Telefon:
+49 (0)241 95 163 153
Fax:
+49 (0)241 95 163 155
E-Mail:
orders@antikoerper-online.de

GPSM2 Antikörper (Internal Region)

Zitiert in 1 Publikation. Der Ziege Polyklonal anti-GPSM2 Antikörper (ABIN190875) detektiert spezifisch GPSM2 in ELISA, IHC und IF. Dieser Antikörper reagiert spezifisch mit Proben aus Human.
Produktnummer ABIN190875
488,25 €
Zzgl. Versandkosten 20,00 € und MwSt
100 μg
Lieferung nach: Deutschland
Lieferung in 5 bis 8 Werktagen

Kurzübersicht für GPSM2 Antikörper (Internal Region) (ABIN190875)

Target

Alle GPSM2 Antikörper anzeigen
GPSM2 (G-Protein Signaling Modulator 2 (GPSM2))

Reaktivität

  • 13
  • 8
  • 6
  • 3
  • 3
  • 3
  • 3
  • 2
  • 2
  • 2
  • 1
  • 1
Human

Wirt

  • 13
Ziege

Klonalität

  • 13
Polyklonal

Konjugat

  • 13
Dieser GPSM2 Antikörper ist unkonjugiert

Applikation

  • 12
  • 5
  • 4
  • 2
  • 2
  • 1
  • 1
ELISA, Immunohistochemistry (IHC), Immunofluorescence (IF)

Güteklasse

Verified
  • Bindungsspezifität

    • 1
    • 1
    • 1
    • 1
    • 1
    • 1
    • 1
    • 1
    Internal Region

    Verwendungszweck

    GPSM2

    Sequenz

    NRLKGKKYKT NSSTK

    Kreuzreaktivität

    Hund, Human

    Aufreinigung

    Purified from goat serum by ammonium sulphate precipitation followed by antigen affinity chromatography using the immunizing peptide.

    Immunogen

    Peptide with sequence C-NRLKGKKYKTNSSTK, from the internal region of the protein sequence according to NP_037428.2.

    Isotyp

    IgG
  • Applikationshinweise

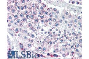
    Immunohistochemistry: Paraffin embedded Human Testis. Recommended concentration: 5 μg/mL.

    Peptide ELISA: antibody detection limit dilution 1:64000.

    Kommentare

    Immunofluorescence: Strong expression of the protein seen in the cytoplasm/ centrosomes of A431 cells. Recommended concentration: 10μg/ml.

    Beschränkungen

    Nur für Forschungszwecke einsetzbar
  • Format

    Liquid

    Konzentration

    0.5 mg/mL

    Buffer

    Supplied at 0.5 mg/mL in Tris saline, 0.02 % sodium azide, pH 7.3 with 0.5 % bovine serum albumin.

    Konservierungsmittel

    Sodium azide

    Vorsichtsmaßnahmen

    This product contains Sodium azide: a POISONOUS AND HAZARDOUS SUBSTANCE which should be handled by trained staff only.

    Handhabung

    Minimize freezing and thawing.

    Lagerung

    -20 °C

    Informationen zur Lagerung

    Aliquot and store at -20°C, with minimal freeze/thawing. A working aliquot may be refrigerated at 4°C for a few weeks and still remain viable.
  • Campla, Bocchero, Strickland, Nellissery, Advani, Ignatova, Srivastava, Aponte, Wang, Gumerson, Martemyanov, Artemyev, Pahlberg, Swaroop: "Frmpd1 Facilitates Trafficking of G-Protein Transducin and Modulates Synaptic Function in Rod Photoreceptors of Mammalian Retina." in: eNeuro, Vol. 9, Issue 5, (2022) (PubMed).

  • Target

    GPSM2 (G-Protein Signaling Modulator 2 (GPSM2))

    Andere Bezeichnung

    GPSM2

    Hintergrund

    GPSM2, G-protein signalling modulator 2 (AGS3-like, C. elegans) , HGNC:29501, LGN, Pins, LGN protein

    Gen-ID

    29899

    NCBI Accession

    NP_037428

    Pathways

    Regulation of G-Protein Coupled Receptor Protein Signaling
Sie sind hier:
Chat with us!