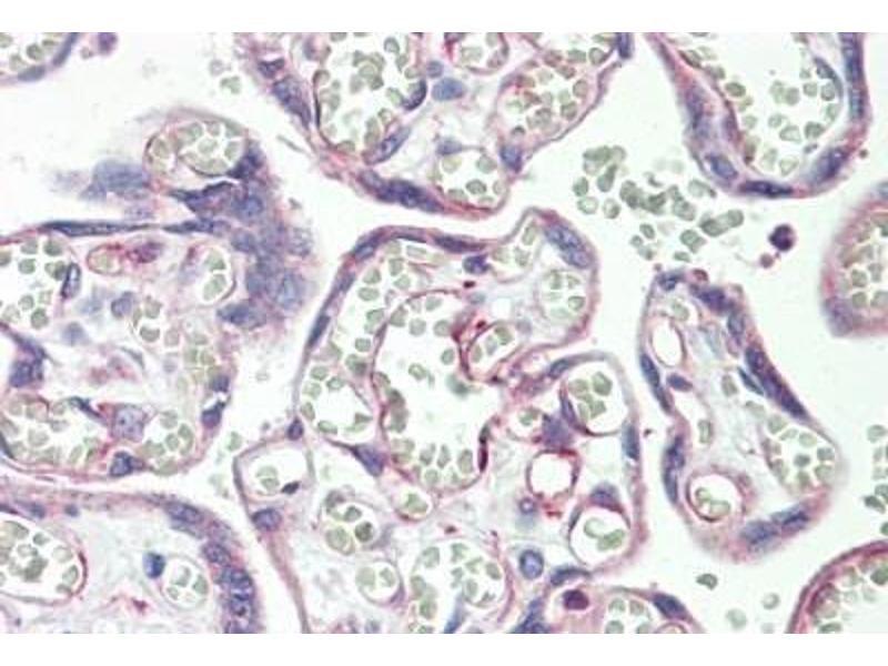
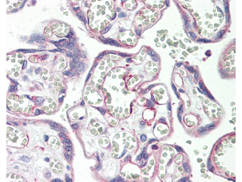
PSG3 Antikörper (AA 22-50)
Kurzübersicht für PSG3 Antikörper (AA 22-50) (ABIN1927369)
Target
Alle PSG3 Antikörper anzeigenReaktivität
Wirt
Klonalität
Konjugat
Applikation
-
-
Bindungsspezifität
- AA 22-50
-
Spezifität
- This PSG3 antibody is generated from rabbits immunized with a KLH conjugated synthetic peptide between 22-50 amino acids from the N-terminal region of human PSG3.
-
Aufreinigung
- Protein A purified
-
-
-
-
Applikationshinweise
- Approved: IHC, IHC-P (1:100), WB (1:1000)
-
Kommentare
-
Target Species of Antibody: Human
-
Beschränkungen
- Nur für Forschungszwecke einsetzbar
-
-
-
Format
- Liquid
-
Konzentration
- Lot specific
-
Buffer
- PBS, 0.09 % sodium azide
-
Konservierungsmittel
- Sodium azide
-
Vorsichtsmaßnahmen
- This product contains Sodium azide: a POISONOUS AND HAZARDOUS SUBSTANCE which should be handled by trained staff only.
-
Lagerung
- 4 °C,-20 °C
-
Informationen zur Lagerung
- Maintain refrigerated at 2-8°C for up to 6 months. For long term storage store at -20°C.
-
Haltbarkeit
- 6 months
-
-
- PSG3 (Pregnancy Specific beta-1-Glycoprotein 3 (PSG3))
-
Andere Bezeichnung
- PSG3
-
Hintergrund
-
Name/Gene ID: PSG3
Family: CEA
Synonyms: PSG3, Carcinoembryonic antigen SG5, PSBG-3, PS-beta-G-3 -
Gen-ID
- 5671
Target
-