Telefon:
+49 (0)241 95 163 153
Fax:
+49 (0)241 95 163 155
E-Mail:
orders@antikoerper-online.de

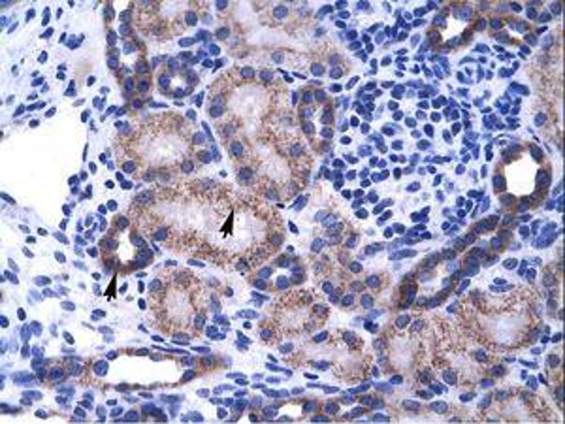
ZNF84 Antikörper (C-Term)

Der Kaninchen Polyklonal anti-ZNF84 Antikörper (ABIN202890) detektiert spezifisch ZNF84 in WB, IHC und IHC (p). Dieser Antikörper reagiert spezifisch mit Proben aus Human, Affe und Xenopus laevis.
Produktnummer ABIN202890
741,67 €
Zzgl. Versandkosten 20,00 € und MwSt
100 μL
Lieferung nach: Deutschland
Lieferung in 15 bis 20 Werktagen

Kurzübersicht für ZNF84 Antikörper (C-Term) (ABIN202890)

Target

Alle ZNF84 Antikörper anzeigen
ZNF84 (Zinc Finger Protein 84 (ZNF84))

Reaktivität

  • 5
  • 4
  • 3
  • 3
  • 3
  • 2
  • 2
  • 2
  • 2
  • 1
  • 1
  • 1
Human, Affe, Xenopus laevis

Wirt

  • 4
  • 1
Kaninchen

Klonalität

  • 5
Polyklonal

Konjugat

  • 5
Dieser ZNF84 Antikörper ist unkonjugiert

Applikation

Western Blotting (WB), Immunohistochemistry (IHC), Immunohistochemistry (Paraffin-embedded Sections) (IHC (p))
  • Bindungsspezifität

    • 2
    • 1
    • 1
    C-Term

    Spezifität

    Human ZNF84

    Homologie

    Percent identity by BLAST analysis: Human (100%) Horse (92%).

    Aufreinigung

    Protein A purified

    Immunogen

    Synthetic peptide from C-Terminus of human ZNF84 (P51523, NP_003419). Percent identity by BLAST analysis: Human, Chimpanzee, Gorilla, Gibbon, Monkey, Galago, Marmoset, Xenopus (100%), Orangutan, Horse (92%), Mouse (91%), Rat (83%).

    Type of Immunogen: Synthetic peptide

    Isotyp

    IgG
  • Applikationshinweise

    Approved: IHC, IHC-P, WB (1.25 μg/mL)

    Kommentare

    Target Species of Antibody: Human

    Beschränkungen

    Nur für Forschungszwecke einsetzbar
  • Format

    Lyophilized

    Rekonstitution

    After adding water, will consist of PBS buffer with 2 % sucrose

    Konzentration

    Lot specific

    Buffer

    Lyophilized from PBS with 2 % sucrose

    Handhabung

    Avoid repeat freeze-thaw cycles.

    Lagerung

    4 °C,-20 °C

    Informationen zur Lagerung

    Long term: -20°C, the use of 50% glycerol is recommended if storing aliquots in -20°C for long term use (up to 1 year)
    Short term (less than 1 week): 4°C. Avoid freeze-thaw cycles.
  • Target

    ZNF84 (Zinc Finger Protein 84 (ZNF84))

    Andere Bezeichnung

    ZNF84

    Hintergrund

    Name/Gene ID: ZNF84
    Family: Zinc Finger

    Synonyms: ZNF84, Zinc finger protein 84, Zinc finger protein 84 (HPF2), Zinc finger protein HPF2, HPF2

    Gen-ID

    7637

    NCBI Accession

    NP_003419

    UniProt

    P51523
Sie sind hier:
Chat with us!