Telefon:
+49 (0)241 95 163 153
Fax:
+49 (0)241 95 163 155
E-Mail:
orders@antikoerper-online.de

FEN1 Antikörper

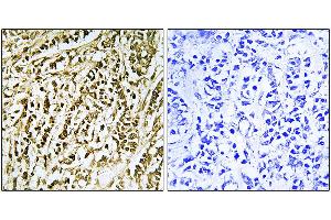
Zitiert in 4+ Publikationen. Der Kaninchen Polyklonal anti-FEN1 Antikörper (ABIN1944939) detektiert spezifisch FEN1 in WB, IHC und IF. Dieser Antikörper reagiert spezifisch mit Proben aus Human, Maus und Ratte.
Produktnummer ABIN1944939
434,77 €
Zzgl. Versandkosten 20,00 € und MwSt
100 μg
Lieferung nach: Deutschland
Lieferung in 14 bis 17 Werktagen

Kurzübersicht für FEN1 Antikörper (ABIN1944939)

Target

Alle FEN1 Antikörper anzeigen
FEN1 (Flap Structure-Specific Endonuclease 1 (FEN1))

Reaktivität

  • 81
  • 55
  • 50
  • 5
  • 4
  • 4
  • 4
  • 4
  • 3
  • 3
  • 2
  • 2
  • 2
  • 2
  • 1
Human, Maus, Ratte

Wirt

  • 72
  • 13
Kaninchen

Klonalität

  • 57
  • 28
Polyklonal

Konjugat

  • 52
  • 4
  • 2
  • 2
  • 2
  • 2
  • 2
  • 2
  • 2
  • 2
  • 1
  • 1
  • 1
  • 1
  • 1
  • 1
  • 1
  • 1
  • 1
  • 1
  • 1
  • 1
  • 1
Dieser FEN1 Antikörper ist unkonjugiert

Applikation

  • 72
  • 30
  • 21
  • 13
  • 13
  • 13
  • 9
  • 8
  • 5
  • 1
  • 1
  • 1
  • 1
  • 1
  • 1
Western Blotting (WB), Immunohistochemistry (IHC), Immunofluorescence (IF)
  • Isotyp

    IgG
  • Applikationshinweise

    IF: 1:100. WB: 1:1000. IHC: 1:50-1:100

    Beschränkungen

    Nur für Forschungszwecke einsetzbar
  • Format

    Liquid

    Buffer

    Rabbit IgG in phosphate buffered saline (without Mg2+ and Ca2+), pH 7.4, 150mM NaCl, 0.02 % sodium azide and 50 % glycerol.

    Konservierungsmittel

    Sodium azide

    Vorsichtsmaßnahmen

    WARNING: Reagents contain sodium azide. Sodium azide is very toxic if ingested or inhaled. Avoid contact with skin, eyes, or clothing. Wear eye or face protection when handling. If skin or eye contact occurs, wash with copious amounts of water. If ingested or inhaled, contact a physician immediately. Sodium azide yields toxic hydrazoic acid under acidic conditions. Dilute azide-containing compounds in running water before discarding to avoid accumulation of potentially explosive deposits in lead or copper plumbing.

    Lagerung

    4 °C,-20 °C
  • Taylor, Noguchi, Totoki, Toyoda, Kuroki, Dewar, Lloyd, Itoh, Takeda, Kim, She, Barlow, Bloom, Bruford, Chang, Cuomo, Eichler, FitzGerald, Jaffe, LaButti, Nicol, Park, Seaman, Sougnez, Yang, Zimmer et al.: "Human chromosome 11 DNA sequence and analysis including novel gene identification. ..." in: Nature, Vol. 440, Issue 7083, pp. 497-500, (2006) (PubMed).

    Shen, Nolan, Sklar, Park: "Essential amino acids for substrate binding and catalysis of human flap endonuclease 1." in: The Journal of biological chemistry, Vol. 271, Issue 16, pp. 9173-6, (1996) (PubMed).

    Murray, Tavassoli, al-Harithy, Sheldrick, Lehmann, Carr, Watts: "Structural and functional conservation of the human homolog of the Schizosaccharomyces pombe rad2 gene, which is required for chromosome segregation and recovery from DNA damage." in: Molecular and cellular biology, Vol. 14, Issue 7, pp. 4878-88, (1994) (PubMed).

    Robins, Pappin, Wood, Lindahl: "Structural and functional homology between mammalian DNase IV and the 5'-nuclease domain of Escherichia coli DNA polymerase I." in: The Journal of biological chemistry, Vol. 269, Issue 46, pp. 28535-8, (1994) (PubMed).

  • Target

    FEN1 (Flap Structure-Specific Endonuclease 1 (FEN1))

    Andere Bezeichnung

    FEN1

    Hintergrund

    Structure-specific nuclease with 5'-flap endonuclease and 5'-3' exonuclease activities involved in DNA replication and repair. During DNA replication, cleaves the 5'-overhanging flap structure that is generated by displacement synthesis when DNA polymerase encounters the 5'-end of a downstream Okazaki fragment. It enters the flap from the 5'-end and then tracks to cleave the flap base, leaving a nick for ligation. Also involved in the long patch base excision repair (LP-BER) pathway, by cleaving within the apurinic/apyrimidinic (AP) site-terminated flap. Acts as a genome stabilization factor that prevents flaps from equilibrating into structurs that lead to duplications and deletions. Also possesses 5'-3' exonuclease activity on nicked or gapped double- stranded DNA, and exhibits RNase H activity. Also involved in replication and repair of rDNA and in repairing mitochondrial DNA.

    Molekulargewicht

    42593 Da

    Gen-ID

    2237

    UniProt

    P39748

    Pathways

    Telomere Maintenance, DNA Reparatur, DNA Replication, Synthesis of DNA
Sie sind hier:
Chat with us!