Telefon:
+49 (0)241 95 163 153
Fax:
+49 (0)241 95 163 155
E-Mail:
orders@antikoerper-online.de

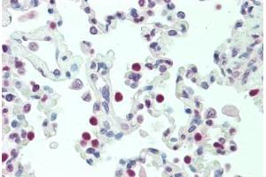
NKX2-1 Antikörper (AA 1-30)

Der Kaninchen Polyklonal anti-NKX2-1 Antikörper (ABIN1945407) detektiert spezifisch NKX2-1 in WB, IHC, FACS und IHC (p). Dieser Antikörper reagiert spezifisch mit Proben aus Human.
Produktnummer ABIN1945407
610,95 €
Zzgl. Versandkosten 20,00 € und MwSt
100 μL
Lieferung nach: Deutschland
Lieferung in 15 bis 20 Werktagen

Kurzübersicht für NKX2-1 Antikörper (AA 1-30) (ABIN1945407)

Target

Alle NKX2-1 Antikörper anzeigen
NKX2-1 (NK2 Homeobox 1 (NKX2-1))

Reaktivität

  • 100
  • 59
  • 59
  • 1
  • 1
  • 1
  • 1
Human

Wirt

  • 60
  • 41
Kaninchen

Klonalität

  • 64
  • 37
Polyklonal

Konjugat

  • 50
  • 7
  • 4
  • 4
  • 4
  • 4
  • 4
  • 4
  • 4
  • 3
  • 3
  • 2
  • 2
  • 1
  • 1
  • 1
  • 1
  • 1
  • 1
Dieser NKX2-1 Antikörper ist unkonjugiert

Applikation

  • 43
  • 39
  • 38
  • 28
  • 24
  • 21
  • 20
  • 7
  • 4
  • 4
  • 3
  • 2
  • 1
  • 1
Western Blotting (WB), Immunohistochemistry (IHC), Flow Cytometry (FACS), Immunohistochemistry (Paraffin-embedded Sections) (IHC (p))
  • Bindungsspezifität

    • 10
    • 10
    • 6
    • 2
    • 2
    • 2
    • 1
    • 1
    • 1
    • 1
    • 1
    • 1
    • 1
    • 1
    • 1
    AA 1-30

    Spezifität

    This NKX2-1 antibody is generated from rabbits immunized with a KLH conjugated synthetic peptide between 1-30 amino acids from the N-terminal region of human NKX2-1.

    Aufreinigung

    Protein A purified
  • Applikationshinweise

    Approved: Flo (1:10 - 1:50), IHC, IHC-P (1:100), WB (1:1000)

    Kommentare

    Target Species of Antibody: Human

    Beschränkungen

    Nur für Forschungszwecke einsetzbar
  • Format

    Liquid

    Konzentration

    Lot specific

    Buffer

    PBS, 0.09 % sodium azide

    Konservierungsmittel

    Sodium azide

    Vorsichtsmaßnahmen

    This product contains Sodium azide: a POISONOUS AND HAZARDOUS SUBSTANCE which should be handled by trained staff only.

    Lagerung

    4 °C,-20 °C

    Informationen zur Lagerung

    Maintain refrigerated at 2-8°C for up to 6 months. For long term storage store at -20°C.

    Haltbarkeit

    6 months
  • Target

    NKX2-1 (NK2 Homeobox 1 (NKX2-1))

    Andere Bezeichnung

    TTF1 / TTF-1 / NKX2-1

    Hintergrund

    Name/Gene ID: NKX2-1

    Synonyms: NKX2-1, BCH, Benign chorea, Homeobox protein Nkx-2.1, NK-2, NKX2.1, NK-2 homolog A, Thyroid transcription factor 1, NK2 homeobox 1, TTF-1, BHC, Thyroid nuclear factor 1, TITF1, NKX2A, TEBP

    Gen-ID

    7080

    Pathways

    Intracellular Steroid Hormone Receptor Signaling Pathway, Regulation of Systemic Arterial Blood Pressure by Hormones, Cellular Glucan Metabolic Process, Feeding Behaviour
Sie sind hier:
Chat with us!