Telefon:
+49 (0)241 95 163 153
Fax:
+49 (0)241 95 163 155
E-Mail:
orders@antikoerper-online.de

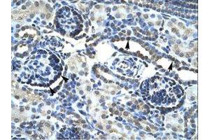
KDM3A Antikörper (AA 1252-1301)

Der Kaninchen Polyklonal anti-KDM3A Antikörper (ABIN202983) detektiert spezifisch KDM3A in WB, IHC und IHC (p). Dieser Antikörper reagiert spezifisch mit Proben aus Human, Maus, Ratte, Hund, Rind (Kuh), Schwein, Meerschweinchen, Pferd, Kaninchen, Fledermaus und Affe.
Produktnummer ABIN202983
741,67 €
Zzgl. Versandkosten 20,00 € und MwSt
100 μL
Lieferung nach: Deutschland
Lieferung in 15 bis 20 Werktagen

Kurzübersicht für KDM3A Antikörper (AA 1252-1301) (ABIN202983)

Target

Alle KDM3A Antikörper anzeigen
KDM3A (Lysine (K)-Specific Demethylase 3A (KDM3A))

Reaktivität

Human, Maus, Ratte, Hund, Rind (Kuh), Schwein, Meerschweinchen, Pferd, Kaninchen, Fledermaus, Affe

Wirt

  • 24
  • 14
Kaninchen

Klonalität

  • 24
  • 14
Polyklonal

Konjugat

  • 28
  • 1
  • 1
  • 1
  • 1
  • 1
  • 1
  • 1
  • 1
  • 1
  • 1
Dieser KDM3A Antikörper ist unkonjugiert

Applikation

  • 27
  • 17
  • 15
  • 6
  • 6
  • 5
  • 3
  • 2
  • 2
  • 1
Western Blotting (WB), Immunohistochemistry (IHC), Immunohistochemistry (Paraffin-embedded Sections) (IHC (p))
  • Bindungsspezifität

    • 5
    • 4
    • 3
    • 2
    • 2
    • 2
    • 2
    • 1
    • 1
    • 1
    • 1
    • 1
    • 1
    AA 1252-1301

    Spezifität

    Human KDM3A / JMJD1A

    Homologie

    Percent identity by BLAST analysis: Chicken (92%).

    Aufreinigung

    Protein A purified

    Immunogen

    Synthetic peptide located between aa1252-1301 of human KDM3A (Q53S72, NP_060903). Percent identity by BLAST analysis: Human, Chimpanzee, Gorilla, Gibbon, Monkey, Galago, Marmoset, Mouse, Rat, Panda, Dog, Bovine, Bat, Rabbit, Horse, Pig, Guinea pig, Platypus (100%), Turkey, Zebra finch, Chicken, Xenopus (92%), Elephant, Opossum, Lizard, Stickleback (91%), Drosophila (83%).

    Type of Immunogen: Synthetic peptide

    Isotyp

    IgG
  • Applikationshinweise

    Optimal working dilution should be determined by the investigator.

    Kommentare

    Target Species of Antibody: Human

    Beschränkungen

    Nur für Forschungszwecke einsetzbar
  • Format

    Lyophilized

    Rekonstitution

    After adding water, will consist of PBS buffer with 2 % sucrose

    Konzentration

    Lot specific

    Buffer

    Lyophilized from PBS with 2 % sucrose

    Handhabung

    Avoid repeat freeze-thaw cycles.

    Lagerung

    4 °C,-20 °C

    Informationen zur Lagerung

    Long term: -20°C, the use of 50% glycerol is recommended if storing aliquots in -20°C for long term use (up to 1 year)
    Short term (less than 1 week): 4°C. Avoid freeze-thaw cycles.
  • Target

    KDM3A (Lysine (K)-Specific Demethylase 3A (KDM3A))

    Andere Bezeichnung

    KDM3A / JMJD1A

    Hintergrund

    Name/Gene ID: KDM3A

    Synonyms: KDM3A, JHDM2A, JMJD1A, Jumonji domain containing 1A, JHMD2A, JMJD1, KIAA0742, Jumonji domain containing 1, Testis-specific protein A, Lysine-specific demethylase 3A, TSGA

    Gen-ID

    55818

    NCBI Accession

    NP_060903

    UniProt

    Q9Y4C1

    Pathways

    Intracellular Steroid Hormone Receptor Signaling Pathway, Nuclear Hormone Receptor Binding, Warburg Effekt
Sie sind hier:
Chat with us!