Telefon:
+49 (0)241 95 163 153
Fax:
+49 (0)241 95 163 155
E-Mail:
orders@antikoerper-online.de

Id2 Antikörper (AA 1-134)

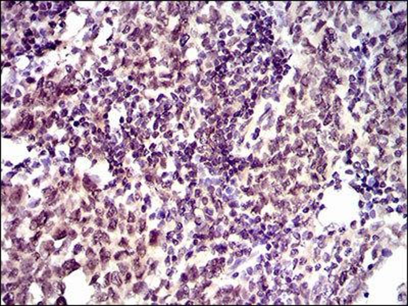
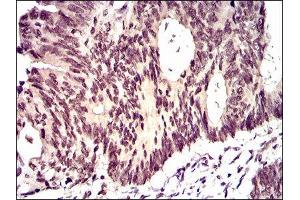
Der Maus Monoklonal anti-Id2 Antikörper (ABIN1845429) detektiert spezifisch Id2 in ELISA, IHC, WB und FACS. Dieser Antikörper reagiert spezifisch mit Proben aus Human, Ratte und Maus.
Produktnummer ABIN1845429
620,49 €
Zzgl. Versandkosten 20,00 € und MwSt
Lieferung nach: Deutschland
Lieferung in 7 bis 13 Werktagen

Kurzübersicht für Id2 Antikörper (AA 1-134) (ABIN1845429)

Target

Alle Id2 Antikörper anzeigen
Id2 (Inhibitor of DNA Binding 2 (Id2))

Reaktivität

  • 36
  • 33
  • 16
  • 3
  • 2
  • 1
  • 1
  • 1
  • 1
  • 1
Human, Ratte, Maus

Wirt

  • 43
  • 8
  • 1
Maus

Klonalität

  • 45
  • 7
Monoklonal

Konjugat

  • 25
  • 4
  • 3
  • 3
  • 1
  • 1
  • 1
  • 1
  • 1
  • 1
  • 1
  • 1
  • 1
  • 1
  • 1
  • 1
  • 1
  • 1
  • 1
  • 1
  • 1
Dieser Id2 Antikörper ist unkonjugiert

Applikation

  • 23
  • 20
  • 13
  • 13
  • 9
  • 4
  • 4
  • 3
  • 2
  • 1
  • 1
  • 1
ELISA, Immunohistochemistry (IHC), Western Blotting (WB), Flow Cytometry (FACS)
  • Bindungsspezifität

    • 15
    • 12
    • 2
    • 2
    • 1
    • 1
    • 1
    • 1
    • 1
    AA 1-134

    Immunogen

    Purified recombinant fragment of human ID2 (AA: 1-134) expressed in E. coli.

    Isotyp

    IgG1
  • Applikationshinweise

    Optimal working dilution should be determined by the investigator.

    Beschränkungen

    Nur für Forschungszwecke einsetzbar
  • Format

    Liquid

    Buffer

    Ascitic fluid containing 0.03 % sodium azide.

    Konservierungsmittel

    Sodium azide

    Vorsichtsmaßnahmen

    This product contains Sodium azide: a POISONOUS AND HAZARDOUS SUBSTANCE which should be handled by trained staff only.

    Lagerung

    -20 °C

    Informationen zur Lagerung

    Aliquot and store at -20 °C. Avoid repeated freeze/thaw cycles.
  • Target

    Id2 (Inhibitor of DNA Binding 2 (Id2))

    Andere Bezeichnung

    ID2

    Hintergrund

    The protein encoded by this gene belongs to the inhibitor of DNA binding family, members of which are transcriptional regulators that contain a helix-loop-helix (HLH) domain but not a basic domain.Members of the inhibitor of DNA binding family inhibit the functions of basic helix-loop-helix transcription factors in a dominant-negative manner by suppressing their heterodimerization partners through the HLH domains.This protein may play a role in negatively regulating cell differentiation.A pseudogene of this gene is located on chromosome 3.

    Molekulargewicht

    15 kDa

    Gen-ID

    3398, 15902, 25587
Sie sind hier:
Chat with us!