Telefon:
+49 (0)241 95 163 153
Fax:
+49 (0)241 95 163 155
E-Mail:
orders@antikoerper-online.de

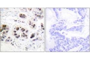
Histone H2A Antikörper (acLys5)

Dieser Kaninchen Polyklonal Antikörper detektiert spezifisch Histone H2A in IHC und ELISA. Es zeigt Reaktivität gegenüber Proben von Human, Ratte und Maus.
Produktnummer ABIN1535514
402,00 €
Zzgl. Versandkosten 20,00 € und MwSt
Lieferung nach: Deutschland
Lieferung in 6 bis 9 Werktagen

Kurzübersicht für Histone H2A Antikörper (acLys5) (ABIN1535514)

Target

Alle Histone H2A Antikörper anzeigen
Histone H2A

Reaktivität

  • 110
  • 77
  • 77
  • 4
  • 3
  • 2
  • 2
  • 2
  • 2
  • 2
  • 2
  • 1
  • 1
  • 1
  • 1
Human, Ratte, Maus

Wirt

  • 111
  • 2
Kaninchen

Klonalität

  • 67
  • 46
Polyklonal

Konjugat

  • 57
  • 6
  • 5
  • 5
  • 5
  • 5
  • 5
  • 5
  • 3
  • 3
  • 1
  • 1
  • 1
  • 1
  • 1
  • 1
  • 1
  • 1
  • 1
  • 1
  • 1
  • 1
  • 1
  • 1
Dieser Histone H2A Antikörper ist unkonjugiert

Applikation

  • 91
  • 47
  • 26
  • 26
  • 26
  • 17
  • 15
  • 14
  • 12
  • 7
  • 6
  • 4
  • 2
  • 1
  • 1
Immunohistochemistry (IHC), ELISA
  • Bindungsspezifität

    • 16
    • 11
    • 11
    • 11
    • 10
    • 8
    • 6
    • 3
    • 3
    • 2
    • 2
    • 2
    • 1
    • 1
    • 1
    • 1
    • 1
    • 1
    • 1
    • 1
    • 1
    • 1
    • 1
    • 1
    • 1
    • 1
    AA 1-50, acLys5

    Spezifität

    Histone H2A (Acetyl-Lys5) Antibody detects endogenous levels of total Histone H2A protein only when acetylated at Lys5.

    AcetylationH:K5 M:K5 R:K5

    Aufreinigung

    The antibody was purified from rabbit antiserum by affinity-chromatography using acetylated peptide. The antibody against non-acetylated peptide was removed by chromatography using corresponding non-acetylated peptide.

    Reinheit

    > 95 %

    Immunogen

    The antiserum was produced against synthesized peptide derived from human Histone H2A around the acetylated site of Lys5.

    Isotyp

    IgG
  • Applikationshinweise

    IHC: 1:50~1:100 ELISA: 1:1000

    Kommentare

    Unigene-Number: Hs.119192 (NCBI Gene Symbol: H2AFZ)

    Beschränkungen

    Nur für Forschungszwecke einsetzbar
  • Format

    Liquid

    Konzentration

    1 mg/mL

    Buffer

    phosphate buffered saline (without Mg2+ and Ca2+), pH 7.4, 150 mM NaCl, 0.02 % sodium azide and 50 % glycerol.

    Konservierungsmittel

    Sodium azide

    Vorsichtsmaßnahmen

    This product contains sodium azide: a POISONOUS AND HAZARDOUS SUBSTANCE which should be handled by trained staff only.

    Lagerung

    -20 °C

    Informationen zur Lagerung

    Stable at -20°C for at least 1 year.

    Haltbarkeit

    12 months
  • Target

    Histone H2A

    Hintergrund

    Synonyms: H2A.1b, H2A/c, H2A/d, H2A/i, H2A/n, H2A/p, H2A1, H2AC, H2AFC, H2AFD ANDHIST1H2AL, H2AFI, H2AFN ANDHIST1H2AG, H2AFP, HIST1H2AI, HIST1H2AJ, HIST1H2AM, Histone H2A.c/d/i/n/p

    NCBI Gene Symbol: H2AFZ

    Molekulargewicht

    13 kDa

    Gen-ID

    3015

    OMIM

    142763

    UniProt

    P0C0S5
Sie sind hier:
Chat with us!