UBR5 Antikörper
Kurzübersicht für UBR5 Antikörper (ABIN7076102)
Target
Alle UBR5 Antikörper anzeigenReaktivität
Wirt
Klonalität
Konjugat
Applikation
-
-
Kreuzreaktivität
- Ratte
-
Aufreinigung
- Affinity purification
-
Immunogen
- KLH conjugated Synthetic peptide corresponding to Mouse EDD
-
-
-
-
Applikationshinweise
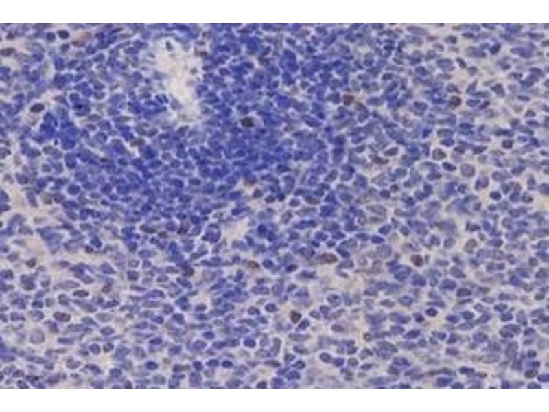
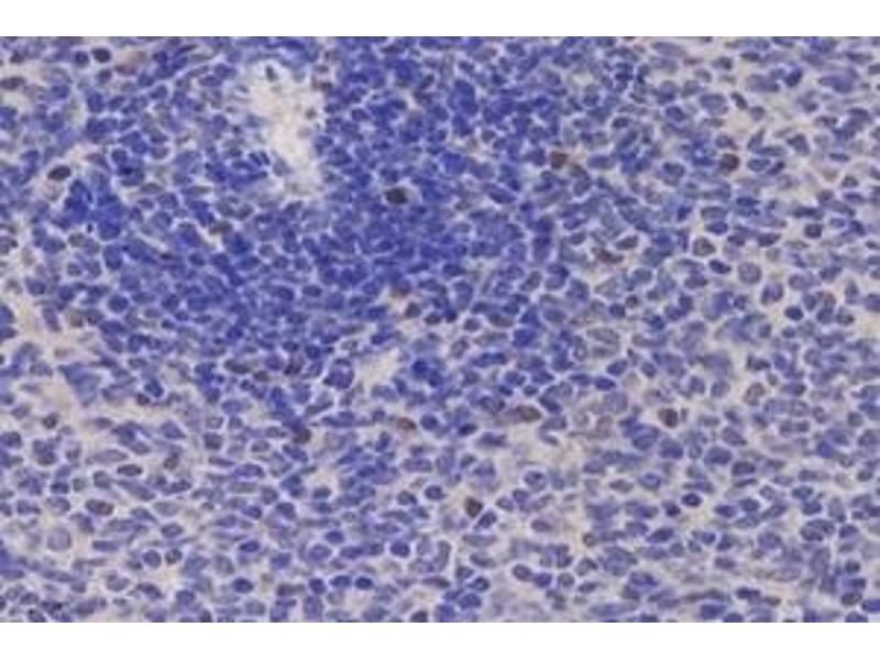
- IHC/IF (M,R) 1:350-1:700
-
Beschränkungen
- Nur für Forschungszwecke einsetzbar
-
-
-
Format
- Liquid
-
Buffer
- PBS, pH 7.4, 0.02 % sodium azide
-
Konservierungsmittel
- Sodium azide
-
Vorsichtsmaßnahmen
- This product contains Sodium azide: a POISONOUS AND HAZARDOUS SUBSTANCE which should be handled by trained staff only.
-
Lagerung
- -20 °C
-
-
- UBR5 (Ubiquitin Protein Ligase E3 Component N-Recognin 5 (UBR5))
-
Andere Bezeichnung
- EDD
-
Hintergrund
- UBR5, also named as ubiquitin protein ligase E3 component n-reconin5, is a HECT domain-containing protein as a myocardin-binding protein. UBR5 is highly conserved in metazoans, has unique structural features, and has been implicated in regulation of DNA damage response, metabolism, transcription, and apoptosis. Hence, UBR5 is a key regulator of cell signaling relevant to broad areas of cancer biology . The human UBR5 gene has 59 exons, encoding an approximately 10kb mRNA and >300 kDa protein with widespread expression in various cell types.
-
Gen-ID
- 70790
-
NCBI Accession
- NP_001074828
-
UniProt
- Q80TP3
-
Pathways
- Intracellular Steroid Hormone Receptor Signaling Pathway
Target
-