Telefon:
+49 (0)241 95 163 153
Fax:
+49 (0)241 95 163 155
E-Mail:
orders@antikoerper-online.de

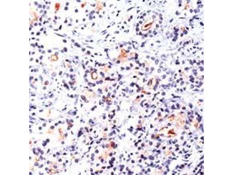
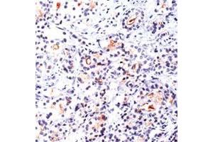
PSMA Antikörper (C-Term)

Der Kaninchen Polyklonal anti-PSMA Antikörper wird verwendet zum Nachweis von PSMA in Proben von Human. Er wurde validiert für IHC.
Produktnummer ABIN2470727
877,25 €
Zzgl. Versandkosten 20,00 € und MwSt
250 μL
Lieferung nach: Deutschland
Lieferung in 6 bis 9 Werktagen

Kurzübersicht für PSMA Antikörper (C-Term) (ABIN2470727)

Target

Alle PSMA (FOLH1) Antikörper anzeigen
PSMA (FOLH1) (Folate Hydrolase (Prostate-Specific Membrane Antigen) 1 (FOLH1))

Reaktivität

  • 129
  • 11
  • 9
  • 5
  • 4
  • 4
  • 3
  • 3
  • 2
  • 2
  • 1
  • 1
Human

Wirt

  • 60
  • 58
  • 12
  • 1
  • 1
Kaninchen

Klonalität

  • 97
  • 32
  • 3
Polyklonal

Konjugat

  • 81
  • 6
  • 5
  • 5
  • 3
  • 2
  • 2
  • 2
  • 2
  • 2
  • 2
  • 2
  • 2
  • 2
  • 2
  • 2
  • 2
  • 2
  • 2
  • 1
  • 1
  • 1
  • 1
Dieser PSMA Antikörper ist unkonjugiert

Applikation

  • 71
  • 62
  • 35
  • 18
  • 18
  • 18
  • 16
  • 10
  • 9
  • 5
  • 3
  • 2
  • 2
  • 2
  • 1
  • 1
  • 1
  • 1
  • 1
Immunohistochemistry (IHC)
Sie sind hier:
Chat with us!