Telefon:
+49 (0)241 95 163 153
Fax:
+49 (0)241 95 163 155
E-Mail:
orders@antikoerper-online.de

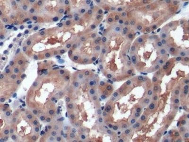
IGF2 Antikörper (AA 25-91)

Dieser Kaninchen Polyklonal Antikörper detektiert spezifisch IGF2 in WB, IHC, ICC und IP. Es zeigt Reaktivität gegenüber Proben von Ratte.
Produktnummer ABIN7430579
304,89 €
Zzgl. Versandkosten 20,00 € und MwSt
Lieferung nach: Deutschland
Lieferung in 11 bis 15 Werktagen

Kurzübersicht für IGF2 Antikörper (AA 25-91) (ABIN7430579)

Target

Alle IGF2 Antikörper anzeigen
IGF2 (Insulin-Like Growth Factor 2 (IGF2))

Reaktivität

  • 92
  • 29
  • 21
  • 3
  • 3
  • 2
  • 1
  • 1
  • 1
  • 1
  • 1
Ratte

Wirt

  • 87
  • 20
  • 2
  • 2
  • 1
  • 1
Kaninchen

Klonalität

  • 71
  • 42
Polyklonal

Konjugat

  • 55
  • 14
  • 9
  • 3
  • 3
  • 3
  • 2
  • 2
  • 2
  • 2
  • 2
  • 2
  • 1
  • 1
  • 1
  • 1
  • 1
  • 1
  • 1
  • 1
  • 1
  • 1
  • 1
  • 1
  • 1
  • 1
Dieser IGF2 Antikörper ist unkonjugiert

Applikation

  • 92
  • 39
  • 28
  • 27
  • 25
  • 17
  • 14
  • 13
  • 12
  • 8
  • 7
  • 4
  • 4
  • 3
  • 3
  • 1
  • 1
  • 1
  • 1
Western Blotting (WB), Immunohistochemistry (IHC), Immunocytochemistry (ICC), Immunoprecipitation (IP)
  • Bindungsspezifität

    • 16
    • 10
    • 8
    • 4
    • 3
    • 2
    • 2
    • 2
    • 2
    • 1
    • 1
    • 1
    • 1
    AA 25-91

    Verwendungszweck

    Polyclonal Antibody to Insulin Like Growth Factor 2 (IGF2)

    Spezifität

    The antibody is a rabbit polyclonal antibody raised against IGF2. It has been selected for its ability to recognize IGF2 in immunohistochemical staining and western blotting.

    Aufreinigung

    Antigen-specific affinity chromatography followed by Protein A affinity chromatography

    Immunogen

    Recombinant Insulin Like Growth Factor 2 (IGF2) corresdonding to Ala25~Glu91 with N-terminal His Tag

    Isotyp

    IgG
  • Applikationshinweise

    Western blotting: 0.5-2 μg/mL,Immunohistochemistry: 5-20 μg/mL,Immunocytochemistry: 5-20 μg/mL,Optimal working dilutions must be determined by end user.

    Kommentare

    The thermal stability is described by the loss rate. The loss rate was determined by accelerated thermal degradation test, that is, incubate the protein at 37°C for 48h, and no obvious degradation and precipitation were observed. The loss rate is less than 5% within the expiration date under appropriate storage condition.

    Beschränkungen

    Nur für Forschungszwecke einsetzbar
  • Format

    Liquid

    Konzentration

    500 μg/mL

    Buffer

    PBS, pH 7.4, containing 0.02 % Sodium azide, 50 % glycerol.

    Konservierungsmittel

    Sodium azide

    Vorsichtsmaßnahmen

    This product contains Sodium azide: a POISONOUS AND HAZARDOUS SUBSTANCE which should be handled by trained staff only.

    Lagerung

    4 °C,-20 °C

    Informationen zur Lagerung

    Store at 4°C for frequent use. Stored at -20°C in a manual defrost freezer for two year without detectable loss of activity. Avoid repeated freeze-thaw cycles.

    Haltbarkeit

    24 months
  • Target

    IGF2 (Insulin-Like Growth Factor 2 (IGF2))

    Andere Bezeichnung

    IGF2

    Hintergrund

    INSIGF, IGF-II, Somatomedin A, Preptin, Insulin-like growth factor II Ala-25 Del

    Pathways

    Hormone Activity, Regulation of Hormone Metabolic Process, Regulation of Hormone Biosynthetic Process, Regulation of Carbohydrate Metabolic Process, Activated T Cell Proliferation
Sie sind hier:
Chat with us!