Telefon:
+49 (0)241 95 163 153
Fax:
+49 (0)241 95 163 155
E-Mail:
orders@antikoerper-online.de

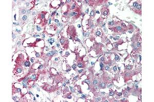
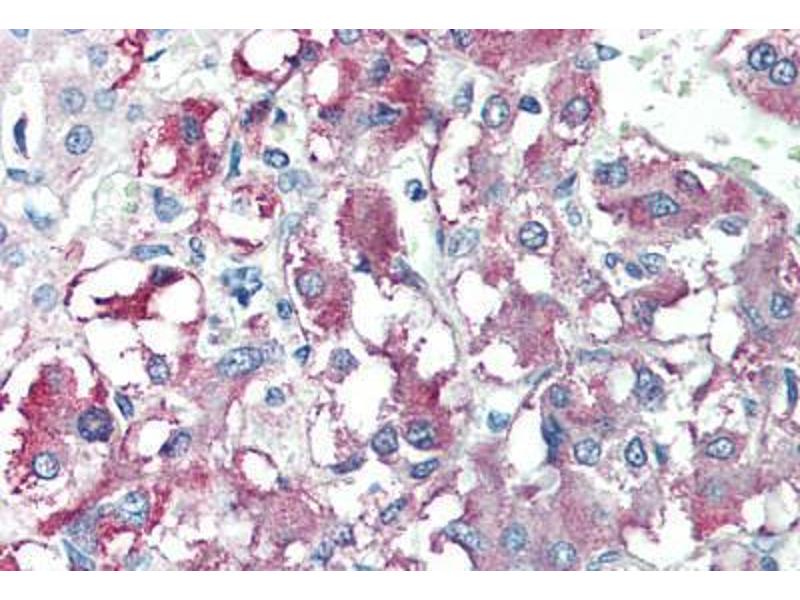
CARD9 Antikörper (AA 521-536)

Der Kaninchen Polyklonal anti-CARD9 Antikörper (ABIN214431) detektiert spezifisch CARD9 in WB, IHC, ICC und IHC (p). Dieser Antikörper reagiert spezifisch mit Proben aus Human und Affe.
Produktnummer ABIN214431
610,95 €
Zzgl. Versandkosten 20,00 € und MwSt
50 μg
Lieferung nach: Deutschland
Lieferung in 15 bis 20 Werktagen

Kurzübersicht für CARD9 Antikörper (AA 521-536) (ABIN214431)

Target

Alle CARD9 Antikörper anzeigen
CARD9 (Caspase Recruitment Domain Family, Member 9 (CARD9))

Reaktivität

  • 46
  • 5
  • 4
  • 2
  • 1
  • 1
Human, Affe

Wirt

  • 43
  • 4
Kaninchen

Klonalität

  • 43
  • 4
Polyklonal

Konjugat

  • 27
  • 1
  • 1
  • 1
  • 1
  • 1
  • 1
  • 1
  • 1
  • 1
  • 1
  • 1
  • 1
  • 1
  • 1
  • 1
  • 1
  • 1
  • 1
  • 1
  • 1
Dieser CARD9 Antikörper ist unkonjugiert

Applikation

  • 39
  • 13
  • 13
  • 12
  • 7
  • 7
  • 7
  • 6
  • 3
  • 2
  • 2
  • 1
  • 1
Western Blotting (WB), Immunohistochemistry (IHC), Immunocytochemistry (ICC), Immunohistochemistry (Paraffin-embedded Sections) (IHC (p))
  • Bindungsspezifität

    • 15
    • 4
    • 2
    • 2
    • 2
    • 2
    • 1
    • 1
    • 1
    • 1
    • 1
    • 1
    AA 521-536

    Homologie

    Percent identity by BLAST analysis: Human, Gorilla, Gibbon, Marmoset (100%) Mouse, Elephant, Panda, Dog, Horse, Opossum (94%) Monkey, Rat (88%) Bovine, Turkey, Chicken (81%).

    Aufreinigung

    Immunoaffinity purified

    Isotyp

    IgG
  • Applikationshinweise

    Approved: ICC, IHC, IHC-P (10 μg/mL), WB (0.5 - 1 μg/mL)

    Usage: Immunohistochemistry: This antibody was validated for use in immunohistochemistry on a panel of 21 formalin-fixed, paraffin-embedded (FFPE) human tissues after heat induced antigen retrieval in  pH 6.0 citrate buffer. After incubation with the primary antibody, slides were incubated with biotinylated secondary antibody, followed by alkaline phosphatase-streptavidin and chromogen. The stained slides were evaluated by a pathologist to confirm staining specificity. The optimal working concentration for this antibody was determined to be 10 μg/mL.

    Kommentare

    Target Species of Antibody: Human

    Beschränkungen

    Nur für Forschungszwecke einsetzbar
  • Format

    Liquid

    Konzentration

    Lot specific

    Buffer

    PBS, 0.02 % sodium azide.

    Konservierungsmittel

    Sodium azide

    Vorsichtsmaßnahmen

    This product contains Sodium azide: a POISONOUS AND HAZARDOUS SUBSTANCE which should be handled by trained staff only.

    Handhabung

    avoid freeze thaw cycles. Store undiluted.

    Lagerung

    4 °C,-20 °C

    Informationen zur Lagerung

    Store at 4°C for 3 months and -20°C, stable for up to 1 year. Avoid repeated freeze-thaw cycles.

    Haltbarkeit

    12 months
  • Target

    CARD9 (Caspase Recruitment Domain Family, Member 9 (CARD9))

    Andere Bezeichnung

    CARD9

    Hintergrund

    Name/Gene ID: CARD9
    Family: Apoptosis

    Synonyms: CARD9, CANDF2, HCARD9

    Gen-ID

    64170

    UniProt

    Q9H257

    Pathways

    Activation of Innate immune Response
Sie sind hier:
Chat with us!