Telefon:
+49 (0)241 95 163 153
Fax:
+49 (0)241 95 163 155
E-Mail:
orders@antikoerper-online.de

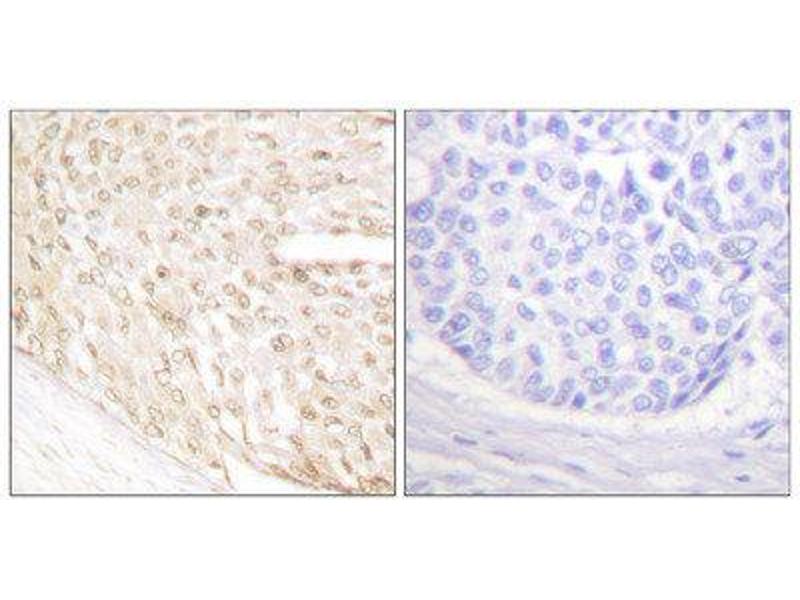
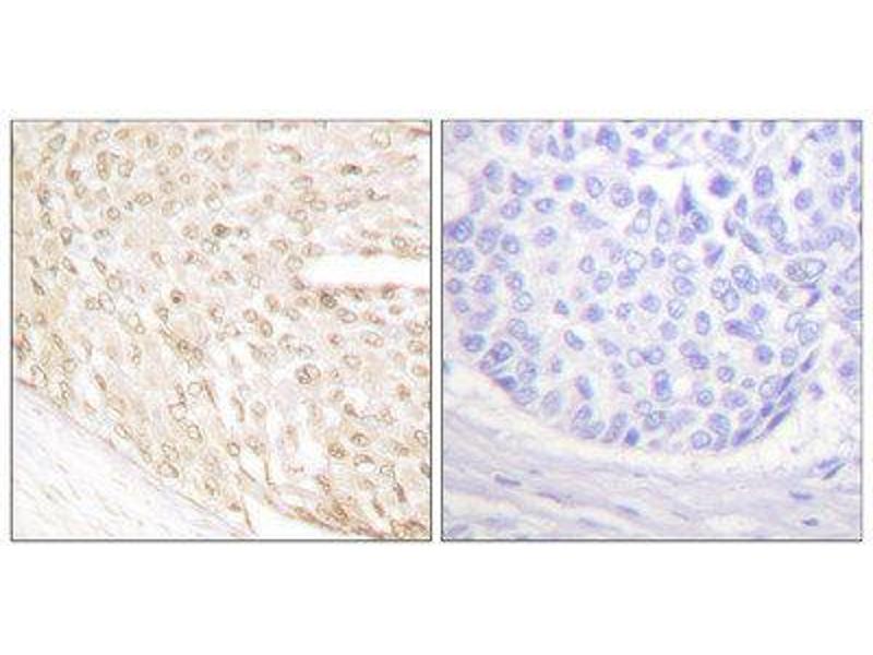
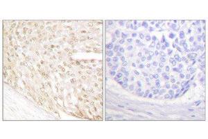
P18 INK Antikörper (C-Term)

Der Kaninchen Polyklonal anti-P18 INK Antikörper (ABIN1848714) detektiert spezifisch P18 INK in IHC, ELISA und WB. Dieser Antikörper reagiert spezifisch mit Proben aus Human und Maus.
Produktnummer ABIN1848714
453,66 €
Zzgl. Versandkosten 20,00 € und MwSt
Lieferung nach: Deutschland
Lieferung in 7 bis 13 Werktagen

Kurzübersicht für P18 INK Antikörper (C-Term) (ABIN1848714)

Target

P18 INK

Reaktivität

  • 11
  • 10
  • 8
Human, Maus

Wirt

  • 11
Kaninchen

Klonalität

  • 11
Polyklonal

Konjugat

  • 4
  • 1
  • 1
  • 1
  • 1
  • 1
  • 1
  • 1
Dieser P18 INK Antikörper ist unkonjugiert

Applikation

  • 4
  • 4
  • 4
  • 2
  • 2
Immunohistochemistry (IHC), ELISA, Western Blotting (WB)
  • Bindungsspezifität

    C-Term

    Spezifität

    Rabbit polyclonal antibody against p18 INK protein.

    Aufreinigung

    The antibody was affinity-purified from rabbit antiserum by affinity-chromatography using epitope-specific immunogen

    Immunogen

    The antiserum was produced against synthesized peptide derived from C-terminal of human p18 INK antibody.
  • Beschränkungen

    Nur für Forschungszwecke einsetzbar
  • Lagerung

    -20 °C

    Informationen zur Lagerung

    Aliquot and store at -20 °C. Avoid repeated freeze/thaw cycles.
  • Target

    P18 INK

    UniProt

    P42773
Sie sind hier:
Chat with us!