Telefon:
+49 (0)241 95 163 153
Fax:
+49 (0)241 95 163 155
E-Mail:
orders@antikoerper-online.de

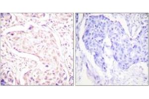
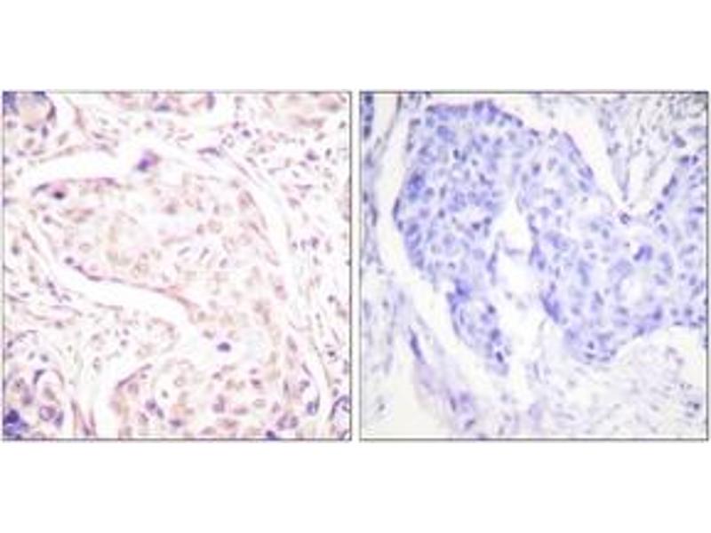
c-FOS Antikörper (AA 331-380)

Dieser Kaninchen Polyklonal Antikörper detektiert spezifisch c-FOS in ELISA und IHC. Es zeigt Reaktivität gegenüber Proben von Human, Ratte und Maus.
Produktnummer ABIN1532294
402,00 €
Zzgl. Versandkosten 20,00 € und MwSt
Lieferung nach: Deutschland
Lieferung in 6 bis 9 Werktagen

Kurzübersicht für c-FOS Antikörper (AA 331-380) (ABIN1532294)

Target

Alle c-FOS (c-Fos) Antikörper anzeigen
c-FOS (c-Fos) (c-Fos)

Reaktivität

  • 203
  • 161
  • 144
  • 13
  • 12
  • 11
  • 8
  • 7
  • 6
  • 5
  • 4
  • 3
  • 3
  • 2
  • 1
Human, Ratte, Maus

Wirt

  • 195
  • 35
  • 6
  • 1
  • 1
Kaninchen

Klonalität

  • 189
  • 48
Polyklonal

Konjugat

  • 107
  • 10
  • 8
  • 7
  • 6
  • 6
  • 6
  • 6
  • 6
  • 6
  • 6
  • 6
  • 6
  • 6
  • 6
  • 4
  • 4
  • 4
  • 4
  • 4
  • 4
  • 3
  • 2
  • 2
  • 2
  • 2
  • 2
  • 1
  • 1
  • 1
Dieser c-FOS Antikörper ist unkonjugiert

Applikation

  • 190
  • 80
  • 80
  • 75
  • 43
  • 42
  • 34
  • 28
  • 25
  • 12
  • 9
  • 8
  • 6
  • 1
  • 1
  • 1
ELISA, Immunohistochemistry (IHC)
  • Bindungsspezifität

    • 26
    • 24
    • 22
    • 19
    • 16
    • 15
    • 15
    • 12
    • 10
    • 7
    • 2
    • 2
    • 2
    • 2
    • 2
    • 2
    • 2
    • 2
    • 1
    • 1
    • 1
    • 1
    • 1
    • 1
    • 1
    • 1
    • 1
    • 1
    • 1
    • 1
    • 1
    • 1
    • 1
    • 1
    • 1
    • 1
    • 1
    • 1
    • 1
    • 1
    • 1
    • 1
    • 1
    • 1
    AA 331-380

    Spezifität

    Fos Antibody detects endogenous levels of total Fos protein.

    Aufreinigung

    The antibody was purified from rabbit antiserum by affinity-chromatography using immunogen.

    Reinheit

    > 95 %

    Immunogen

    The antiserum was produced against synthesized peptide derived from human Fos.

    Isotyp

    IgG
  • Applikationshinweise

    IHC: 1:50~1:100 ELISA: 1:1000

    Kommentare

    Unigene-Number: Hs.25647 (NCBI Gene Symbol: FOS)

    Beschränkungen

    Nur für Forschungszwecke einsetzbar
  • Format

    Liquid

    Konzentration

    1 mg/mL

    Buffer

    phosphate buffered saline (without Mg2+ and Ca2+), pH 7.4, 150 mM NaCl, 0.02 % sodium azide and 50 % glycerol.

    Konservierungsmittel

    Sodium azide

    Vorsichtsmaßnahmen

    This product contains sodium azide: a POISONOUS AND HAZARDOUS SUBSTANCE which should be handled by trained staff only.

    Lagerung

    -20 °C

    Informationen zur Lagerung

    Stable at -20°C for at least 1 year.

    Haltbarkeit

    12 months
  • Target

    c-FOS (c-Fos) (c-Fos)

    Andere Bezeichnung

    Fos

    Hintergrund

    Synonyms: Cellular oncogene fos, FOS, G0/G1 switch regulatory protein 7, G0S7, Proto-oncogene protein c-fos

    NCBI Gene Symbol: FOS

    Molekulargewicht

    40 kDa

    Gen-ID

    2353

    OMIM

    164810

    UniProt

    P01100

    Pathways

    S100 Proteine
Sie sind hier:
Chat with us!