Telefon:
+49 (0)241 95 163 153
Fax:
+49 (0)241 95 163 155
E-Mail:
orders@antikoerper-online.de

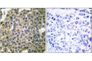
Cytokeratin 7 Antikörper (AA 420-469)

Der Kaninchen Polyklonal anti-Cytokeratin 7 Antikörper wird verwendet zum Nachweis von Cytokeratin 7 in Proben von Human. Er wurde validiert für WB, IHC, IF und ELISA.
Produktnummer ABIN1533327
402,00 €
Zzgl. Versandkosten 20,00 € und MwSt
Lieferung nach: Deutschland
Lieferung in 6 bis 9 Werktagen

Kurzübersicht für Cytokeratin 7 Antikörper (AA 420-469) (ABIN1533327)

Target

Alle Cytokeratin 7 (KRT7) Antikörper anzeigen
Cytokeratin 7 (KRT7) (Keratin 7 (KRT7))

Reaktivität

  • 263
  • 85
  • 72
  • 7
  • 6
  • 5
  • 3
  • 3
  • 2
  • 2
  • 2
  • 1
  • 1
  • 1
  • 1
  • 1
Human

Wirt

  • 160
  • 113
  • 1
  • 1
Kaninchen

Klonalität

  • 176
  • 98
  • 1
Polyklonal

Konjugat

  • 109
  • 25
  • 15
  • 7
  • 7
  • 7
  • 7
  • 7
  • 7
  • 7
  • 6
  • 6
  • 6
  • 6
  • 6
  • 6
  • 4
  • 3
  • 3
  • 3
  • 2
  • 2
  • 2
  • 2
  • 2
  • 2
  • 2
  • 2
  • 2
  • 2
  • 2
  • 2
  • 2
  • 1
  • 1
Dieser Cytokeratin 7 Antikörper ist unkonjugiert

Applikation

  • 182
  • 138
  • 120
  • 99
  • 49
  • 39
  • 31
  • 29
  • 29
  • 28
  • 19
  • 16
  • 13
  • 4
  • 4
  • 3
  • 2
  • 1
  • 1
  • 1
Western Blotting (WB), Immunohistochemistry (IHC), Immunofluorescence (IF), ELISA
  • Bindungsspezifität

    • 31
    • 16
    • 13
    • 9
    • 7
    • 5
    • 4
    • 4
    • 2
    • 2
    • 2
    • 2
    • 2
    • 2
    • 1
    • 1
    • 1
    • 1
    • 1
    • 1
    • 1
    • 1
    AA 420-469

    Spezifität

    Keratin 7 Antibody detects endogenous levels of total Keratin 7 protein.

    Aufreinigung

    The antibody was purified from rabbit antiserum by affinity-chromatography using immunogen.

    Reinheit

    > 95 %

    Immunogen

    The antiserum was produced against synthesized peptide derived from human Keratin 7.

    Isotyp

    IgG
  • Applikationshinweise

    WB: 1:500~1:1000 IHC: 1:50~1:100 IF: 1:100~1:500 ELISA: 1:5000

    Kommentare

    Unigene-Number: Hs.411501, Hs.670221 (NCBI Gene Symbol: KRT7)

    Beschränkungen

    Nur für Forschungszwecke einsetzbar
  • Format

    Liquid

    Konzentration

    1 mg/mL

    Buffer

    phosphate buffered saline (without Mg2+ and Ca2+), pH 7.4, 150 mM NaCl, 0.02 % sodium azide and 50 % glycerol.

    Konservierungsmittel

    Sodium azide

    Vorsichtsmaßnahmen

    This product contains sodium azide: a POISONOUS AND HAZARDOUS SUBSTANCE which should be handled by trained staff only.

    Lagerung

    -20 °C

    Informationen zur Lagerung

    Stable at -20°C for at least 1 year.

    Haltbarkeit

    12 months
  • Target

    Cytokeratin 7 (KRT7) (Keratin 7 (KRT7))

    Andere Bezeichnung

    Keratin 7

    Hintergrund

    Synonyms: Keratin, type II cytoskeletal 7, Cytokeratin-7, CK-7, K7, Sarcolectin

    NCBI Gene Symbol: KRT7

    Molekulargewicht

    51 kDa

    Gen-ID

    3855

    OMIM

    148059

    UniProt

    P08729
Sie sind hier:
Chat with us!