Telefon:
+49 (0)241 95 163 153
Fax:
+49 (0)241 95 163 155
E-Mail:
orders@antikoerper-online.de

Osteoactivin Antikörper (AA 31-260)

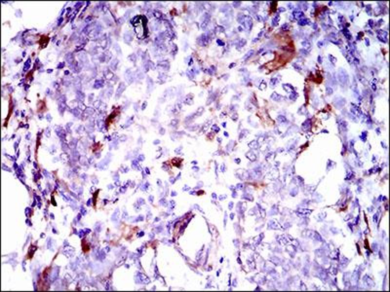
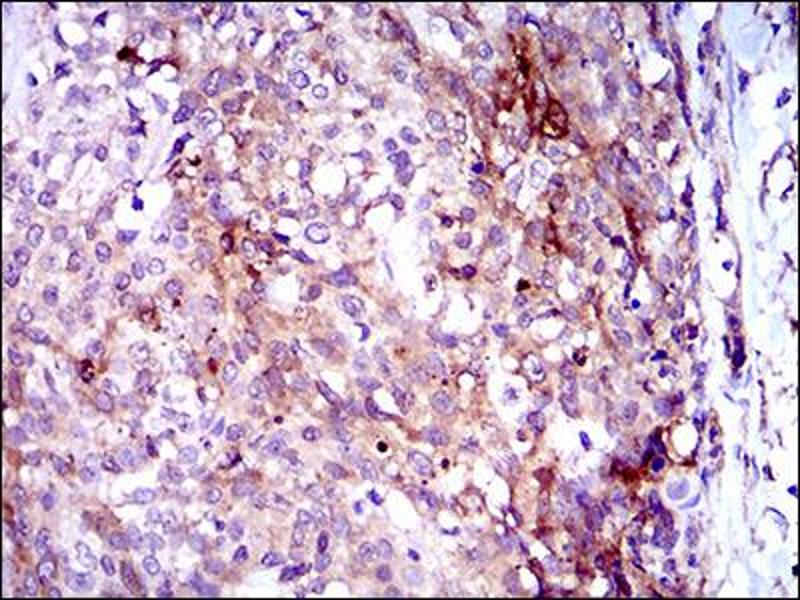
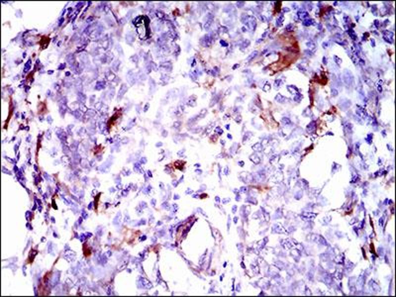
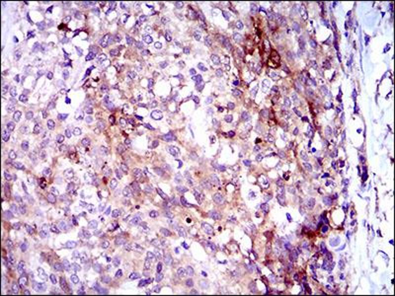
Zitiert in 2+ Publikationen. Der Maus Monoklonal anti-Osteoactivin Antikörper (Klon 7C10E5) (ABIN1724859) detektiert spezifisch Osteoactivin in WB, ELISA und IHC. Dieser Antikörper reagiert spezifisch mit Proben aus Human.
Produktnummer ABIN1724859
657,84 €
Zzgl. Versandkosten 20,00 € und MwSt
100 μL
Lieferung nach: Deutschland
Lieferung in 7 bis 10 Werktagen

Kurzübersicht für Osteoactivin Antikörper (AA 31-260) (ABIN1724859)

Target

Alle Osteoactivin (GPNMB) Antikörper anzeigen
Osteoactivin (GPNMB)

Reaktivität

  • 67
  • 29
  • 27
  • 7
  • 7
  • 5
  • 4
  • 4
  • 4
  • 2
  • 2
  • 1
Human

Wirt

  • 47
  • 17
  • 6
Maus

Klonalität

  • 45
  • 21
  • 2
Monoklonal

Konjugat

  • 29
  • 4
  • 4
  • 4
  • 3
  • 2
  • 2
  • 1
  • 1
  • 1
  • 1
  • 1
  • 1
  • 1
  • 1
  • 1
  • 1
  • 1
  • 1
  • 1
  • 1
  • 1
  • 1
  • 1
  • 1
  • 1
  • 1
Dieser Osteoactivin Antikörper ist unkonjugiert

Applikation

  • 46
  • 20
  • 13
  • 13
  • 10
  • 10
  • 6
  • 5
  • 5
  • 3
  • 1
  • 1
Western Blotting (WB), ELISA, Immunohistochemistry (IHC)

Klon

7C10E5
  • Bindungsspezifität

    • 15
    • 8
    • 5
    • 3
    • 2
    • 2
    • 2
    • 1
    • 1
    • 1
    • 1
    • 1
    • 1
    • 1
    • 1
    AA 31-260

    Verwendungszweck

    GPNMB Antibody

    Aufreinigung

    Purified antibody

    Immunogen

    Purified recombinant fragment of human GPNMB (AA: 31-260) expressed in E. Coli.

    Isotyp

    IgG1
  • Applikationshinweise

    ELISA: 1/10000

    Beschränkungen

    Nur für Forschungszwecke einsetzbar
  • Format

    Liquid

    Buffer

    Purified antibody in PBS with 0.05 % sodium azide.

    Konservierungsmittel

    Sodium azide

    Vorsichtsmaßnahmen

    This product contains Sodium azide: a POISONOUS AND HAZARDOUS SUBSTANCE which should be handled by trained staff only.

    Lagerung

    4 °C,-20 °C

    Informationen zur Lagerung

    Store at 4°C short term. Aliquot and store at -20°C long term. Avoid freeze/thaw cycles.
  • Tsui, Chang, Feng, Chang, Juang: "Glycoprotein transmembrane nmb: an androgen-downregulated gene attenuates cell invasion and tumorigenesis in prostate carcinoma cells." in: The Prostate, Vol. 72, Issue 13, pp. 1431-42, (2012) (PubMed).

    Williams, Esmaeli, Soheili, Simantov, Gombos, Bedikian, Hwu: "GPNMB expression in uveal melanoma: a potential for targeted therapy." in: Melanoma research, Vol. 20, Issue 3, pp. 184-90, (2010) (PubMed).

  • Target

    Osteoactivin (GPNMB)

    Andere Bezeichnung

    GPNMB

    Hintergrund

    The protein encoded by this gene is a type I transmembrane glycoprotein which shows homology to the pMEL17 precursor, a melanocyte-specific protein. GPNMB shows expression in the lowly metastatic human melanoma cell lines and xenografts but does not show expression in the highly metastatic cell lines. GPNMB may be involved in growth delay and reduction of metastatic potential. Two transcript variants encoding different isoforms have been found for this gene.

    Molekulargewicht

    64 kDa

    UniProt

    Q14956
Sie sind hier:
Chat with us!