Telefon:
+49 (0)241 95 163 153
Fax:
+49 (0)241 95 163 155
E-Mail:
orders@antikoerper-online.de

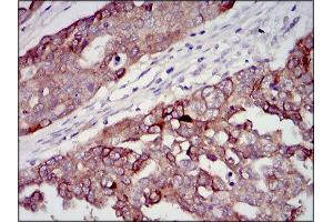
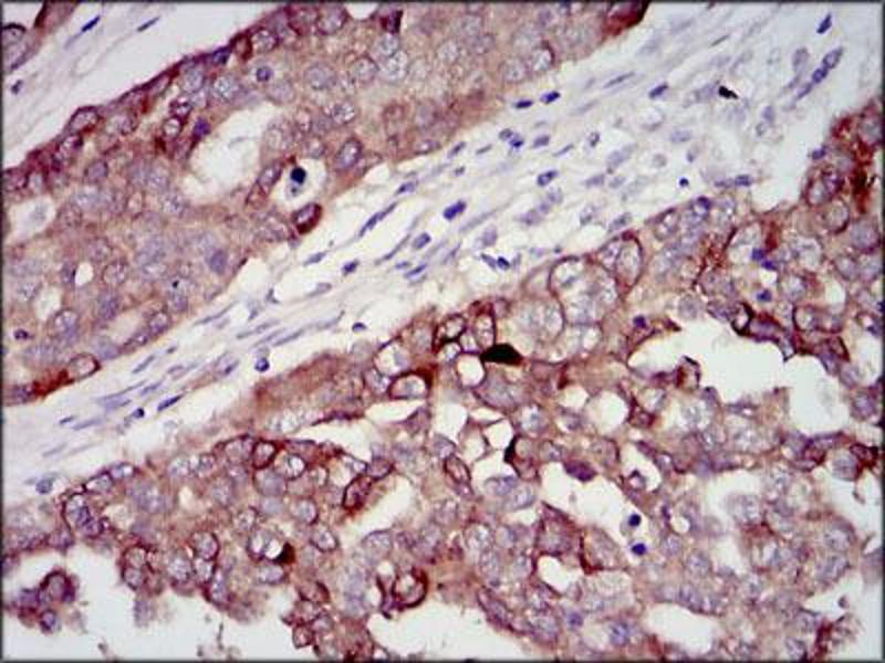
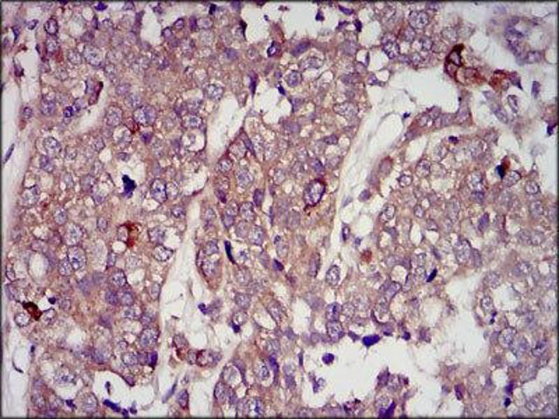
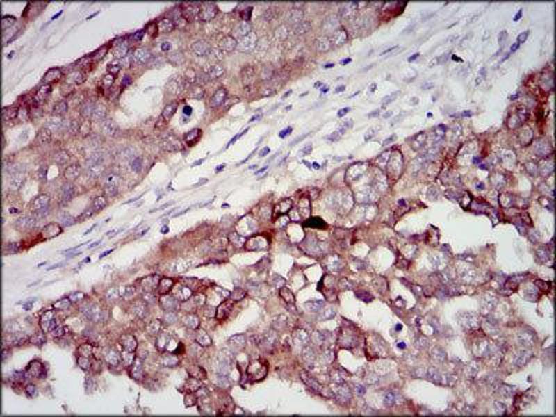
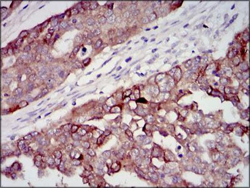
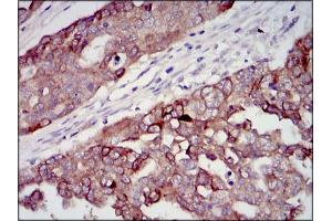
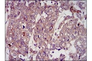
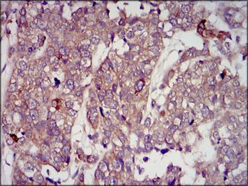
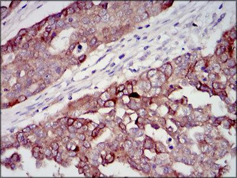
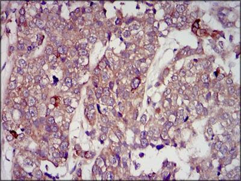
IGF2 Antikörper (AA 25-180)

Der Maus Monoklonal anti-IGF2 Antikörper (ABIN1846026) detektiert spezifisch IGF2 in WB, IHC, ELISA, IF/ICC und FACS. Dieser Antikörper reagiert spezifisch mit Proben aus Human.
Produktnummer ABIN1846026
620,49 €
Zzgl. Versandkosten 20,00 € und MwSt
100 μL
Lieferung nach: Deutschland
Lieferung in 7 bis 13 Werktagen

Kurzübersicht für IGF2 Antikörper (AA 25-180) (ABIN1846026)

Target

Alle IGF2 Antikörper anzeigen
IGF2 (Insulin-Like Growth Factor 2 (IGF2))

Reaktivität

  • 92
  • 30
  • 21
  • 3
  • 3
  • 2
  • 1
  • 1
  • 1
  • 1
  • 1
Human

Wirt

  • 88
  • 20
  • 2
  • 2
  • 1
  • 1
Maus

Klonalität

  • 72
  • 42
Monoklonal

Konjugat

  • 56
  • 14
  • 9
  • 3
  • 3
  • 3
  • 2
  • 2
  • 2
  • 2
  • 2
  • 2
  • 1
  • 1
  • 1
  • 1
  • 1
  • 1
  • 1
  • 1
  • 1
  • 1
  • 1
  • 1
  • 1
  • 1
Dieser IGF2 Antikörper ist unkonjugiert

Applikation

  • 93
  • 40
  • 28
  • 27
  • 26
  • 17
  • 14
  • 13
  • 13
  • 8
  • 7
  • 4
  • 4
  • 3
  • 3
  • 1
  • 1
  • 1
  • 1
Western Blotting (WB), Immunohistochemistry (IHC), ELISA, Immunofluorescence (fixed cells) (IF/ICC), Flow Cytometry (FACS)
Sie sind hier:
Chat with us!