Telefon:
+49 (0)241 95 163 153
Fax:
+49 (0)241 95 163 155
E-Mail:
orders@antikoerper-online.de

OSBPL5 Antikörper (N-Term)

Dieser Ziege Polyklonal Antikörper detektiert spezifisch OSBPL5 in WB, ELISA, IF, FACS und IHC. Es zeigt Reaktivität gegenüber Proben von Human und Ratte.
Produktnummer ABIN190918
488,25 €
Zzgl. Versandkosten 20,00 € und MwSt
100 μg
Lieferung nach: Deutschland
Lieferung in 5 bis 8 Werktagen

Kurzübersicht für OSBPL5 Antikörper (N-Term) (ABIN190918)

Target

Alle OSBPL5 Antikörper anzeigen
OSBPL5 (Oxysterol Binding Protein-Like 5 (OSBPL5))

Reaktivität

Human, Ratte

Wirt

  • 3
  • 2
Ziege

Klonalität

  • 5
Polyklonal

Konjugat

  • 5
Dieser OSBPL5 Antikörper ist unkonjugiert

Applikation

  • 4
  • 3
  • 2
  • 2
  • 1
  • 1
Western Blotting (WB), ELISA, Immunofluorescence (IF), Flow Cytometry (FACS), Immunohistochemistry (IHC)

Güteklasse

Verified
  • Bindungsspezifität

    • 1
    • 1
    • 1
    N-Term

    Verwendungszweck

    ORP5 (OBPH1)

    Sequenz

    KEEAFLRRRF SLC

    Spezifität

    This antibody is expected to recognise both reported isoforms. Variants (NP_663613.1, NP_001137535.1) encode the same isoform.

    Kreuzreaktivität

    Hund, Human, Maus, Ratte

    Aufreinigung

    Purified from goat serum by ammonium sulphate precipitation followed by antigen affinity chromatography using the immunizing peptide.

    Immunogen

    Peptide with sequence KEEAFLRRRFSLC, from the N Terminus of the protein sequence according to NP_065947.1, NP_663613.1, NP_001137535.1.

    Isotyp

    IgG
  • Applikationshinweise

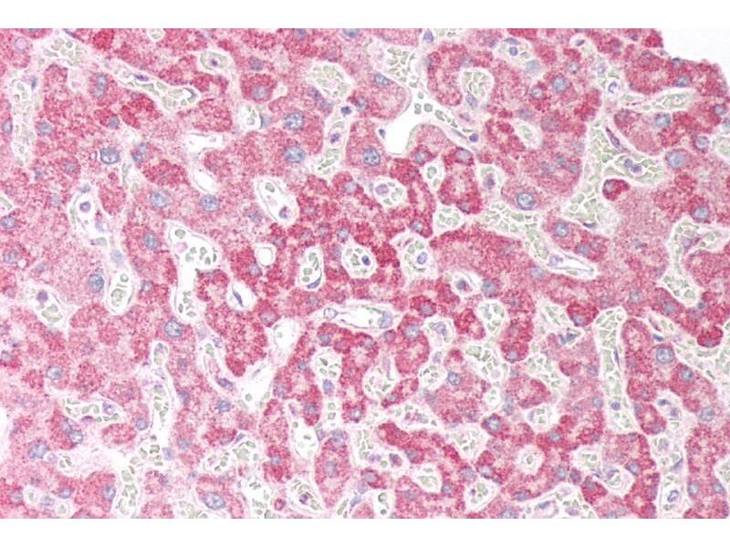
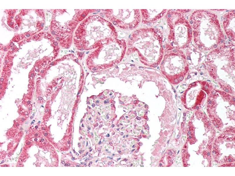
    Immunohistochemistry: Paraffin embedded Human Kidney and Liver. Recommended concentration: 5 μg/mL.

    Western Blot: Approx. 100 kDa band observed in lysates of cell line Jurkat and in Rat Spleen lysates (calculated MW of 98.4 kDa according to Human NP_065947.1 and 101.7 kDa according to Rat NP_001015024.2). Recommended concentration: 0.03=0.3 μg/mL. Primary

    Peptide ELISA: antibody detection limit dilution 1:32000.

    Kommentare

    Immunofluorescence: Strong expression of the protein seen in the cytoplasm of HeLa and U2OS cells. Recommended concentration: 10μg/ml.

    Flow Cytometry: Flow cytometric analysis of HeLa cells. Recommended concentration:

    Beschränkungen

    Nur für Forschungszwecke einsetzbar
  • Format

    Liquid

    Konzentration

    0.5 mg/mL

    Buffer

    Supplied at 0.5 mg/mL in Tris saline, 0.02 % sodium azide, pH 7.3 with 0.5 % bovine serum albumin.

    Konservierungsmittel

    Sodium azide

    Vorsichtsmaßnahmen

    This product contains Sodium azide: a POISONOUS AND HAZARDOUS SUBSTANCE which should be handled by trained staff only.

    Handhabung

    Minimize freezing and thawing.

    Lagerung

    -20 °C

    Informationen zur Lagerung

    Aliquot and store at -20°C, with minimal freeze/thawing. A working aliquot may be refrigerated at 4°C for a few weeks and still remain viable.
  • Target

    OSBPL5 (Oxysterol Binding Protein-Like 5 (OSBPL5))

    Andere Bezeichnung

    OSBPL5

    Hintergrund

    OSBPL5, ORP5, OBPH1, FLJ31948, KIAA1534, DKFZp586H1719, oxysterol binding protein-like 5, OSBP-related protein 5, oxysterol-binding protein homologue 1, oxysterol-binding protein-related protein 5, FLJ42929, oxysterol-binding protein-like protein 5

    Gen-ID

    114879, 79196

    NCBI Accession

    NP_065947, NP_663613, NP_001137535
Sie sind hier:
Chat with us!