Telefon:
+49 (0)241 95 163 153
Fax:
+49 (0)241 95 163 155
E-Mail:
orders@antikoerper-online.de

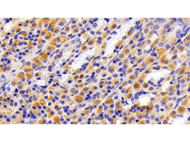
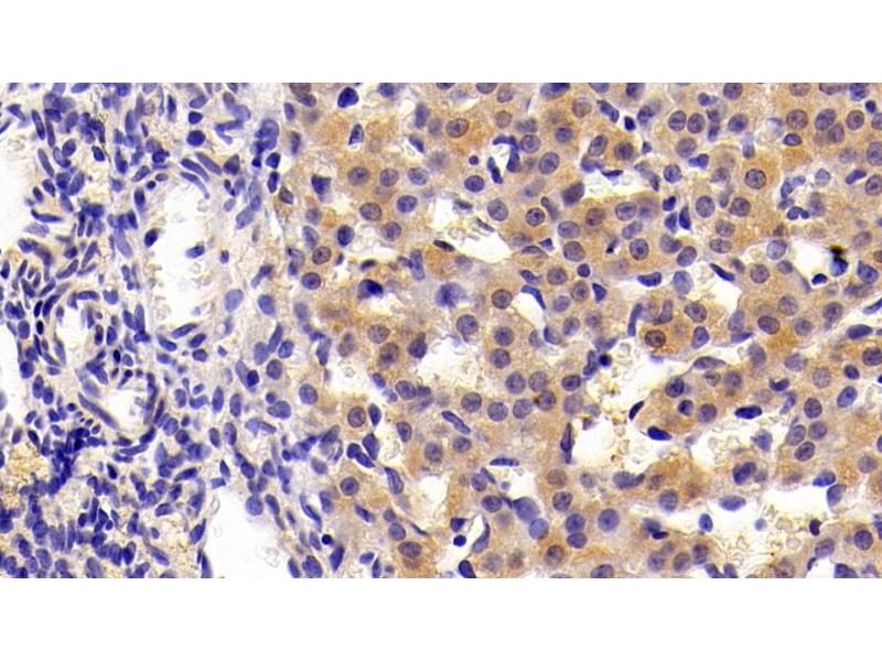
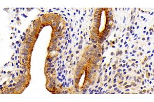
Cytokeratin 7 Antikörper (AA 394-457)

Dieser Kaninchen Polyklonal Antikörper detektiert spezifisch Cytokeratin 7 in WB, IHC, ICC und IP. Es zeigt Reaktivität gegenüber Proben von Ratte.
Produktnummer ABIN7437020
304,89 €
Zzgl. Versandkosten 20,00 € und MwSt
Lieferung nach: Deutschland
Lieferung in 11 bis 15 Werktagen

Kurzübersicht für Cytokeratin 7 Antikörper (AA 394-457) (ABIN7437020)

Target

Alle Cytokeratin 7 (KRT7) Antikörper anzeigen
Cytokeratin 7 (KRT7) (Keratin 7 (KRT7))

Reaktivität

  • 264
  • 84
  • 72
  • 7
  • 6
  • 5
  • 3
  • 3
  • 2
  • 2
  • 2
  • 1
  • 1
  • 1
  • 1
  • 1
Ratte

Wirt

  • 160
  • 113
  • 1
  • 1
Kaninchen

Klonalität

  • 176
  • 98
  • 1
Polyklonal

Konjugat

  • 109
  • 25
  • 15
  • 7
  • 7
  • 7
  • 7
  • 7
  • 7
  • 7
  • 6
  • 6
  • 6
  • 6
  • 6
  • 6
  • 4
  • 3
  • 3
  • 3
  • 2
  • 2
  • 2
  • 2
  • 2
  • 2
  • 2
  • 2
  • 2
  • 2
  • 2
  • 2
  • 2
  • 1
  • 1
Dieser Cytokeratin 7 Antikörper ist unkonjugiert

Applikation

  • 182
  • 138
  • 121
  • 99
  • 48
  • 40
  • 31
  • 29
  • 28
  • 28
  • 19
  • 16
  • 13
  • 4
  • 4
  • 3
  • 2
  • 1
  • 1
  • 1
Western Blotting (WB), Immunohistochemistry (IHC), Immunocytochemistry (ICC), Immunoprecipitation (IP)
  • Bindungsspezifität

    • 31
    • 16
    • 13
    • 9
    • 7
    • 5
    • 4
    • 4
    • 2
    • 2
    • 2
    • 2
    • 2
    • 1
    • 1
    • 1
    • 1
    • 1
    • 1
    • 1
    • 1
    • 1
    • 1
    AA 394-457

    Verwendungszweck

    Polyclonal Antibody to Cytokeratin 7 (CK7)

    Spezifität

    The antibody is a rabbit polyclonal antibody raised against CK7. It has been selected for its ability to recognize CK7 in immunohistochemical staining and western blotting.

    Kreuzreaktivität

    Maus

    Aufreinigung

    Antigen-specific affinity chromatography followed by Protein A affinity chromatography

    Immunogen

    Recombinant Cytokeratin 7 (CK7) corresdonding to Gln394~Asn457 (Accession # Q6IG12) with N-terminal His Tag

    Isotyp

    IgG
  • Applikationshinweise

    Western blotting: 0.5-2 μg/mL,Immunohistochemistry: 5-20 μg/mL,Immunocytochemistry: 5-20 μg/mL,Optimal working dilutions must be determined by end user.

    Kommentare

    The thermal stability is described by the loss rate. The loss rate was determined by accelerated thermal degradation test, that is, incubate the protein at 37°C for 48h, and no obvious degradation and precipitation were observed. The loss rate is less than 5% within the expiration date under appropriate storage condition.

    Beschränkungen

    Nur für Forschungszwecke einsetzbar
  • Format

    Liquid

    Konzentration

    500 μg/mL

    Buffer

    PBS, pH 7.4, containing 0.02 % Sodium azide, 50 % glycerol.

    Konservierungsmittel

    Sodium azide

    Vorsichtsmaßnahmen

    This product contains Sodium azide: a POISONOUS AND HAZARDOUS SUBSTANCE which should be handled by trained staff only.

    Lagerung

    4 °C,-20 °C

    Informationen zur Lagerung

    Store at 4°C for frequent use. Stored at -20°C in a manual defrost freezer for two year without detectable loss of activity. Avoid repeated freeze-thaw cycles.

    Haltbarkeit

    24 months
  • Target

    Cytokeratin 7 (KRT7) (Keratin 7 (KRT7))

    Andere Bezeichnung

    Cytokeratin 7

    Hintergrund

    KRT7, K2C7, K7, SCL, Keratin 7, Sarcolectin, Keratin,55K Type II Cytoskeletal, Keratin, type II cytoskeletal 7

    UniProt

    Q6IG12
Sie sind hier:
Chat with us!