Telefon:
+49 (0)241 95 163 153
Fax:
+49 (0)241 95 163 155
E-Mail:
orders@antikoerper-online.de

Mammaglobin A Antikörper

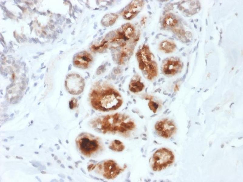
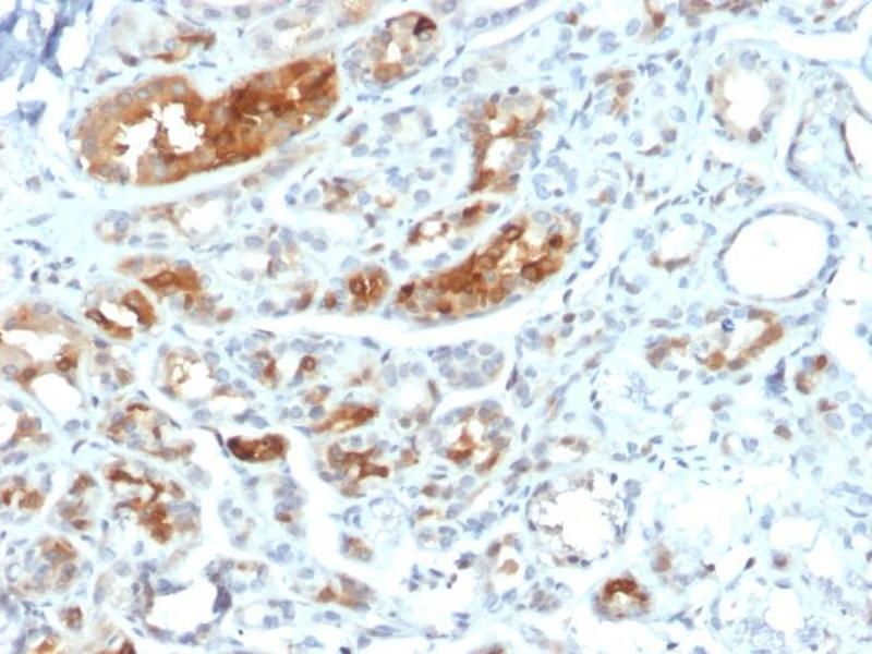
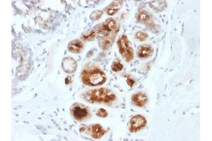
Der Maus Monoklonal anti-Mammaglobin A Antikörper (Klon MGB1-2000) (ABIN6940036) detektiert spezifisch Mammaglobin A in WB, IHC und StM. Dieser Antikörper reagiert spezifisch mit Proben aus Human.
Produktnummer ABIN6940036
639,45 €
Zzgl. Versandkosten 20,00 € und MwSt
Lieferung nach: Deutschland
Lieferung in 6 bis 10 Werktagen

Kurzübersicht für Mammaglobin A Antikörper (ABIN6940036)

Target

Alle Mammaglobin A (SCGB2A2) Antikörper anzeigen
Mammaglobin A (SCGB2A2) (Secretoglobin, Family 2A, Member 2 (SCGB2A2))

Reaktivität

  • 63
  • 33
  • 19
  • 2
  • 1
Human

Wirt

  • 77
  • 19
  • 1
Maus

Klonalität

  • 60
  • 36
Monoklonal

Konjugat

  • 36
  • 6
  • 3
  • 3
  • 3
  • 3
  • 3
  • 3
  • 3
  • 3
  • 3
  • 3
  • 3
  • 3
  • 3
  • 2
  • 2
  • 2
  • 2
  • 2
  • 2
  • 1
  • 1
  • 1
Dieser Mammaglobin A Antikörper ist unkonjugiert

Applikation

  • 48
  • 39
  • 39
  • 26
  • 23
  • 17
  • 10
  • 10
  • 5
  • 3
  • 3
  • 2
  • 1
  • 1
Western Blotting (WB), Immunohistochemistry (IHC), Staining Methods (StM)

Klon

MGB1-2000
  • Aufreinigung

    Purified by Protein A/G

    Immunogen

    Recombinant full-length human Mammaglobin (SCGB2A2) protein

    Isotyp

    IgG1 kappa
  • Applikationshinweise

    Positive Control: HeLa, MCF-7, SK-BR3 and T47D cells or Breast Carcinoma.

    Known Application: Western Blot (1-2 μg/mL),Immunohistochemistry (Formalin-fixed) (1-2 μg/mL for 30 min at RT),(Staining of formalin-fixed tissues requires boiling tissue sections in 10 mM citrate buffer, pH 6.0, for 10-20 min followed by cooling at RT for 20 minutes),Optimal dilution for a specific application should be determined.

    Beschränkungen

    Nur für Forschungszwecke einsetzbar
  • Konzentration

    200 μg/mL

    Buffer

    10 mM PBS with 0.05 % BSA & 0.05 % azide.

    Konservierungsmittel

    Sodium azide

    Vorsichtsmaßnahmen

    This product contains Sodium azide: a POISONOUS AND HAZARDOUS SUBSTANCE which should be handled by trained staff only.

    Lagerung

    4 °C,-80 °C

    Informationen zur Lagerung

    Antibody with azide - store at 2 to 8°C. Antibody without azide - store at -20 to -80°C. Antibody is stable for 24 months. Non-hazardous. No MSDS required.

    Haltbarkeit

    24 months
  • Target

    Mammaglobin A (SCGB2A2) (Secretoglobin, Family 2A, Member 2 (SCGB2A2))

    Andere Bezeichnung

    SCGB2A2

    Hintergrund

    Mammaglobin is a 93 amino acid glycoprotein with homology to other secretoglobin-uteroglobin family members. It was originally identified as a breast cancer restricted biomarker by differential screening. Mammaglobin related to secretoglobin family that includes human uteroglobin and lipophilin. Mammaglobin antibody stains cytoplasm of normal breast epithelial cells as well as primary and metastatic breast carcinomas. Mammaglobin expression is absent in prostate, kidney, colon, rectum, small intestine, stomach, pancreas, lung, and thyroid tissues. Mammaglobin may be used as part of an immunohistochemical panel for determination of metastatic breast carcinoma and tumor of unknown primary origin.

    Molekulargewicht

    18kDa

    Gen-ID

    4250

    UniProt

    Q13296
Sie sind hier:
Chat with us!