Telefon:
+49 (0)241 95 163 153
Fax:
+49 (0)241 95 163 155
E-Mail:
orders@antikoerper-online.de

CDKL3 Antikörper (AA 291-340)

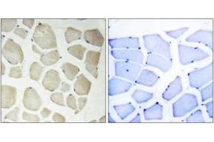
Der Kaninchen Polyklonal anti-CDKL3 Antikörper (ABIN1533989) detektiert spezifisch CDKL3 in ELISA und IHC. Dieser Antikörper reagiert spezifisch mit Proben aus Human.
Produktnummer ABIN1533989
402,00 €
Zzgl. Versandkosten 20,00 € und MwSt
Lieferung nach: Deutschland
Lieferung in 6 bis 9 Werktagen

Kurzübersicht für CDKL3 Antikörper (AA 291-340) (ABIN1533989)

Target

Alle CDKL3 Antikörper anzeigen
CDKL3 (Cyclin-Dependent Kinase-Like 3 (CDKL3))

Reaktivität

  • 38
  • 3
  • 3
  • 1
Human

Wirt

  • 35
  • 3
Kaninchen

Klonalität

  • 37
  • 1
Polyklonal

Konjugat

  • 18
  • 1
  • 1
  • 1
  • 1
  • 1
  • 1
  • 1
  • 1
  • 1
  • 1
  • 1
  • 1
  • 1
  • 1
  • 1
  • 1
  • 1
  • 1
  • 1
  • 1
Dieser CDKL3 Antikörper ist unkonjugiert

Applikation

  • 29
  • 13
  • 13
  • 8
  • 6
  • 5
  • 3
  • 2
  • 1
ELISA, Immunohistochemistry (IHC)
  • Bindungsspezifität

    • 15
    • 2
    • 2
    • 2
    • 1
    • 1
    • 1
    • 1
    • 1
    • 1
    • 1
    • 1
    • 1
    AA 291-340

    Spezifität

    CDKL3 Antibody detects endogenous levels of total CDKL3 protein.

    Aufreinigung

    The antibody was purified from rabbit antiserum by affinity-chromatography using immunogen.

    Reinheit

    > 95 %

    Immunogen

    The antiserum was produced against synthesized peptide derived from human CDKL3.

    Isotyp

    IgG
  • Applikationshinweise

    IHC: 1:50~1:100 ELISA: 1:5000

    Kommentare

    Unigene-Number: Hs.105818 (NCBI Gene Symbol: CDKL3)

    Beschränkungen

    Nur für Forschungszwecke einsetzbar
  • Format

    Liquid

    Konzentration

    1 mg/mL

    Buffer

    phosphate buffered saline (without Mg2+ and Ca2+), pH 7.4, 150 mM NaCl, 0.02 % sodium azide and 50 % glycerol.

    Konservierungsmittel

    Sodium azide

    Vorsichtsmaßnahmen

    This product contains sodium azide: a POISONOUS AND HAZARDOUS SUBSTANCE which should be handled by trained staff only.

    Lagerung

    -20 °C

    Informationen zur Lagerung

    Stable at -20°C for at least 1 year.

    Haltbarkeit

    12 months
  • Target

    CDKL3 (Cyclin-Dependent Kinase-Like 3 (CDKL3))

    Andere Bezeichnung

    CDKL3

    Hintergrund

    Synonyms: Cyclin-dependent kinase-like 3, Serine/threonine protein kinase NKIAMRE, CDKL3, NKIAMRE

    NCBI Gene Symbol: CDKL3

    Molekulargewicht

    67 kDa

    Gen-ID

    51265

    OMIM

    608459

    UniProt

    Q8IVW4

    Pathways

    Zellzyklus
Sie sind hier:
Chat with us!