, store at -20°C in small aliquots to prevent freeze-thaw cycles.
  • Target

    ZNF84 (Zinc Finger Protein 84 (ZNF84))

    Andere Bezeichnung

    ZNF84

    Hintergrund

    ZNF84, a gene located on chromosome 12, encodes a zinc finger protein whose function is undescribed.
    Alias Symbols: HPF2
    Protein Interaction Partner: UBC,
    Protein Size: 738

    Molekulargewicht

    85 kDa

    Gen-ID

    7637

    NCBI Accession

    NM_003428, NP_003419

    UniProt

    P51523
Sie sind hier:
Chat with us!