×
Aktivieren Sie Javascript in Ihrem Browser, um unsere Webseite optimal zu nutzen.
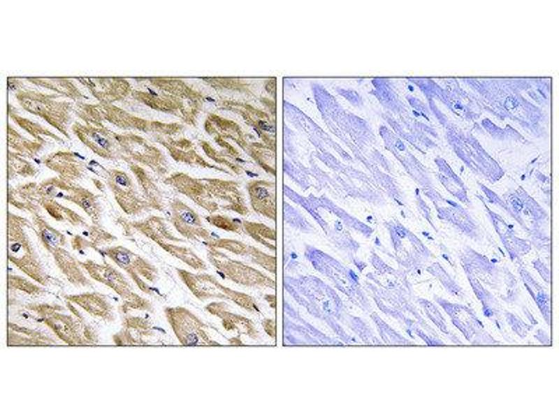
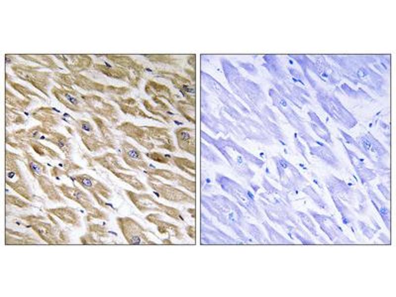
MRPL39 Antikörper (C-Term)
Der Kaninchen Polyklonal anti-MRPL39 Antikörper (ABIN1851576) detektiert spezifisch MRPL39 in WB, IHC und ELISA.
Dieser Antikörper reagiert spezifisch mit Proben aus Human.
Produktnummer ABIN1851576
453,66 €
Zzgl. Versandkosten 20,00 € und MwSt
1 mL ABIN5977734
100 μL ABIN1851576
200 μL ABIN1851577
300 μL ABIN6300635
1 mL ABIN5977734
100 μL ABIN1851576
200 μL ABIN1851577
300 μL ABIN6300635
Lieferung in 7 bis 13 Werktagen
Kurzübersicht für MRPL39 Antikörper (C-Term) (ABIN1851576)
Target
Alle MRPL39 Antikörper anzeigen
MRPL39
(Mitochondrial Ribosomal Protein L39 (MRPL39))
Reaktivität
Alle Reaktivitäten für MRPL39 Antikörper
Human
Wirt
Alle Wirte für MRPL39 Antikörper
Kaninchen
Klonalität
Alle Klonalitäten für MRPL39 Antikörper
Polyklonal
Konjugat
Alle Konjugate für MRPL39 Antikörper
Dieser MRPL39 Antikörper ist unkonjugiert
Applikation
Alle Applikationen für MRPL39 Antikörper
Western Blotting (WB), Immunohistochemistry (IHC), ELISA
Produktdetails anti-MRPL39 Antikörper
(ausblenden)
Bindungsspezifität
Alle Epitope für MRPL39 Antikörper
C-Term
Spezifität
Rabbit polyclonal antibody against MRPL39 protein.
Aufreinigung
The antibody was affinity-purified from rabbit antiserum by affinity-chromatography using epitope-specific immunogen
Immunogen
The antiserum was produced against synthesized peptide derived from C-terminal of human MRPL39.
Alternativen
(anzeigen)
Anwendungsinformationen
(ausblenden)
Beschränkungen
Nur für Forschungszwecke einsetzbar
Handhabung
(ausblenden)
Lagerung
-20 °C
Informationen zur Lagerung
Aliquot and store at -20 °C. Avoid repeated freeze/thaw cycles.
Details zu MRPL39
(ausblenden)
Target
MRPL39
(Mitochondrial Ribosomal Protein L39 (MRPL39))
Andere Bezeichnung
MRPL39
UniProt
Q9NYK5
Zuletzt angesehen
(ausblenden)
Sie sind hier:
Startseite
anti-MRPL39 Antikörper (C-Term) (ABIN1851576)
Chat with us , powered by LiveChat