Telefon:
+49 (0)241 95 163 153
Fax:
+49 (0)241 95 163 155
E-Mail:
orders@antikoerper-online.de

FAS Antikörper

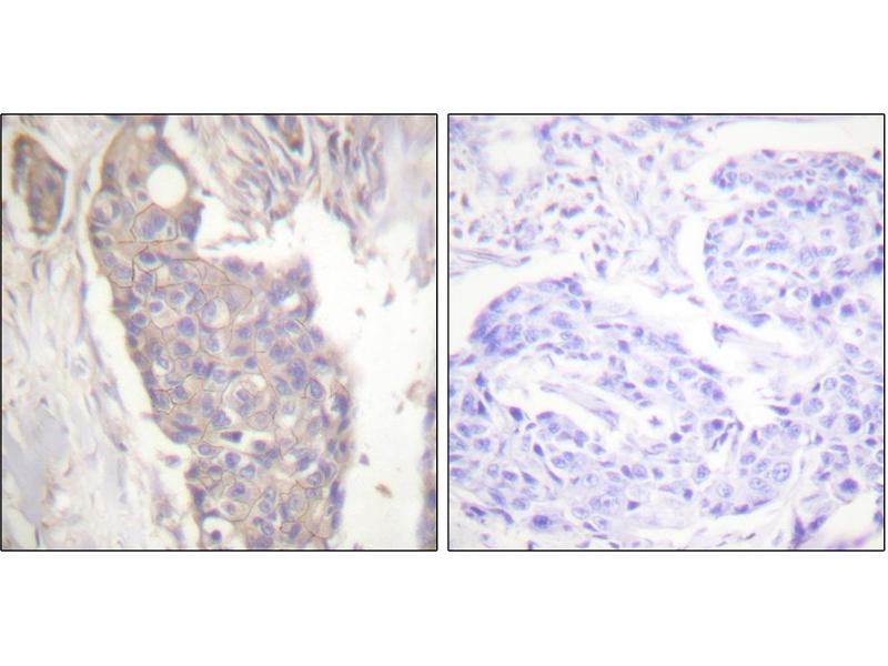
Zitiert in 4+ Publikationen. Der Kaninchen Polyklonal anti-FAS Antikörper (ABIN1944804) detektiert spezifisch FAS in WB und IHC. Dieser Antikörper reagiert spezifisch mit Proben aus Human.
Produktnummer ABIN1944804
434,77 €
Zzgl. Versandkosten 20,00 € und MwSt
100 μg
Lieferung nach: Deutschland
Lieferung in 14 bis 17 Werktagen

Kurzübersicht für FAS Antikörper (ABIN1944804)

Target

Alle FAS Antikörper anzeigen
FAS (TNF Receptor Superfamily, Member 6 (FAS))

Reaktivität

  • 288
  • 72
  • 63
  • 19
  • 8
  • 7
  • 4
  • 4
  • 3
  • 3
  • 3
  • 1
  • 1
  • 1
  • 1
Human

Wirt

  • 178
  • 140
  • 9
  • 6
  • 3
  • 1
  • 1
Kaninchen

Klonalität

  • 174
  • 162
  • 1
Polyklonal

Konjugat

  • 145
  • 30
  • 29
  • 17
  • 16
  • 7
  • 5
  • 5
  • 4
  • 3
  • 3
  • 3
  • 3
  • 3
  • 3
  • 3
  • 3
  • 3
  • 3
  • 3
  • 2
  • 2
  • 2
  • 2
  • 2
  • 2
  • 2
  • 2
  • 2
  • 2
  • 2
  • 2
  • 2
  • 2
  • 2
  • 2
  • 2
  • 2
  • 1
  • 1
  • 1
  • 1
  • 1
  • 1
  • 1
  • 1
  • 1
  • 1
  • 1
Dieser FAS Antikörper ist unkonjugiert

Applikation

  • 181
  • 161
  • 88
  • 75
  • 50
  • 47
  • 34
  • 31
  • 26
  • 26
  • 21
  • 13
  • 11
  • 8
  • 5
  • 5
  • 4
  • 2
  • 2
  • 2
  • 2
  • 2
  • 2
  • 2
  • 2
  • 1
  • 1
  • 1
  • 1
  • 1
  • 1
  • 1
Western Blotting (WB), Immunohistochemistry (IHC)
  • Isotyp

    IgG1
  • Applikationshinweise

    WB: 1:1000. IHC: 1:50-1:100

    Beschränkungen

    Nur für Forschungszwecke einsetzbar
  • Format

    Liquid

    Buffer

    Rabbit IgG in phosphate buffered saline (without Mg2+ and Ca2+), pH 7.4, 150mM NaCl, 0.02 % sodium azide and 50 % glycerol.

    Konservierungsmittel

    Sodium azide

    Vorsichtsmaßnahmen

    WARNING: Reagents contain sodium azide. Sodium azide is very toxic if ingested or inhaled. Avoid contact with skin, eyes, or clothing. Wear eye or face protection when handling. If skin or eye contact occurs, wash with copious amounts of water. If ingested or inhaled, contact a physician immediately. Sodium azide yields toxic hydrazoic acid under acidic conditions. Dilute azide-containing compounds in running water before discarding to avoid accumulation of potentially explosive deposits in lead or copper plumbing.

    Lagerung

    4 °C,-20 °C
  • Cascino, Papoff, De Maria, Testi, Ruberti: "Fas/Apo-1 (CD95) receptor lacking the intracytoplasmic signaling domain protects tumor cells from Fas-mediated apoptosis." in: Journal of immunology (Baltimore, Md. : 1950), Vol. 156, Issue 1, pp. 13-7, (1996) (PubMed).

    Liu, Cheng, Mountz: "Differential expression of human Fas mRNA species upon peripheral blood mononuclear cell activation." in: The Biochemical journal, Vol. 310 ( Pt 3), pp. 957-63, (1995) (PubMed).

    Cascino, Fiucci, Papoff, Ruberti: "Three functional soluble forms of the human apoptosis-inducing Fas molecule are produced by alternative splicing." in: Journal of immunology (Baltimore, Md. : 1950), Vol. 154, Issue 6, pp. 2706-13, (1995) (PubMed).

    Oehm, Behrmann, Falk, Pawlita, Maier, Klas, Li-Weber, Richards, Dhein, Trauth: "Purification and molecular cloning of the APO-1 cell surface antigen, a member of the tumor necrosis factor/nerve growth factor receptor superfamily. Sequence identity with the Fas antigen." in: The Journal of biological chemistry, Vol. 267, Issue 15, pp. 10709-15, (1992) (PubMed).

  • Target

    FAS (TNF Receptor Superfamily, Member 6 (FAS))

    Andere Bezeichnung

    FAS

    Hintergrund

    Receptor for TNFSF6/FASLG. The adapter molecule FADD recruits caspase-8 to the activated receptor. The resulting death- inducing signaling complex (DISC) performs caspase-8 proteolytic activation which initiates the subsequent cascade of caspases (aspartate-specific cysteine proteases) mediating apoptosis. FAS- mediated apoptosis may have a role in the induction of peripheral tolerance, in the antigen-stimulated suicide of mature T-cells, or both. The secreted isoforms 2 to 6 block apoptosis (in vitro).

    Molekulargewicht

    37732 Da

    Gen-ID

    355

    UniProt

    P25445

    Pathways

    p53 Signalweg, Apoptose, Production of Molecular Mediator of Immune Response, Positive Regulation of Endopeptidase Activity
Sie sind hier:
Chat with us!