Telefon:
+49 (0)241 95 163 153
Fax:
+49 (0)241 95 163 155
E-Mail:
orders@antikoerper-online.de

RANGAP1 Antikörper (N-Term)

Dieser Ziege Polyklonal Antikörper detektiert spezifisch RANGAP1 in WB, IHC und ELISA. Es zeigt Reaktivität gegenüber Proben von Human und Maus.
Produktnummer ABIN185170
488,25 €
Zzgl. Versandkosten 20,00 € und MwSt
100 μg
Lieferung nach: Deutschland
Lieferung in 5 bis 8 Werktagen

Kurzübersicht für RANGAP1 Antikörper (N-Term) (ABIN185170)

Target

Alle RANGAP1 Antikörper anzeigen
RANGAP1 (Ran GTPase Activating Protein 1 (RANGAP1))

Reaktivität

  • 63
  • 36
  • 35
  • 5
  • 4
  • 4
  • 4
  • 4
  • 2
  • 2
  • 2
  • 1
  • 1
  • 1
Human, Maus

Wirt

  • 55
  • 6
  • 2
Ziege

Klonalität

  • 38
  • 25
Polyklonal

Konjugat

  • 35
  • 4
  • 3
  • 3
  • 3
  • 3
  • 3
  • 3
  • 1
  • 1
  • 1
  • 1
  • 1
  • 1
Dieser RANGAP1 Antikörper ist unkonjugiert

Applikation

  • 43
  • 30
  • 23
  • 15
  • 15
  • 14
  • 13
  • 5
  • 2
Western Blotting (WB), Immunohistochemistry (IHC), ELISA

Güteklasse

Verified
  • Bindungsspezifität

    • 8
    • 8
    • 3
    • 2
    • 2
    • 1
    • 1
    • 1
    • 1
    • 1
    N-Term

    Verwendungszweck

    RANGAP1

    Sequenz

    ASEDIAKLAE TLAK

    Spezifität

    Please note that in mouse, there is a hypothetical protein called "similar to RANGAP1" (XP_139737.2) that is virtually identical.

    Kreuzreaktivität

    Rind (Kuh), Hund, Human, Maus, Ratte

    Aufreinigung

    Purified from goat serum by ammonium sulphate precipitation followed by antigen affinity chromatography using the immunizing peptide.

    Immunogen

    Peptide with sequence ASEDIAKLAETLAK-C, from the N Terminus of the protein sequence according to NP_002874.1.

    Isotyp

    IgG
  • Applikationshinweise

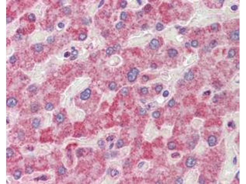
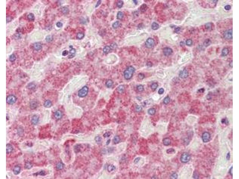
    Immunohistochemistry: In paraffin embedded Human Liver shows vesicular staining in the cytoplasm of hepatocytes. Recommended concentration: 2-4 μg/mL.

    Western Blot: Approx 70 kDa band observed in 3T3 lysates (predicted MW of 68 kDa according to NP_002874). Recommended for use at 0.1-0.5 μg/mL.

    Peptide ELISA: antibody detection limit dilution 1:32000.

    Beschränkungen

    Nur für Forschungszwecke einsetzbar
  • Format

    Liquid

    Konzentration

    0.5 mg/mL

    Buffer

    Supplied at 0.5 mg/mL in Tris saline, 0.02 % sodium azide, pH 7.3 with 0.5 % bovine serum albumin.

    Konservierungsmittel

    Sodium azide

    Vorsichtsmaßnahmen

    This product contains Sodium azide: a POISONOUS AND HAZARDOUS SUBSTANCE which should be handled by trained staff only.

    Handhabung

    Minimize freezing and thawing.

    Lagerung

    -20 °C

    Informationen zur Lagerung

    Aliquot and store at -20°C, with minimal freeze/thawing. A working aliquot may be refrigerated at 4°C for a few weeks and still remain viable.
  • Target

    RANGAP1 (Ran GTPase Activating Protein 1 (RANGAP1))

    Andere Bezeichnung

    RANGAP1

    Hintergrund

    RANGAP1, KIAA1835, Ran GTPase activating protein 1, Fug1, MGC20266, SD, OTTHUMP00000198756, OTTHUMP00000198757, segregation distorter homolog, segregation distortion

    Gen-ID

    5905, 19387

    NCBI Accession

    NP_002874

    Pathways

    M Phase, Protein targeting to Nucleus
Sie sind hier:
Chat with us!