Telefon:
+49 (0)241 95 163 153
Fax:
+49 (0)241 95 163 155
E-Mail:
orders@antikoerper-online.de

TK (N-Term), (Ser13) Antikörper

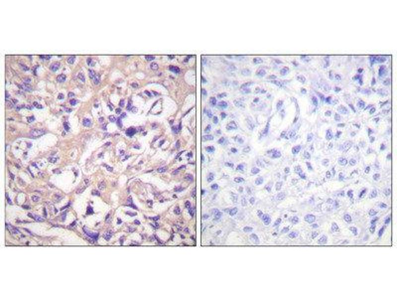
Der Kaninchen Polyklonal anti-TK Antikörper (ABIN1847976) detektiert spezifisch TK in ELISA, WB, IHC und IF/ICC. Dieser Antikörper reagiert spezifisch mit Proben aus Human, Maus und Ratte.
Produktnummer ABIN1847976
453,66 €
Zzgl. Versandkosten 20,00 € und MwSt
Lieferung nach: Deutschland
Lieferung in 7 bis 13 Werktagen

Kurzübersicht für TK (N-Term), (Ser13) Antikörper (ABIN1847976)

Target

TK

Reaktivität

  • 5
  • 4
  • 3
  • 3
Human, Maus, Ratte

Wirt

  • 8
Kaninchen

Klonalität

  • 9
Polyklonal

Konjugat

  • 6
  • 1
  • 1
  • 1
Unkonjugiert

Applikation

ELISA, Western Blotting (WB), Immunohistochemistry (IHC), Immunofluorescence (fixed cells) (IF/ICC)
  • Bindungsspezifität

    • 4
    • 2
    • 2
    • 1
    • 1
    N-Term, Ser13

    Spezifität

    Rabbit polyclonal antibody against TK protein.

    Aufreinigung

    The antibody was affinity-purified from rabbit antiserum by affinity-chromatography using epitope-specific immunogen.

    Immunogen

    The antiserum was produced against synthesized non-phosphopeptide derived from human TK around the phosphorylation site of serine13 (P-G-SP-P-S).
  • Beschränkungen

    Nur für Forschungszwecke einsetzbar
  • Lagerung

    -20 °C

    Informationen zur Lagerung

    Aliquot and store at -20 °C. Stable for 12 months from date of receipt.

    Haltbarkeit

    12 months
  • Target

    TK
Sie sind hier:
Chat with us!