Telefon:
+49 (0)241 95 163 153
Fax:
+49 (0)241 95 163 155
E-Mail:
orders@antikoerper-online.de

HDAC10 Antikörper (AA 10-59)

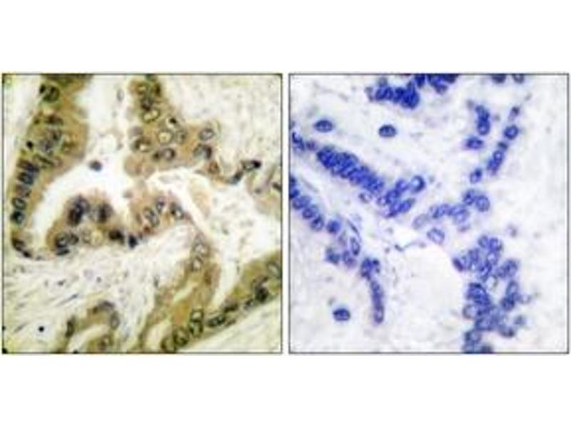
Der Kaninchen Polyklonal anti-HDAC10 Antikörper wird verwendet zum Nachweis von HDAC10 in Proben von Human, Maus und Ratte. Er wurde validiert für WB, ELISA und IHC.
Produktnummer ABIN1533303
402,00 €
Zzgl. Versandkosten 20,00 € und MwSt
Lieferung nach: Deutschland
Lieferung in 6 bis 9 Werktagen

Kurzübersicht für HDAC10 Antikörper (AA 10-59) (ABIN1533303)

Target

Alle HDAC10 Antikörper anzeigen
HDAC10 (Histone Deacetylase 10 (HDAC10))

Reaktivität

  • 77
  • 40
  • 22
  • 4
Human, Maus, Ratte

Wirt

  • 67
  • 10
Kaninchen

Klonalität

  • 50
  • 27
Polyklonal

Konjugat

  • 36
  • 6
  • 4
  • 4
  • 2
  • 2
  • 2
  • 2
  • 2
  • 2
  • 1
  • 1
  • 1
  • 1
  • 1
  • 1
  • 1
  • 1
  • 1
  • 1
  • 1
  • 1
  • 1
  • 1
  • 1
Dieser HDAC10 Antikörper ist unkonjugiert

Applikation

  • 46
  • 28
  • 20
  • 18
  • 13
  • 13
  • 13
  • 11
  • 6
  • 5
  • 3
  • 2
  • 1
  • 1
Western Blotting (WB), ELISA, Immunohistochemistry (IHC)
  • Bindungsspezifität

    • 15
    • 9
    • 8
    • 8
    • 1
    • 1
    • 1
    • 1
    • 1
    • 1
    • 1
    • 1
    AA 10-59

    Spezifität

    HDAC10 Antibody detects endogenous levels of total HDAC10 protein.

    Aufreinigung

    The antibody was purified from rabbit antiserum by affinity-chromatography using immunogen.

    Reinheit

    > 95 %

    Immunogen

    The antiserum was produced against synthesized peptide derived from human HDAC10.

    Isotyp

    IgG
  • Applikationshinweise

    WB: 1:500~1:1000 IHC: 1:50~1:100 ELISA: 1:5000

    Kommentare

    Unigene-Number: Hs.26593 (NCBI Gene Symbol: HDAC10)

    Beschränkungen

    Nur für Forschungszwecke einsetzbar
  • Format

    Liquid

    Konzentration

    1 mg/mL

    Buffer

    phosphate buffered saline (without Mg2+ and Ca2+), pH 7.4, 150 mM NaCl, 0.02 % sodium azide and 50 % glycerol.

    Konservierungsmittel

    Sodium azide

    Vorsichtsmaßnahmen

    This product contains sodium azide: a POISONOUS AND HAZARDOUS SUBSTANCE which should be handled by trained staff only.

    Lagerung

    -20 °C

    Informationen zur Lagerung

    Stable at -20°C for at least 1 year.

    Haltbarkeit

    12 months
  • Target

    HDAC10 (Histone Deacetylase 10 (HDAC10))

    Andere Bezeichnung

    HDAC10

    Hintergrund

    Synonyms: Histone deacetylase 10, HD10

    NCBI Gene Symbol: HDAC10

    Molekulargewicht

    71 kDa

    Gen-ID

    83933

    OMIM

    608544

    UniProt

    Q969S8
Sie sind hier:
Chat with us!