Sialoadhesin/CD169 Antikörper (AA 851-950)
Kurzübersicht für Sialoadhesin/CD169 Antikörper (AA 851-950) (ABIN2179210)
Target
Alle Sialoadhesin/CD169 (SIGLEC1) Antikörper anzeigenReaktivität
Wirt
Klonalität
Konjugat
Applikation
-
-
Bindungsspezifität
- AA 851-950
-
Kreuzreaktivität
- Human, Ratte
-
Aufreinigung
- Purified by Protein A.
-
Immunogen
- KLH conjugated synthetic peptide derived from human Sialoadhesin
-
Isotyp
- IgG
-
-
-
-
Applikationshinweise
-
ELISA 1:500-1000
FCM 1:20-100
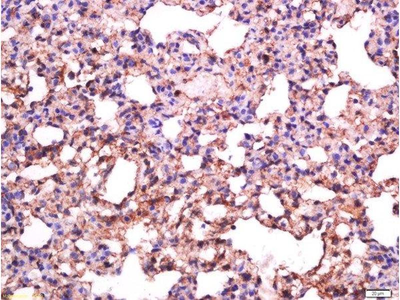
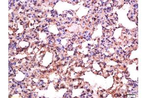
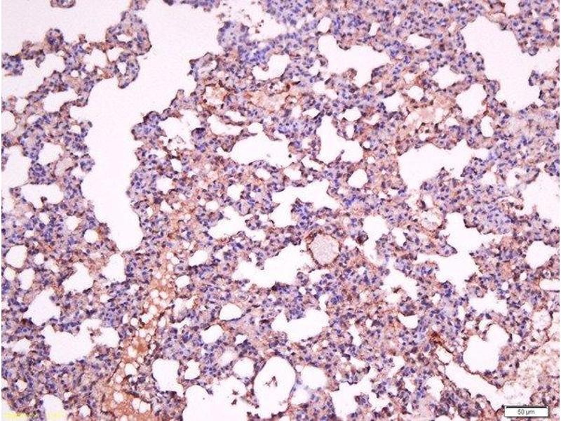
IHC-P 1:200-400
IHC-F 1:100-500
IF(IHC-P) 1:50-200
IF(IHC-F) 1:50-200
IF(ICC) 1:50-200
ICC 1:100-500 -
Beschränkungen
- Nur für Forschungszwecke einsetzbar
-
-
-
Format
- Liquid
-
Konzentration
- 1 μg/μL
-
Buffer
- 0.01M TBS( pH 7.4) with 1 % BSA, 0.02 % Proclin300 and 50 % Glycerol.
-
Konservierungsmittel
- ProClin
-
Vorsichtsmaßnahmen
- This product contains ProClin: a POISONOUS AND HAZARDOUS SUBSTANCE, which should be handled by trained staff only.
-
Lagerung
- 4 °C,-20 °C
-
Informationen zur Lagerung
- Shipped at 4°C. Store at -20°C for one year. Avoid repeated freeze/thaw cycles.
-
Haltbarkeit
- 12 months
-
-
- Sialoadhesin/CD169 (SIGLEC1) (Sialic Acid Binding Ig-Like Lectin 1, Sialoadhesin (SIGLEC1))
-
Andere Bezeichnung
- Sialoadhesin
-
Hintergrund
-
Synonyms: SN, CD169, SIGLEC-1, dJ1009E24.1, Sialoadhesin, Sialic acid-binding Ig-like lectin 1, SIGLEC1
Background: Acts as an endocytic receptor mediating clathrin dependent endocytosis. Macrophage-restricted adhesion molecule that mediates sialic-acid dependent binding to lymphocytes, including granulocytes, monocytes, natural killer cells, B-cells and CD8 T-cells. Preferentially binds to alpha-2,3-linked sialic acid (By similarity). Binds to SPN/CD43 on T-cells (By similarity). May play a role in hemopoiesis.
-
Gen-ID
- 6614
-
UniProt
- Q9BZZ2
Target
-