×
Aktivieren Sie Javascript in Ihrem Browser, um unsere Webseite optimal zu nutzen.
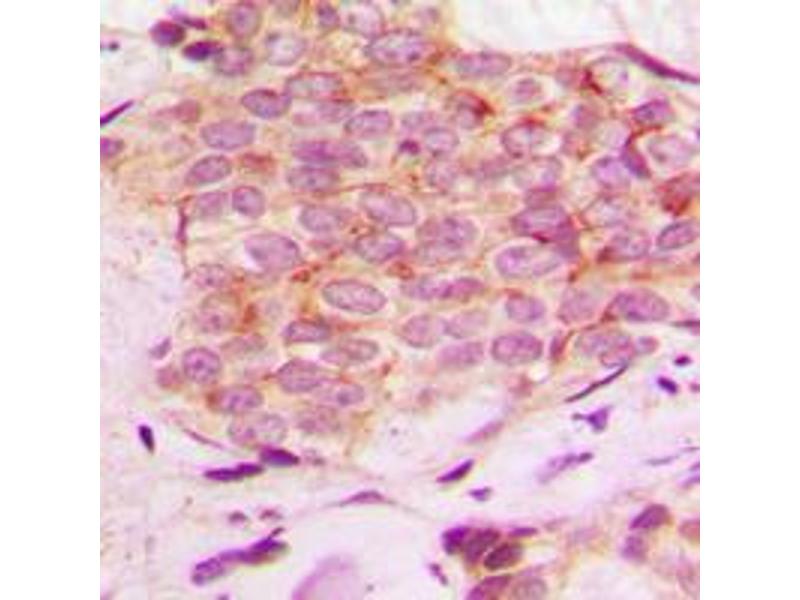
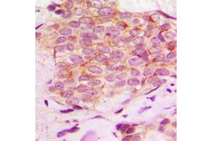
Mammaglobin A Antikörper (Center)
Der Kaninchen Polyklonal anti-Mammaglobin A Antikörper (ABIN7296292) detektiert spezifisch Mammaglobin A in WB, IHC und IF.
Dieser Antikörper reagiert spezifisch mit Proben aus Human, Ratte und Maus.
Produktnummer ABIN7296292
330,77 €
Zzgl. Versandkosten 20,00 € und MwSt
30 μL ABIN7296293
50 μL ABIN7681032
100 μL ABIN7296292
200 μL ABIN2706503
30 μL ABIN7296293
50 μL ABIN7681032
100 μL ABIN7296292
200 μL ABIN2706503
Lieferung in 17 bis 20 Werktagen
Kurzübersicht für Mammaglobin A Antikörper (Center) (ABIN7296292)
Target
Alle Mammaglobin A (SCGB2A2) Antikörper anzeigen
Mammaglobin A (SCGB2A2)
(Secretoglobin, Family 2A, Member 2 (SCGB2A2))
Reaktivität
Alle Reaktivitäten für Mammaglobin A Antikörper
Human, Ratte, Maus
Wirt
Alle Wirte für Mammaglobin A Antikörper
Kaninchen
Klonalität
Alle Klonalitäten für Mammaglobin A Antikörper
Polyklonal
Konjugat
Alle Konjugate für Mammaglobin A Antikörper
Dieser Mammaglobin A Antikörper ist unkonjugiert
Applikation
Alle Applikationen für Mammaglobin A Antikörper
Western Blotting (WB), Immunohistochemistry (IHC), Immunofluorescence (IF)
Produktdetails anti-Mammaglobin A Antikörper
(ausblenden)
Bindungsspezifität
Alle Epitope für Mammaglobin A Antikörper
Center
Verwendungszweck
Rabbit polyclonal antibody to Mammaglobin A
Spezifität
Recognizes endogenous levels of Mammaglobin A protein.
Produktmerkmale
Rabbit polyclonal antibody to Mammaglobin A
Aufreinigung
The antibody was purified by immunogen affinity chromatography.
Immunogen
KLH-conjugated synthetic peptide encompassing a sequence within the center region of human Mammaglobin A. The exact sequence is proprietary.
Alternativen
(anzeigen)
Anwendungsinformationen
(ausblenden)
Applikationshinweise
WB (1/500 - 1/1000), IH (1/100 - 1/200), IF/IC (1/100 - 1/500)
Beschränkungen
Nur für Forschungszwecke einsetzbar
Handhabung
(ausblenden)
Format
Liquid
Buffer
Liquid in 0.42 % Potassium phosphate, 0.87 % Sodium chloride, pH 7.3, 30 % glycerol, and 0.01 % sodium azide.
Konservierungsmittel
Sodium azide
Vorsichtsmaßnahmen
This product contains Sodium azide: a POISONOUS AND HAZARDOUS SUBSTANCE which should be handled by trained staff only.
Lagerung
-20 °C
Informationen zur Lagerung
Shipped at 4°C. Upon delivery aliquot and store at -20°C for one year. Avoid freeze/thaw cycles.
Haltbarkeit
12 months
Details zu Mammaglobin A
(ausblenden)
Target
Mammaglobin A (SCGB2A2)
(Secretoglobin, Family 2A, Member 2 (SCGB2A2))
Andere Bezeichnung
Mammaglobin A
Hintergrund
MGB1, UGB2, Mammaglobin-A, Mammaglobin-1, Secretoglobin family 2A member 2
Gen-ID
4250, 361725
UniProt
Q13296
Zuletzt angesehen
(ausblenden)
Sie sind hier:
Startseite
anti-Mammaglobin A Antikörper (Center) (ABIN7296292)
Chat with us , powered by LiveChat