Telefon:
+49 (0)241 95 163 153
Fax:
+49 (0)241 95 163 155
E-Mail:
orders@antikoerper-online.de

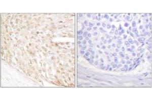
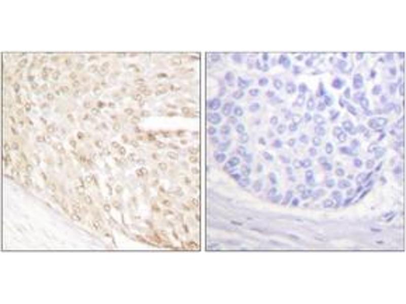
P18 INK Antikörper (AA 111-160)

Dieser Kaninchen Polyklonal Antikörper detektiert spezifisch P18 INK in IHC, ELISA und WB. Es zeigt Reaktivität gegenüber Proben von Human und Maus.
Produktnummer ABIN1533366
402,00 €
Zzgl. Versandkosten 20,00 € und MwSt
Lieferung nach: Deutschland
Lieferung in 6 bis 9 Werktagen

Kurzübersicht für P18 INK Antikörper (AA 111-160) (ABIN1533366)

Target

P18 INK

Reaktivität

  • 11
  • 10
  • 8
Human, Maus

Wirt

  • 11
Kaninchen

Klonalität

  • 11
Polyklonal

Konjugat

  • 4
  • 1
  • 1
  • 1
  • 1
  • 1
  • 1
  • 1
Dieser P18 INK Antikörper ist unkonjugiert

Applikation

  • 4
  • 4
  • 4
  • 2
  • 2
Immunohistochemistry (IHC), ELISA, Western Blotting (WB)
  • Bindungsspezifität

    AA 111-160

    Spezifität

    p18 INK Antibody detects endogenous levels of total p18 INK protein.

    Aufreinigung

    The antibody was purified from rabbit antiserum by affinity-chromatography using immunogen.

    Reinheit

    > 95 %

    Immunogen

    The antiserum was produced against synthesized peptide derived from human p18 INK.

    Isotyp

    IgG
  • Applikationshinweise

    WB: 1:500~1:1000 IHC: 1:50~1:100 ELISA: 1:5000

    Kommentare

    Unigene-Number: Hs.525324 (NCBI Gene Symbol: CDKN2C)

    Beschränkungen

    Nur für Forschungszwecke einsetzbar
  • Format

    Liquid

    Konzentration

    1 mg/mL

    Buffer

    phosphate buffered saline (without Mg2+ and Ca2+), pH 7.4, 150 mM NaCl, 0.02 % sodium azide and 50 % glycerol.

    Konservierungsmittel

    Sodium azide

    Vorsichtsmaßnahmen

    This product contains sodium azide: a POISONOUS AND HAZARDOUS SUBSTANCE which should be handled by trained staff only.

    Lagerung

    -20 °C

    Informationen zur Lagerung

    Stable at -20°C for at least 1 year.

    Haltbarkeit

    12 months
  • Target

    P18 INK

    Hintergrund

    Synonyms: OTTHUMP00000046546, p18(INK4C), p18-INK4C, CDK6 inhibitor p18, cyclin-dependent inhibitor, cyclin-dependent kinase 4 inhibitor C, cyclin-dependent kinase 6 inhibitor p18, cyclin-dependent kinase inhibitor 2C (p18, inhibits CDK4)

    NCBI Gene Symbol: CDKN2C

    Molekulargewicht

    18 kDa

    Gen-ID

    1031

    OMIM

    603369

    UniProt

    P42773
Sie sind hier:
Chat with us!