Telefon:
+49 (0)241 95 163 153
Fax:
+49 (0)241 95 163 155
E-Mail:
orders@antikoerper-online.de

BIM Antikörper (AA 1-50)

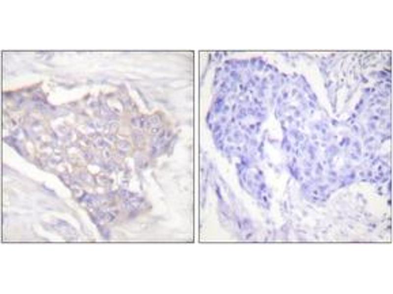
Dieser Kaninchen Polyklonal Antikörper detektiert spezifisch BIM in WB, IHC und ELISA. Es zeigt Reaktivität gegenüber Proben von Human, Maus und Ratte.
Produktnummer ABIN1533217
402,00 €
Zzgl. Versandkosten 20,00 € und MwSt
Lieferung nach: Deutschland
Lieferung in 6 bis 9 Werktagen

Kurzübersicht für BIM Antikörper (AA 1-50) (ABIN1533217)

Target

Alle BIM (BCL2L11) Antikörper anzeigen
BIM (BCL2L11) (BCL2-Like 11 (Apoptosis Facilitator) (BCL2L11))

Reaktivität

  • 126
  • 77
  • 66
  • 6
  • 3
  • 3
  • 2
  • 2
  • 1
  • 1
Human, Maus, Ratte

Wirt

  • 119
  • 7
  • 3
  • 1
Kaninchen

Klonalität

  • 94
  • 36
Polyklonal

Konjugat

  • 69
  • 10
  • 5
  • 4
  • 4
  • 4
  • 4
  • 4
  • 4
  • 4
  • 3
  • 2
  • 1
  • 1
  • 1
  • 1
  • 1
  • 1
  • 1
  • 1
  • 1
  • 1
  • 1
  • 1
  • 1
Dieser BIM Antikörper ist unkonjugiert

Applikation

  • 92
  • 54
  • 50
  • 30
  • 27
  • 22
  • 21
  • 18
  • 14
  • 13
  • 5
  • 5
  • 3
  • 1
  • 1
  • 1
  • 1
  • 1
Western Blotting (WB), Immunohistochemistry (IHC), ELISA
  • Bindungsspezifität

    • 15
    • 14
    • 8
    • 7
    • 7
    • 7
    • 6
    • 6
    • 5
    • 4
    • 3
    • 3
    • 2
    • 2
    • 2
    • 1
    • 1
    • 1
    • 1
    • 1
    • 1
    • 1
    • 1
    • 1
    • 1
    • 1
    • 1
    • 1
    • 1
    • 1
    • 1
    • 1
    AA 1-50

    Spezifität

    BIM Antibody detects endogenous levels of total BIM protein.

    Aufreinigung

    The antibody was purified from rabbit antiserum by affinity-chromatography using immunogen.

    Reinheit

    > 95 %

    Immunogen

    The antiserum was produced against synthesized peptide derived from human BIM.

    Isotyp

    IgG
  • Applikationshinweise

    WB: 1:500~1:1000 IHC: 1:50~1:100 ELISA: 1:20000

    Kommentare

    Unigene-Number: Hs.469658 (NCBI Gene Symbol: BCL2L11)

    Beschränkungen

    Nur für Forschungszwecke einsetzbar
  • Format

    Liquid

    Konzentration

    1 mg/mL

    Buffer

    phosphate buffered saline (without Mg2+ and Ca2+), pH 7.4, 150 mM NaCl, 0.02 % sodium azide and 50 % glycerol.

    Konservierungsmittel

    Sodium azide

    Vorsichtsmaßnahmen

    This product contains sodium azide: a POISONOUS AND HAZARDOUS SUBSTANCE which should be handled by trained staff only.

    Lagerung

    -20 °C

    Informationen zur Lagerung

    Stable at -20°C for at least 1 year.

    Haltbarkeit

    12 months
  • Target

    BIM (BCL2L11) (BCL2-Like 11 (Apoptosis Facilitator) (BCL2L11))

    Andere Bezeichnung

    BIM

    Hintergrund

    Synonyms: BCL2 interacting mediator of cell death, BCL2-like protein 11, BCL2L11, BOD, Bcl-2 related ovarian death protein, Bcl2 interacting mediator of cell death, Bcl2-like protein 11

    NCBI Gene Symbol: BCL2L11

    Molekulargewicht

    22 kDa

    Gen-ID

    10018

    OMIM

    603827

    UniProt

    O43521

    Pathways

    PI3K-Akt Signalweg, Neurotrophin Signalübertragung, Tube Formation, Positive Regulation of Endopeptidase Activity
Sie sind hier:
Chat with us!