Telefon:
+49 (0)241 95 163 153
Fax:
+49 (0)241 95 163 155
E-Mail:
orders@antikoerper-online.de

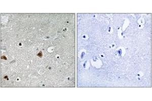
GPS1 Antikörper (pSer454)

Der Kaninchen Polyklonal anti-GPS1 Antikörper (ABIN1532135) detektiert spezifisch GPS1 in IHC und ELISA. Dieser Antikörper reagiert spezifisch mit Proben aus Human, Maus und Ratte.
Produktnummer ABIN1532135
402,00 €
Zzgl. Versandkosten 20,00 € und MwSt
Lieferung nach: Deutschland
Lieferung in 6 bis 9 Werktagen

Kurzübersicht für GPS1 Antikörper (pSer454) (ABIN1532135)

Target

Alle GPS1 Antikörper anzeigen
GPS1 (G Protein Pathway Suppressor 1 (GPS1))

Reaktivität

  • 43
  • 40
  • 27
  • 8
  • 4
  • 3
  • 3
  • 3
  • 3
  • 2
  • 2
  • 1
  • 1
  • 1
Human, Maus, Ratte

Wirt

  • 49
  • 4
  • 1
Kaninchen

Klonalität

  • 51
  • 3
Polyklonal

Konjugat

  • 34
  • 2
  • 2
  • 2
  • 2
  • 1
  • 1
  • 1
  • 1
  • 1
  • 1
  • 1
  • 1
  • 1
  • 1
  • 1
  • 1
Dieser GPS1 Antikörper ist unkonjugiert

Applikation

  • 47
  • 19
  • 17
  • 13
  • 10
  • 6
  • 6
  • 5
  • 1
  • 1
Immunohistochemistry (IHC), ELISA
  • Bindungsspezifität

    • 16
    • 8
    • 3
    • 3
    • 3
    • 2
    • 2
    • 2
    • 1
    • 1
    • 1
    • 1
    • 1
    • 1
    • 1
    • 1
    • 1
    • 1
    • 1
    • 1
    • 1
    AA 420-469, pSer454

    Spezifität

    COPS1 (Phospho-Ser454) Antibody detects endogenous levels of COPS1 only when phosphorylated at Ser454.

    PhosphorylationH:S454 M:S454 R:S454

    Aufreinigung

    The antibody was purified from rabbit antiserum by affinity-chromatography using phospho peptide. The antibody against non-phospho peptide was removed by chromatography using corresponding non-phospho peptide.

    Reinheit

    > 95 %

    Immunogen

    The antiserum was produced against synthesized peptide derived from human COPS1 around the phosphorylation site of Ser454.

    Isotyp

    IgG
  • Applikationshinweise

    IHC: 1:50~1:100 ELISA: 1:1000

    Kommentare

    Unigene-Number: Hs.268530 (NCBI Gene Symbol: GPS1)

    Beschränkungen

    Nur für Forschungszwecke einsetzbar
  • Format

    Liquid

    Konzentration

    1 mg/mL

    Buffer

    phosphate buffered saline (without Mg2+ and Ca2+), pH 7.4, 150 mM NaCl, 0.02 % sodium azide and 50 % glycerol.

    Konservierungsmittel

    Sodium azide

    Vorsichtsmaßnahmen

    This product contains sodium azide: a POISONOUS AND HAZARDOUS SUBSTANCE which should be handled by trained staff only.

    Lagerung

    -20 °C

    Informationen zur Lagerung

    Stable at -20°C for at least 1 year.

    Haltbarkeit

    12 months
  • Target

    GPS1 (G Protein Pathway Suppressor 1 (GPS1))

    Andere Bezeichnung

    COPS1

    Hintergrund

    Synonyms: COP9 signalosome complex subunit 1, CSN1, G protein pathway suppressor 1, GPS1, GPS1 protein, MFH protein

    NCBI Gene Symbol: GPS1

    Molekulargewicht

    53 kDa

    Gen-ID

    2873

    OMIM

    601934

    UniProt

    Q13098

    Pathways

    Zellzyklus
Sie sind hier:
Chat with us!