Telefon:
+49 (0)241 95 163 153
Fax:
+49 (0)241 95 163 155
E-Mail:
orders@antikoerper-online.de

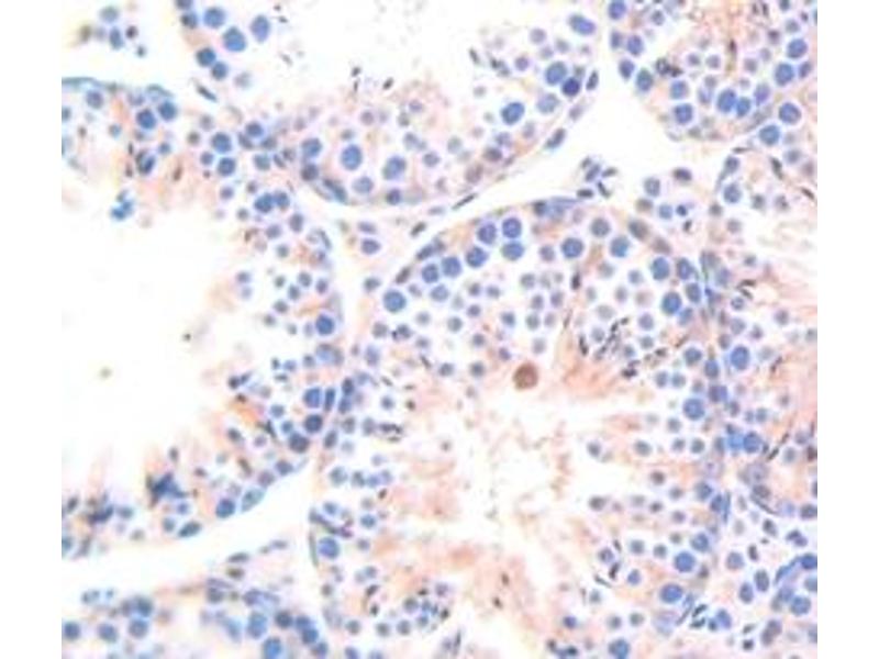
RPN1 Antikörper (AA 273-518)

Dieser Kaninchen Polyklonal Antikörper detektiert spezifisch RPN1 in WB, IHC, IP und ICC. Es zeigt Reaktivität gegenüber Proben von Maus.
Produktnummer ABIN1860469
252,00 €
Zzgl. Versandkosten 20,00 € und MwSt
Lieferung nach: Deutschland
Lieferung in 11 bis 15 Werktagen

Kurzübersicht für RPN1 Antikörper (AA 273-518) (ABIN1860469)

Target

Alle RPN1 Antikörper anzeigen
RPN1 (Ribophorin 1 (RPN1))

Reaktivität

  • 73
  • 27
  • 14
  • 5
  • 3
  • 3
  • 3
  • 3
  • 2
  • 2
  • 2
  • 1
Maus

Wirt

  • 69
  • 10
Kaninchen

Klonalität

  • 67
  • 12
Polyklonal

Konjugat

  • 39
  • 12
  • 9
  • 3
  • 2
  • 2
  • 2
  • 2
  • 2
  • 2
  • 2
  • 2
Dieser RPN1 Antikörper ist unkonjugiert

Applikation

  • 60
  • 25
  • 24
  • 11
  • 11
  • 10
  • 6
  • 5
  • 2
  • 1
Western Blotting (WB), Immunohistochemistry (IHC), Immunoprecipitation (IP), Immunocytochemistry (ICC)
  • Bindungsspezifität

    • 7
    • 6
    • 5
    • 5
    • 3
    • 3
    • 3
    • 2
    • 2
    • 2
    • 2
    • 1
    • 1
    • 1
    • 1
    • 1
    • 1
    • 1
    • 1
    • 1
    • 1
    AA 273-518

    Verwendungszweck

    Polyclonal Antibody to Ribophorin I (RPN1)

    Spezifität

    The antibody is a rabbit polyclonal antibody raised against RPN1. It has been selected for its ability to recognize RPN1 in immunohistochemical staining and western blotting.

    Kreuzreaktivität

    Human, Ratte

    Aufreinigung

    Antigen-specific affinity chromatography followed by Protein A affinity chromatography

    Immunogen

    RPN1 (Ser273-Lys518)

    Isotyp

    IgG
  • Applikationshinweise

    Western blotting: 0.2-2 μg/mL,1:250-2500 Immunohistochemistry: 5-20 μg/mL,1:25-100 Immunocytochemistry: 5-20 μg/mL,1:25-100 Optimal working dilutions must be determined by end user.

    Kommentare

    The thermal stability is described by the loss rate. The loss rate was determined by accelerated thermal degradation test, that is, incubate the protein at 37°C for 48h, and no obvious degradation and precipitation were observed. The loss rate is less than 5% within the expiration date under appropriate storage condition.

    Beschränkungen

    Nur für Forschungszwecke einsetzbar
  • Format

    Liquid

    Konzentration

    500 μg/mL

    Buffer

    PBS, pH 7.4, containing 0.01 % SKL, 1 mM DTT, 5 % Trehalose and Proclin300.

    Konservierungsmittel

    Dithiothreitol (DTT), ProClin

    Vorsichtsmaßnahmen

    WARNING: Reagents contain sodium azide. Sodium azide is very toxic if ingested or inhaled. Avoid contact with skin, eyes, or clothing. Wear eye or face protection when handling. If skin or eye contact occurs, wash with copious amounts of water. If ingested or inhaled, contact a physician immediately. Sodium azide yields toxic hydrazoic acid under acidic conditions. Dilute azide-containing compounds in running water before discarding to avoid accumulation of potentially explosive deposits in lead or copper plumbing.

    Handhabung

    Avoid repeated freeze-thaw cycles.

    Lagerung

    4 °C,-20 °C

    Informationen zur Lagerung

    Store at 4°C for frequent use. Stored at -20°C in a manual defrost freezer for two year without detectable loss of activity. Avoid repeated freeze-thaw cycles.

    Haltbarkeit

    12 months
  • Target

    RPN1 (Ribophorin 1 (RPN1))

    Andere Bezeichnung

    RPN1

    Hintergrund

    RPNI, OST1, RBPH1, Dolichyl-Diphosphooligosaccharide-Protein Glycosyltransferase Subunit 1, Dolichyl-diphosphooligosaccharide protein glycosyltransferase 67 kDa subunit
Sie sind hier:
Chat with us!