Telefon:
+49 (0)241 95 163 153
Fax:
+49 (0)241 95 163 155
E-Mail:
orders@antikoerper-online.de

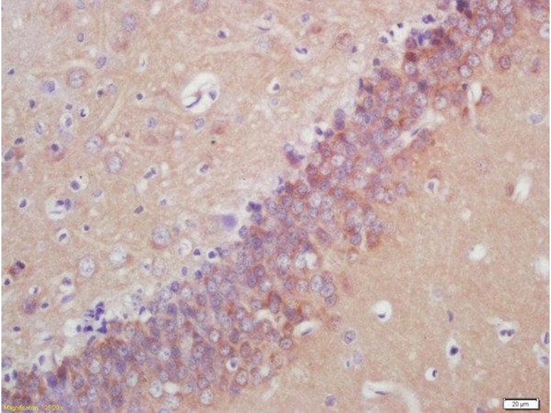
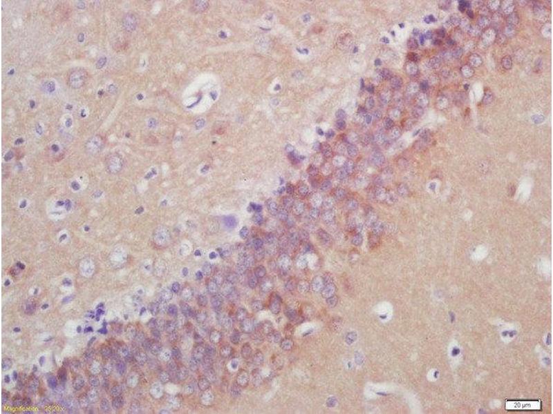
SPRN Antikörper (AA 100-147)

Dieser Kaninchen Polyklonal Antikörper detektiert spezifisch SPRN in WB, ELISA, IF (cc), IF (p), IHC (p) und IHC (fro). Es zeigt Reaktivität gegenüber Proben von Maus und Ratte.
Produktnummer ABIN2179405
357,70 €
Zzgl. Versandkosten 20,00 € und MwSt
100 μL
Lieferung nach: Deutschland
Lieferung in 8 bis 12 Werktagen

Kurzübersicht für SPRN Antikörper (AA 100-147) (ABIN2179405)

Target

Alle SPRN Antikörper anzeigen
SPRN (Shadow of Prion Protein (SPRN))

Reaktivität

  • 23
  • 22
  • 15
  • 2
  • 2
  • 1
  • 1
  • 1
  • 1
  • 1
Maus, Ratte

Wirt

  • 37
Kaninchen

Klonalität

  • 37
Polyklonal

Konjugat

  • 11
  • 3
  • 2
  • 2
  • 1
  • 1
  • 1
  • 1
  • 1
  • 1
  • 1
  • 1
  • 1
  • 1
  • 1
  • 1
  • 1
  • 1
  • 1
  • 1
  • 1
  • 1
  • 1
Dieser SPRN Antikörper ist unkonjugiert

Applikation

  • 29
  • 12
  • 12
  • 11
  • 10
  • 5
  • 2
Western Blotting (WB), ELISA, Immunofluorescence (Cultured Cells) (IF (cc)), Immunofluorescence (Paraffin-embedded Sections) (IF (p)), Immunohistochemistry (Paraffin-embedded Sections) (IHC (p)), Immunohistochemistry (Frozen Sections) (IHC (fro))
  • Bindungsspezifität

    • 14
    • 10
    • 5
    • 2
    • 1
    • 1
    AA 100-147

    Homologie

    Mouse,Rat

    Aufreinigung

    Purified by Protein A.

    Immunogen

    KLH conjugated synthetic peptide derived from mouse Shadow(CT)

    Isotyp

    IgG
  • Applikationshinweise

    WB 1:100-1000
    IHC-P 1:100-500
    IF(IHC-P) 1:50-200

    Beschränkungen

    Nur für Forschungszwecke einsetzbar
  • Format

    Liquid

    Konzentration

    1 μg/μL

    Buffer

    0.01M TBS( pH 7.4) with 1 % BSA, 0.02 % Proclin300 and 50 % Glycerol.

    Konservierungsmittel

    Sodium azide

    Vorsichtsmaßnahmen

    This product contains Sodium azide: a POISONOUS AND HAZARDOUS SUBSTANCE, which should be handled by trained staff only.

    Lagerung

    4 °C,-20 °C

    Informationen zur Lagerung

    Shipped at 4°C. Store at -20°C for one year. Avoid repeated freeze/thaw cycles.

    Haltbarkeit

    12 months
  • Target

    SPRN (Shadow of Prion Protein (SPRN))

    Andere Bezeichnung

    Sprn

    Hintergrund

    Synonyms: C630041J07, Shadow of prion protein, Protein shadoo, Sprn, Gm169

    Background: Prion-like protein that has PrP(C)-like neuroprotective activity. May act as a modulator for the biological actions of normal and abnormal PrP.

    Gen-ID

    212518

    UniProt

    Q8BWU1
Sie sind hier:
Chat with us!