Telefon:
+49 (0)241 95 163 153
Fax:
+49 (0)241 95 163 155
E-Mail:
orders@antikoerper-online.de

RPS6 Antikörper (AA 233-237)

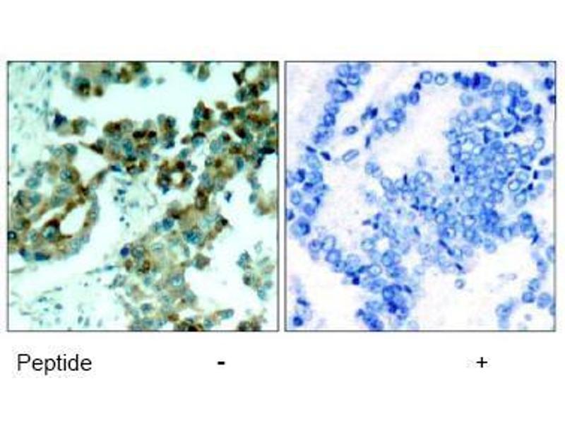
Dieses Kaninchen Polyklonal-Antikörper erkennt spezifisch RPS6 in WB, IF und IHC (p). Er zeigt eine Reaktivität gegenüber Human, Maus und Ratte.
Produktnummer ABIN197471

Kurzübersicht für RPS6 Antikörper (AA 233-237) (ABIN197471)

Target

Alle RPS6 Antikörper anzeigen
RPS6 (Ribosomal Protein S6 (RPS6))

Reaktivität

  • 123
  • 111
  • 98
  • 12
  • 12
  • 10
  • 10
  • 10
  • 8
  • 8
  • 7
  • 7
  • 5
  • 5
  • 5
  • 4
  • 2
  • 2
  • 2
  • 1
Human, Maus, Ratte

Wirt

  • 143
  • 9
  • 2
  • 2
Kaninchen

Klonalität

  • 143
  • 13
Polyklonal

Konjugat

  • 80
  • 9
  • 8
  • 6
  • 3
  • 3
  • 3
  • 3
  • 3
  • 3
  • 3
  • 3
  • 3
  • 3
  • 3
  • 3
  • 3
  • 3
  • 3
  • 2
  • 2
  • 2
  • 2
Dieser RPS6 Antikörper ist unkonjugiert

Applikation

  • 131
  • 55
  • 40
  • 40
  • 39
  • 31
  • 26
  • 17
  • 12
  • 11
  • 9
  • 3
  • 3
  • 2
  • 1
  • 1
  • 1
Western Blotting (WB), Immunofluorescence (IF), Immunohistochemistry (Paraffin-embedded Sections) (IHC (p))
  • Bindungsspezifität

    • 45
    • 25
    • 20
    • 20
    • 15
    • 14
    • 13
    • 9
    • 9
    • 5
    • 5
    • 5
    • 4
    • 3
    • 2
    • 2
    • 2
    • 2
    • 2
    • 1
    • 1
    • 1
    • 1
    • 1
    • 1
    • 1
    • 1
    • 1
    • 1
    • 1
    • 1
    AA 233-237

    Spezifität

    This antibody AP02734PU detects endogenous levels of total S6 Ribosomal protein.

    Aufreinigung

    Affinity Chromatography using epitope-specific peptide

    Immunogen

    Peptide sequence around amino acids 233~237 (R-L-S-S-L) derived from Human S6 Ribosomal protein
  • Applikationshinweise

    Western blot: 1/500-1/1000. Immunofluorescence: 1/100-1/200. Immunohistochemistry on Paraffin-Embedded Sections: 1/50-1/100.
    Other applications not tested.
    Optimal dilutions are dependent on conditions and should be determined by the user.

    Beschränkungen

    Nur für Forschungszwecke einsetzbar
  • Konzentration

    1.0 mg/mL

    Buffer

    PBS (without Mg2+ and Ca2+), pH 7.4, 150 mM NaCl, 0.02 % Sodium Azide and 50 % Glycerol.

    Konservierungsmittel

    Sodium azide

    Vorsichtsmaßnahmen

    This product contains sodium azide: a POISONOUS AND HAZARDOUS SUBSTANCE which should be handled by trained staff only.

    Handhabung

    Avoid repeated freezing and thawing.

    Lagerung

    -20 °C

    Informationen zur Lagerung

    Store the antibody (in aliquots) at -20 °C.
  • Target

    RPS6 (Ribosomal Protein S6 (RPS6))

    Andere Bezeichnung

    RPS6

    Hintergrund

    May play an important role in controlling cell growth and proliferation through the selective translation of particular classes of mRNA. Ribosomal protein S6 is the major substrate of protein kinases in eukaryote ribosomes. The phosphorylation is stimulated by growth factors, tumor promoting agents, and mitogens. It is dephosphorylated at growth arrest.Synonyms: 40S ribosomal protein S6, Phosphoprotein NP33

    Gen-ID

    6194

    NCBI Accession

    NP_001001

    UniProt

    P62753

    Pathways

    Carbohydrate Homeostasis, Ribonucleoprotein Complex Subunit Organization, Ribosome Assembly
Sie sind hier:
Chat with us!