Telefon:
+49 (0)241 95 163 153
Fax:
+49 (0)241 95 163 155
E-Mail:
orders@antikoerper-online.de

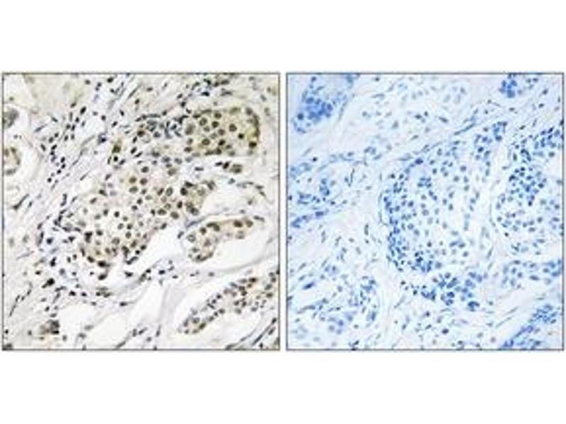
CDYL2 Antikörper (AA 31-80)

Der Kaninchen Polyklonal anti-CDYL2 Antikörper (ABIN1534775) detektiert spezifisch CDYL2 in IHC und ELISA. Dieser Antikörper reagiert spezifisch mit Proben aus Human.
Produktnummer ABIN1534775
402,00 €
Zzgl. Versandkosten 20,00 € und MwSt
Lieferung nach: Deutschland
Lieferung in 6 bis 9 Werktagen

Kurzübersicht für CDYL2 Antikörper (AA 31-80) (ABIN1534775)

Target

CDYL2 (Chromodomain Protein, Y-Like 2 (CDYL2))

Reaktivität

  • 22
  • 5
  • 4
  • 2
  • 2
  • 2
  • 2
  • 1
  • 1
  • 1
Human

Wirt

  • 20
  • 2
Kaninchen

Klonalität

  • 22
Polyklonal

Konjugat

  • 15
  • 1
  • 1
  • 1
  • 1
  • 1
  • 1
  • 1
Dieser CDYL2 Antikörper ist unkonjugiert

Applikation

  • 14
  • 5
  • 5
  • 5
  • 4
  • 1
  • 1
  • 1
Immunohistochemistry (IHC), ELISA
  • Bindungsspezifität

    • 7
    • 2
    • 1
    • 1
    • 1
    AA 31-80

    Spezifität

    CDYL2 Antibody detects endogenous levels of total CDYL2 protein.

    Aufreinigung

    The antibody was purified from rabbit antiserum by affinity-chromatography using immunogen.

    Reinheit

    > 95 %

    Immunogen

    The antiserum was produced against synthesized peptide derived from human CDYL2.

    Isotyp

    IgG
  • Applikationshinweise

    IHC: 1:50~1:100 ELISA: 1:20000

    Kommentare

    Unigene-Number: Hs.373908 (NCBI Gene Symbol: CDYL2)

    Beschränkungen

    Nur für Forschungszwecke einsetzbar
  • Format

    Liquid

    Konzentration

    1 mg/mL

    Buffer

    phosphate buffered saline (without Mg2+ and Ca2+), pH 7.4, 150 mM NaCl, 0.02 % sodium azide and 50 % glycerol.

    Konservierungsmittel

    Sodium azide

    Vorsichtsmaßnahmen

    This product contains sodium azide: a POISONOUS AND HAZARDOUS SUBSTANCE which should be handled by trained staff only.

    Lagerung

    -20 °C

    Informationen zur Lagerung

    Stable at -20°C for at least 1 year.

    Haltbarkeit

    12 months
  • Target

    CDYL2 (Chromodomain Protein, Y-Like 2 (CDYL2))

    Andere Bezeichnung

    CDYL2

    Hintergrund

    Synonyms: Chromodomain Y-like protein 2, CDY-like 2

    NCBI Gene Symbol: CDYL2

    Molekulargewicht

    56 kDa

    Gen-ID

    124359

    UniProt

    Q8N8U2
Sie sind hier:
Chat with us!