Telefon:
+49 (0)241 95 163 153
Fax:
+49 (0)241 95 163 155
E-Mail:
orders@antikoerper-online.de

PIGY Antikörper (AA 3-52)

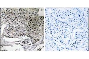
Der Kaninchen Polyklonal anti-PIGY Antikörper (ABIN1535165) detektiert spezifisch PIGY in ELISA und IHC. Dieser Antikörper reagiert spezifisch mit Proben aus Human und Maus.
Produktnummer ABIN1535165
402,00 €
Zzgl. Versandkosten 20,00 € und MwSt
Lieferung nach: Deutschland
Lieferung in 6 bis 9 Werktagen

Kurzübersicht für PIGY Antikörper (AA 3-52) (ABIN1535165)

Target

Alle PIGY Antikörper anzeigen
PIGY (Phosphatidylinositol Glycan Anchor Biosynthesis, Class Y (PIGY))

Reaktivität

  • 7
  • 6
  • 1
Human, Maus

Wirt

  • 7
Kaninchen

Klonalität

  • 7
Polyklonal

Konjugat

  • 7
Dieser PIGY Antikörper ist unkonjugiert

Applikation

  • 5
  • 4
  • 4
  • 3
  • 2
  • 1
ELISA, Immunohistochemistry (IHC)
  • Bindungsspezifität

    • 3
    • 2
    • 1
    • 1
    AA 3-52

    Spezifität

    PIGY Antibody detects endogenous levels of total PIGY protein.

    Aufreinigung

    The antibody was purified from rabbit antiserum by affinity-chromatography using immunogen.

    Reinheit

    > 95 %

    Immunogen

    The antiserum was produced against synthesized peptide derived from human PIGY.

    Isotyp

    IgG
  • Applikationshinweise

    IHC: 1:50~1:100 ELISA: 1:20000

    Kommentare

    Unigene-Number: Hs.26136 (NCBI Gene Symbol: PIGY)

    Beschränkungen

    Nur für Forschungszwecke einsetzbar
  • Format

    Liquid

    Konzentration

    1 mg/mL

    Buffer

    phosphate buffered saline (without Mg2+ and Ca2+), pH 7.4, 150 mM NaCl, 0.02 % sodium azide and 50 % glycerol.

    Konservierungsmittel

    Sodium azide

    Vorsichtsmaßnahmen

    This product contains sodium azide: a POISONOUS AND HAZARDOUS SUBSTANCE which should be handled by trained staff only.

    Lagerung

    -20 °C

    Informationen zur Lagerung

    Stable at -20°C for at least 1 year.

    Haltbarkeit

    12 months
  • Target

    PIGY (Phosphatidylinositol Glycan Anchor Biosynthesis, Class Y (PIGY))

    Andere Bezeichnung

    PIGY

    Hintergrund

    Synonyms: Phosphatidylinositol N-acetylglucosaminyltransferase subunit Y, Phosphatidylinositol-glycan biosynthesis class Y protein, PIG-Y,

    NCBI Gene Symbol: PIGY

    Molekulargewicht

    8 kDa

    Gen-ID

    84992

    OMIM

    610662

    UniProt

    Q3MUY2

    Pathways

    Inositol Metabolic Process
Sie sind hier:
Chat with us!