Telefon:
+49 (0)241 95 163 153
Fax:
+49 (0)241 95 163 155
E-Mail:
orders@antikoerper-online.de

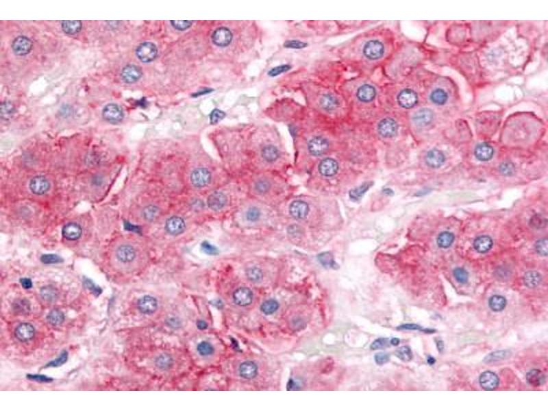
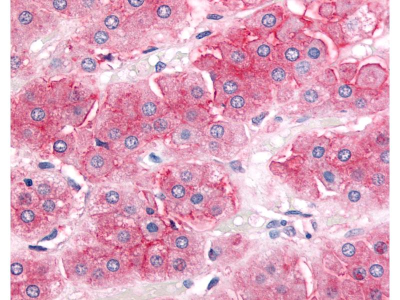
ABCB1 Antikörper (Cytoplasmic Domain)

Dieser Kaninchen Polyklonal Antikörper detektiert spezifisch ABCB1 in IHC und IHC (p). Es zeigt Reaktivität gegenüber Proben von Human.
Produktnummer ABIN213616
534,81 €
Zzgl. Versandkosten 20,00 € und MwSt
50 μg
Lieferung nach: Deutschland
Lieferung in 15 bis 20 Werktagen

Kurzübersicht für ABCB1 Antikörper (Cytoplasmic Domain) (ABIN213616)

Target

Alle ABCB1 Antikörper anzeigen
ABCB1 (ATP-Binding Cassette, Sub-Family B (MDR/TAP), Member 1 (ABCB1))

Reaktivität

  • 110
  • 28
  • 18
  • 8
  • 4
  • 4
  • 3
  • 2
  • 1
  • 1
  • 1
  • 1
  • 1
  • 1
  • 1
  • 1
  • 1
Human

Wirt

  • 58
  • 51
  • 5
Kaninchen

Klonalität

  • 64
  • 50
Polyklonal

Konjugat

  • 71
  • 9
  • 8
  • 7
  • 4
  • 3
  • 2
  • 1
  • 1
  • 1
  • 1
  • 1
  • 1
  • 1
  • 1
  • 1
  • 1
Dieser ABCB1 Antikörper ist unkonjugiert

Applikation

  • 47
  • 36
  • 30
  • 25
  • 23
  • 16
  • 13
  • 9
  • 4
  • 2
  • 1
  • 1
  • 1
  • 1
  • 1
  • 1
Immunohistochemistry (IHC), Immunohistochemistry (Paraffin-embedded Sections) (IHC (p))
  • Bindungsspezifität

    • 6
    • 5
    • 5
    • 4
    • 3
    • 3
    • 2
    • 2
    • 2
    • 2
    • 1
    • 1
    • 1
    • 1
    • 1
    • 1
    • 1
    • 1
    • 1
    • 1
    • 1
    • 1
    • 1
    • 1
    • 1
    • 1
    • 1
    Cytoplasmic Domain

    Spezifität

    Human ABCB1 / MDR1. BLAST analysis of the peptide immunogen showed no homology with other human proteins.

    Homologie

    Percent identity with other species by BLAST analysis: Human, Gorilla, Gibbon (100%) Monkey (94%) Mouse, Hamster (82%).

    Aufreinigung

    Immunoaffinity purified

    Immunogen

    Synthetic 17 amino acid peptide from cytoplasmic domain of human ABCB1 / MDR1. Percent identity with other species by BLAST analysis: Human, Gorilla, Gibbon (100%), Monkey (94%), Mouse, Hamster (82%).

    Type of Immunogen: Synthetic peptide
  • Applikationshinweise

    Approved: IHC, IHC-P (2.5 - 5 μg/mL)

    Usage: Immunohistochemistry: This antibody was validated for use in immunohistochemistry on a panel of 21 formalin-fixed, paraffin-embedded (FFPE) human tissues after heat induced antigen retrieval in  pH 6.0 citrate buffer. After incubation with the primary antibody, slides were incubated with biotinylated secondary antibody, followed by alkaline phosphatase-streptavidin and chromogen. The stained slides were evaluated by a pathologist to confirm staining specificity. The optimal working concentration for this antibody was determined to be 20 μg/mL.

    Kommentare

    Target Species of Antibody: Human

    Beschränkungen

    Nur für Forschungszwecke einsetzbar
  • Format

    Liquid

    Konzentration

    Lot specific

    Buffer

    PBS, less than 0.1 % sodium azide.

    Konservierungsmittel

    Sodium azide

    Vorsichtsmaßnahmen

    This product contains Sodium azide: a POISONOUS AND HAZARDOUS SUBSTANCE which should be handled by trained staff only.

    Lagerung

    4 °C,-20 °C

    Informationen zur Lagerung

    Aliquot and store undiluted at -20°C or below for up to 1 year. Can be stored undiluted at 4°C for up to 1 month. Avoid freeze-thaw cycles.

    Haltbarkeit

    12 months
  • Target

    ABCB1 (ATP-Binding Cassette, Sub-Family B (MDR/TAP), Member 1 (ABCB1))

    Andere Bezeichnung

    ABCB1 / MDR1 / P Glycoprotein

    Hintergrund

    Name/Gene ID: ABCB1
    Subfamily: ATP-binding cassette - ABCB/MDR
    Family: Transporter

    Synonyms: ABCB1, ABC20, Abcb1b, CLCS, Colchicin sensitivity, CD243, Doxorubicin resistance, IBD13, gp170, MDR1, Multidrug resistance protein 1, P glycoprotein, P-glycoprotein 1, P-GP, CD243 antigen, PGY1

    Gen-ID

    5243
Sie sind hier:
Chat with us!