UBR5 Antikörper (AA 1-50)
Kurzübersicht für UBR5 Antikörper (AA 1-50) (ABIN1533426)
Target
Alle UBR5 Antikörper anzeigenReaktivität
Wirt
Klonalität
Konjugat
Applikation
-
-
Bindungsspezifität
- AA 1-50
-
Spezifität
-
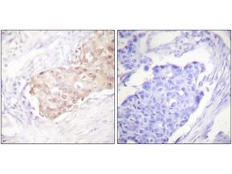
EDD Antibody detects endogenous levels of total EDD protein.
-
Aufreinigung
- The antibody was purified from rabbit antiserum by affinity-chromatography using immunogen.
-
Reinheit
- > 95 %
-
Immunogen
- The antiserum was produced against synthesized peptide derived from human EDD.
-
Isotyp
- IgG
-
-
-
-
Applikationshinweise
- WB: 1:500~1:1000 IHC: 1:50~1:100 ELISA: 1:5000
-
Kommentare
-
Unigene-Number: Hs.492445 (NCBI Gene Symbol: UBR5)
-
Beschränkungen
- Nur für Forschungszwecke einsetzbar
-
-
-
Format
- Liquid
-
Konzentration
- 1 mg/mL
-
Buffer
- phosphate buffered saline (without Mg2+ and Ca2+), pH 7.4, 150 mM NaCl, 0.02 % sodium azide and 50 % glycerol.
-
Konservierungsmittel
- Sodium azide
-
Vorsichtsmaßnahmen
- This product contains sodium azide: a POISONOUS AND HAZARDOUS SUBSTANCE which should be handled by trained staff only.
-
Lagerung
- -20 °C
-
Informationen zur Lagerung
- Stable at -20°C for at least 1 year.
-
Haltbarkeit
- 12 months
-
-
- UBR5 (Ubiquitin Protein Ligase E3 Component N-Recognin 5 (UBR5))
-
Andere Bezeichnung
- EDD
-
Hintergrund
-
Synonyms: 100 kDa protein, EDD, EDD1, hHYD, Hyperplastic discs protein homolog, KIAA0896, Progestin-induced protein, Ubiquitin--protein ligase EDD, UBR5
NCBI Gene Symbol: UBR5
-
Molekulargewicht
- 309 kDa
-
Gen-ID
- 51366
-
OMIM
- 608413
-
UniProt
- O95071
-
Pathways
- Intracellular Steroid Hormone Receptor Signaling Pathway
Target
-