Telefon:
+49 (0)241 95 163 153
Fax:
+49 (0)241 95 163 155
E-Mail:
orders@antikoerper-online.de

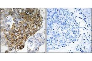
GJA3 Antikörper (AA 151-200)

Der Kaninchen Polyklonal anti-GJA3 Antikörper (ABIN1534931) detektiert spezifisch GJA3 in ELISA und IHC. Dieser Antikörper reagiert spezifisch mit Proben aus Human, Maus und Ratte.
Produktnummer ABIN1534931
402,00 €
Zzgl. Versandkosten 20,00 € und MwSt
Lieferung nach: Deutschland
Lieferung in 6 bis 9 Werktagen

Kurzübersicht für GJA3 Antikörper (AA 151-200) (ABIN1534931)

Target

Alle GJA3 Antikörper anzeigen
GJA3 (Gap Junction Protein, alpha 3, 46kDa (GJA3))

Reaktivität

  • 27
  • 15
  • 8
  • 2
  • 1
  • 1
  • 1
  • 1
Human, Maus, Ratte

Wirt

  • 32
Kaninchen

Klonalität

  • 32
Polyklonal

Konjugat

  • 20
  • 2
  • 1
  • 1
  • 1
  • 1
  • 1
  • 1
  • 1
  • 1
  • 1
  • 1
Dieser GJA3 Antikörper ist unkonjugiert

Applikation

  • 21
  • 14
  • 12
  • 10
  • 5
  • 1
  • 1
ELISA, Immunohistochemistry (IHC)
  • Bindungsspezifität

    • 8
    • 7
    • 3
    • 3
    • 1
    • 1
    • 1
    • 1
    • 1
    AA 151-200

    Spezifität

    GJA3 Antibody detects endogenous levels of total GJA3 protein.

    Aufreinigung

    The antibody was purified from rabbit antiserum by affinity-chromatography using immunogen.

    Reinheit

    > 95 %

    Immunogen

    The antiserum was produced against synthesized peptide derived from human GJA3.

    Isotyp

    IgG
  • Applikationshinweise

    IHC: 1:50~1:100 ELISA: 1:20000

    Kommentare

    Unigene-Number: Hs.130313 (NCBI Gene Symbol: CXA3)

    Beschränkungen

    Nur für Forschungszwecke einsetzbar
  • Format

    Liquid

    Konzentration

    1 mg/mL

    Buffer

    phosphate buffered saline (without Mg2+ and Ca2+), pH 7.4, 150 mM NaCl, 0.02 % sodium azide and 50 % glycerol.

    Konservierungsmittel

    Sodium azide

    Vorsichtsmaßnahmen

    This product contains sodium azide: a POISONOUS AND HAZARDOUS SUBSTANCE which should be handled by trained staff only.

    Lagerung

    -20 °C

    Informationen zur Lagerung

    Stable at -20°C for at least 1 year.

    Haltbarkeit

    12 months
  • Target

    GJA3 (Gap Junction Protein, alpha 3, 46kDa (GJA3))

    Andere Bezeichnung

    GJA3

    Hintergrund

    Synonyms: Gap junction alpha-3 protein, Connexin-46, Cx46

    NCBI Gene Symbol: CXA3

    Molekulargewicht

    47 kDa

    Gen-ID

    2700

    OMIM

    121015

    UniProt

    Q9Y6H8
Sie sind hier:
Chat with us!