Telefon:
+49 (0)241 95 163 153
Fax:
+49 (0)241 95 163 155
E-Mail:
orders@antikoerper-online.de

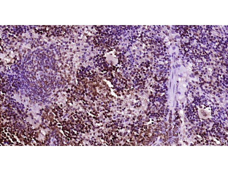
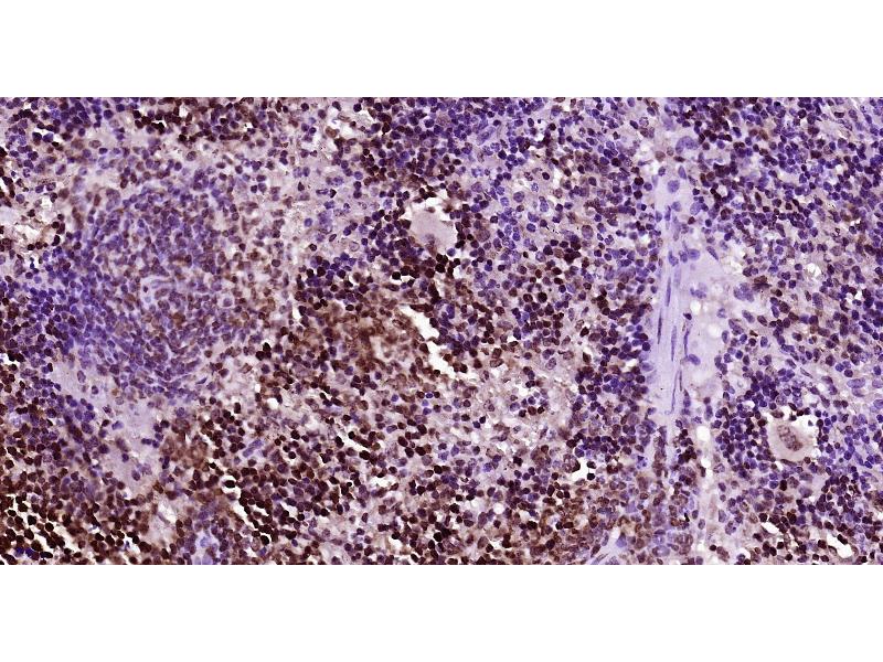
NK-1.1/CD161c Antikörper (AA 101-200)

Zitiert in 3+ Publikationen. Der Kaninchen Polyklonal anti-NK-1.1/CD161c Antikörper (ABIN2172711) detektiert spezifisch NK-1.1/CD161c in FACS, WB, IF (cc), IHC (p) und ELISA. Dieser Antikörper reagiert spezifisch mit Proben aus Maus und Human.
Produktnummer ABIN2172711
357,70 €
Zzgl. Versandkosten 20,00 € und MwSt
100 μL
Lieferung nach: Deutschland
Lieferung in 8 bis 12 Werktagen

Kurzübersicht für NK-1.1/CD161c Antikörper (AA 101-200) (ABIN2172711)

Target

NK-1.1/CD161c (NK-1.1)

Reaktivität

  • 68
  • 15
  • 1
Maus, Human

Wirt

  • 49
  • 16
  • 4
Kaninchen

Klonalität

  • 52
  • 15
  • 2
Polyklonal

Konjugat

  • 14
  • 6
  • 6
  • 5
  • 5
  • 4
  • 2
  • 2
  • 2
  • 2
  • 2
  • 1
  • 1
  • 1
  • 1
  • 1
  • 1
  • 1
  • 1
  • 1
  • 1
  • 1
  • 1
  • 1
  • 1
  • 1
  • 1
  • 1
  • 1
  • 1
Dieser NK-1.1/CD161c Antikörper ist unkonjugiert

Applikation

  • 60
  • 16
  • 12
  • 11
  • 8
  • 6
  • 5
  • 5
  • 3
  • 3
  • 3
  • 3
  • 3
  • 2
  • 1
  • 1
  • 1
  • 1
  • 1
  • 1
  • 1
Flow Cytometry (FACS), Western Blotting (WB), Immunofluorescence (Cultured Cells) (IF (cc)), Immunohistochemistry (Paraffin-embedded Sections) (IHC (p)), ELISA
  • Bindungsspezifität

    • 15
    • 1
    AA 101-200

    Kreuzreaktivität

    Human, Maus

    Homologie

    Rat

    Aufreinigung

    Purified by Protein A.

    Immunogen

    KLH conjugated synthetic peptide derived from mouse CD161/NK1.1

    Isotyp

    IgG
  • Applikationshinweise

    WB 1:300-5000
    ELISA 1:500-1000
    FCM 1:20-100
    IHC-P 1:200-400
    IF(ICC) 1:50-200

    Beschränkungen

    Nur für Forschungszwecke einsetzbar
  • Format

    Liquid

    Konzentration

    1 μg/μL

    Buffer

    0.01M TBS( pH 7.4) with 1 % BSA, 0.02 % Proclin300 and 50 % Glycerol.

    Konservierungsmittel

    ProClin

    Vorsichtsmaßnahmen

    This product contains ProClin: a POISONOUS AND HAZARDOUS SUBSTANCE, which should be handled by trained staff only.

    Lagerung

    4 °C,-20 °C

    Informationen zur Lagerung

    Shipped at 4°C. Store at -20°C for one year. Avoid repeated freeze/thaw cycles.

    Haltbarkeit

    12 months
  • Liu, Lu, Chen, Zhang, Wang, Li, Zhang: "B-cell leukemia/lymphoma 10 promotes angiogenesis in an experimental corneal neovascularization model." in: Eye (London, England), Vol. 32, Issue 7, pp. 1220-1231, (2019) (PubMed).

    Cheekatla, Tripathi, Venkatasubramanian, Nathella, Paidipally, Ishibashi, Welch, Tvinnereim, Ikebe, Valluri, Babu, Kornfeld, Vankayalapati: "NK-CD11c+ Cell Crosstalk in Diabetes Enhances IL-6-Mediated Inflammation during Mycobacterium tuberculosis Infection." in: PLoS pathogens, Vol. 12, Issue 10, pp. e1005972, (2016) (PubMed).

  • Target

    NK-1.1/CD161c (NK-1.1)

    Andere Bezeichnung

    CD161c/NK1.1

    Hintergrund

    Synonyms: Nk1, Ly59, Nk-1, CD161, Ly-59, Ly55c, NK1.1, NKRP1, Nk1.2, NK-RP1, Nk-1.2, Nkrp1c, ly-55c, NKRP14, AI462337, NKR-P1.9, Killer cell lectin-like receptor subfamily B member 1C, CD161 antigen-like family member C, Lymphocyte antigen 55c, NKR-P1C, Natural killer cell surface protein P1-4, NKR-P1 4, CD161c, Klrb1c

    Background: Plays a stimulatory role on natural killer (NK) cells cytotoxicity. Activation by cross-linking of the receptor induces Ca(2+) mobilization and interferon-gamma production.

    Gen-ID

    17059

    UniProt

    P27814
Sie sind hier:
Chat with us!