Telefon:
+49 (0)241 95 163 153
Fax:
+49 (0)241 95 163 155
E-Mail:
orders@antikoerper-online.de

Rekombinanter HDAC10 Antikörper

Der Kaninchen Monoklonal anti-HDAC10 Antikörper wird verwendet zum Nachweis von HDAC10 in Proben von Human. Er wurde validiert für WB und FACS.
Produktnummer ABIN7798926
598,92 €
Zzgl. Versandkosten 20,00 € und MwSt
100 μL
Lieferung nach: Deutschland
Lieferung in 7 bis 10 Werktagen

Kurzübersicht für Rekombinanter HDAC10 Antikörper (ABIN7798926)

Target

Alle HDAC10 Antikörper anzeigen
HDAC10 (Histone Deacetylase 10 (HDAC10))

Antikörpertyp

Recombinant Antibody

Reaktivität

  • 77
  • 41
  • 23
  • 4
Human

Wirt

  • 67
  • 10
Kaninchen

Klonalität

  • 51
  • 26
Monoklonal

Konjugat

  • 36
  • 6
  • 4
  • 4
  • 2
  • 2
  • 2
  • 2
  • 2
  • 2
  • 1
  • 1
  • 1
  • 1
  • 1
  • 1
  • 1
  • 1
  • 1
  • 1
  • 1
  • 1
  • 1
  • 1
  • 1
Dieser HDAC10 Antikörper ist unkonjugiert

Applikation

  • 46
  • 29
  • 21
  • 18
  • 13
  • 13
  • 13
  • 11
  • 6
  • 4
  • 3
  • 2
  • 1
  • 1
Western Blotting (WB), Flow Cytometry (FACS)

Güteklasse

KD Validated

Klon

24GB6050
  • Expressionssystem

    HEK-293 Cells

    Verwendungszweck

    KD-Validated Histone deacetylase 10 Recombinant Rabbit mAb

    Kreuzreaktivität

    Maus, Ratte

    Aufreinigung

    Affinity Purified

    Immunogen

    A synthesized peptide derived from human HDAC10

    Isotyp

    IgG
  • Applikationshinweise

    Western Blotting (WB): 1:1,000-1:5,000, Flow Cytometry (FCM): 1:200-1:2,000

    Kommentare

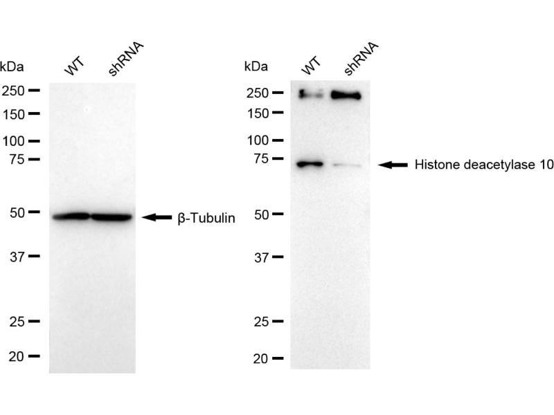
    We assess the antibodies’ specificity and selectivity using knockdown techniques. Our validation approach is straightforward: if an antibody identifies a signal in wild-type (WT) cells, but this signal is absent or noticeably reduced in gene-silenced (KD) cells, we consider the antibody to be highly specific.

    Beschränkungen

    Nur für Forschungszwecke einsetzbar
  • Format

    Liquid

    Buffer

    PBS (pH 7.4) containing 50% glycerol and 0.02% sodium azide.

    Konservierungsmittel

    Sodium azide

    Vorsichtsmaßnahmen

    This product contains Sodium azide: a POISONOUS AND HAZARDOUS SUBSTANCE which should be handled by trained staff only.

    Lagerung

    -20 °C

    Informationen zur Lagerung

    Store at -20 °C for one year.

    Haltbarkeit

    12 months
  • Target

    HDAC10 (Histone Deacetylase 10 (HDAC10))

    Andere Bezeichnung

    Histone deacetylase 10

    Molekulargewicht

    71 kDa

    Gen-ID

    83933

    UniProt

    Q969S8
Sie sind hier:
Chat with us!