Telefon:
+49 (0)241 95 163 153
Fax:
+49 (0)241 95 163 155
E-Mail:
orders@antikoerper-online.de

RRAD Antikörper (Internal Region)

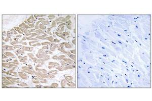
Dieser Kaninchen Polyklonal Antikörper detektiert spezifisch RRAD in IHC, ELISA, WB und IF/ICC. Es zeigt Reaktivität gegenüber Proben von Human.
Produktnummer ABIN1851412
453,66 €
Zzgl. Versandkosten 20,00 € und MwSt
Lieferung nach: Deutschland
Lieferung in 7 bis 13 Werktagen

Kurzübersicht für RRAD Antikörper (Internal Region) (ABIN1851412)

Target

Alle RRAD Antikörper anzeigen
RRAD (Ras-Related Associated with Diabetes (RRAD))

Reaktivität

  • 33
  • 14
  • 13
  • 4
  • 4
  • 4
  • 3
  • 2
  • 2
  • 1
  • 1
Human

Wirt

  • 33
  • 1
Kaninchen

Klonalität

  • 34
Polyklonal

Konjugat

  • 13
  • 2
  • 1
  • 1
  • 1
  • 1
  • 1
  • 1
  • 1
  • 1
  • 1
  • 1
  • 1
  • 1
  • 1
  • 1
  • 1
  • 1
  • 1
  • 1
  • 1
Dieser RRAD Antikörper ist unkonjugiert

Applikation

  • 13
  • 13
  • 11
  • 8
  • 7
  • 5
  • 4
  • 3
  • 2
  • 1
Immunohistochemistry (IHC), ELISA, Western Blotting (WB), Immunofluorescence (fixed cells) (IF/ICC)
Sie sind hier:
Chat with us!