Telefon:
+49 (0)241 95 163 153
Fax:
+49 (0)241 95 163 155
E-Mail:
orders@antikoerper-online.de

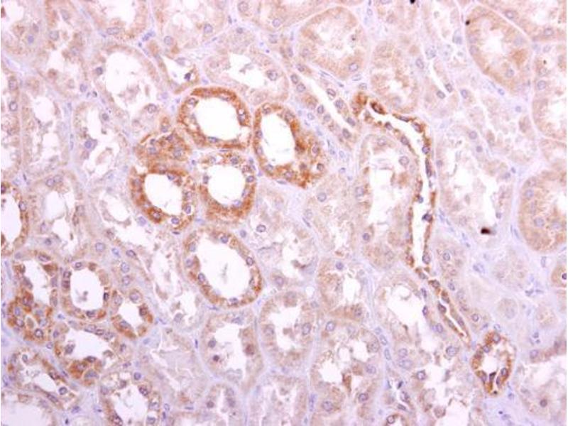
RPN1 Antikörper (C-Term)

Dieser Kaninchen Polyklonal Antikörper detektiert spezifisch RPN1 in WB, IP, ICC, IF und IHC (p). Es zeigt Reaktivität gegenüber Proben von Human.
Produktnummer ABIN2855218
583,17 €
Zzgl. Versandkosten 20,00 € und MwSt
100 μL
Lieferung nach: Deutschland
Lieferung in 7 bis 10 Werktagen

Kurzübersicht für RPN1 Antikörper (C-Term) (ABIN2855218)

Target

Alle RPN1 Antikörper anzeigen
RPN1 (Ribophorin 1 (RPN1))

Reaktivität

  • 72
  • 28
  • 14
  • 5
  • 3
  • 3
  • 3
  • 3
  • 2
  • 2
  • 2
  • 1
Human

Wirt

  • 69
  • 10
Kaninchen

Klonalität

  • 67
  • 12
Polyklonal

Konjugat

  • 39
  • 12
  • 9
  • 3
  • 2
  • 2
  • 2
  • 2
  • 2
  • 2
  • 2
  • 2
Dieser RPN1 Antikörper ist unkonjugiert

Applikation

  • 60
  • 25
  • 25
  • 11
  • 11
  • 9
  • 6
  • 4
  • 2
  • 1
Western Blotting (WB), Immunoprecipitation (IP), Immunocytochemistry (ICC), Immunofluorescence (IF), Immunohistochemistry (Paraffin-embedded Sections) (IHC (p))
  • Bindungsspezifität

    • 7
    • 6
    • 5
    • 5
    • 3
    • 3
    • 3
    • 2
    • 2
    • 2
    • 2
    • 1
    • 1
    • 1
    • 1
    • 1
    • 1
    • 1
    • 1
    • 1
    • 1
    C-Term

    Kreuzreaktivität

    Human

    Produktmerkmale

    Rabbit Polyclonal antibody to Ribophorin I (ribophorin I)
    Ribophorin I antibody [C2C3], C-term

    Aufreinigung

    Purified by antigen-affinity chromatography.

    Immunogen

    Recombinant protein encompassing a sequence within the C-terminus region of human Ribophorin I. The exact sequence is proprietary.

    Isotyp

    IgG
  • Applikationshinweise

    WB: 1:500-1:3000. ICC/IF: 1:100-1:1000. IHC-P: 1:100-1:1000. Optimal dilutions/concentrations should be determined by the researcher. Not tested in other applications.

    Kommentare

    Positive Control: H1299 , HepG2

    Beschränkungen

    Nur für Forschungszwecke einsetzbar
  • Format

    Liquid

    Konzentration

    1 mg/mL

    Buffer

    1XPBS ( pH 7), 40 % Glycerol, 0.01 % Thimerosal

    Konservierungsmittel

    Thimerosal (Merthiolate)

    Vorsichtsmaßnahmen

    This product contains Thimerosal (Merthiolate): a POISONOUS AND HAZARDOUS SUBSTANCE which should be handled by trained staff only.

    Lagerung

    4 °C,-20 °C

    Informationen zur Lagerung

    Store as concentrated solution. Centrifuge briefly prior to opening vial. For short-term storage (1-2 weeks), store at 4°C. For long-term storage, aliquot and store at -20°C or below. Avoid multiple freeze-thaw cycles.
  • Target

    RPN1 (Ribophorin 1 (RPN1))

    Andere Bezeichnung

    ribophorin I

    Hintergrund

    This gene encodes a type I integral membrane protein found only in the rough endoplasmic reticulum. The encoded protein is part of an N-oligosaccharyl transferase complex that links high mannose oligosaccharides to asparagine residues found in the Asn-X-Ser/Thr consensus motif of nascent polypeptide chains. This protein forms part of the regulatory subunit of the 26S proteasome and may mediate binding of ubiquitin-like domains to this proteasome.

    Cellular Localization: Endoplasmic reticulum membrane, Single-pass type I membrane protein , Melanosome

    Molekulargewicht

    69 kDa

    Gen-ID

    6184

    UniProt

    P04843
Sie sind hier:
Chat with us!