CTNNA1 Antikörper (Internal Region)
Kurzübersicht für CTNNA1 Antikörper (Internal Region) (ABIN185626)
Target
Alle CTNNA1 Antikörper anzeigenReaktivität
Wirt
Klonalität
Konjugat
Applikation
Güteklasse
-
-
Bindungsspezifität
- Internal Region
-
Verwendungszweck
- Catenin alpha1
-
Sequenz
- KREKQDETQT KIK
-
Kreuzreaktivität
- Hund, Human, Maus, Ratte
-
Aufreinigung
- Purified from goat serum by ammonium sulphate precipitation followed by antigen affinity chromatography using the immunizing peptide.
-
Immunogen
- Peptide with sequence C-KREKQDETQTKIK, from the internal region of the protein sequence according to NP_001894.2.
-
Isotyp
- IgG
-
-
-
-
Applikationshinweise
-
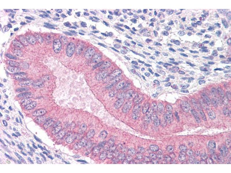
Immunohistochemistry: Paraffin embedded Human Prostate and Uterus. Recommended concentration: 3.75 μg/mL.
Western Blot: Approx 100 kDa band observed in human colon and human skin lysates (calculated MW of 100 kDa according to NP_001894.2). Recommended concentration: 1-3 μg/mL.
Peptide ELISA: antibody detection limit dilution 1:32000.
-
Beschränkungen
- Nur für Forschungszwecke einsetzbar
-
-
-
Format
- Liquid
-
Konzentration
- 0.5 mg/mL
-
Buffer
- Supplied at 0.5 mg/mL in Tris saline, 0.02 % sodium azide, pH 7.3 with 0.5 % bovine serum albumin.
-
Konservierungsmittel
- Sodium azide
-
Vorsichtsmaßnahmen
- This product contains Sodium azide: a POISONOUS AND HAZARDOUS SUBSTANCE which should be handled by trained staff only.
-
Handhabung
- Minimize freezing and thawing.
-
Lagerung
- -20 °C
-
Informationen zur Lagerung
- Aliquot and store at -20°C, with minimal freeze/thawing. A working aliquot may be refrigerated at 4°C for a few weeks and still remain viable.
-
-
- CTNNA1 (Catenin (Cadherin-Associated Protein), alpha 1, 102kDa (CTNNA1))
-
Andere Bezeichnung
- CTNNA1
-
Hintergrund
- Catenin (cadherin-associated protein), alpha 1, 102 kDa , HGNC:2509, CTNNA1, CAP102, FLJ36832 , alpha 1 (102kD), alpha-E-catenin, alpha-catenin, alphaE-catenin, cadherin-associated protein,102 kDa, catenin (cadherin-associated protein), alpha 1 (102kD), cat
-
Gen-ID
- 1495, 12385, 307505
-
NCBI Accession
- NP_001894
-
Pathways
- Regulation of Muscle Cell Differentiation, Cell-Cell Junction Organization, Maintenance of Protein Location
Target
-