Telefon:
+49 (0)241 95 163 153
Fax:
+49 (0)241 95 163 155
E-Mail:
orders@antikoerper-online.de

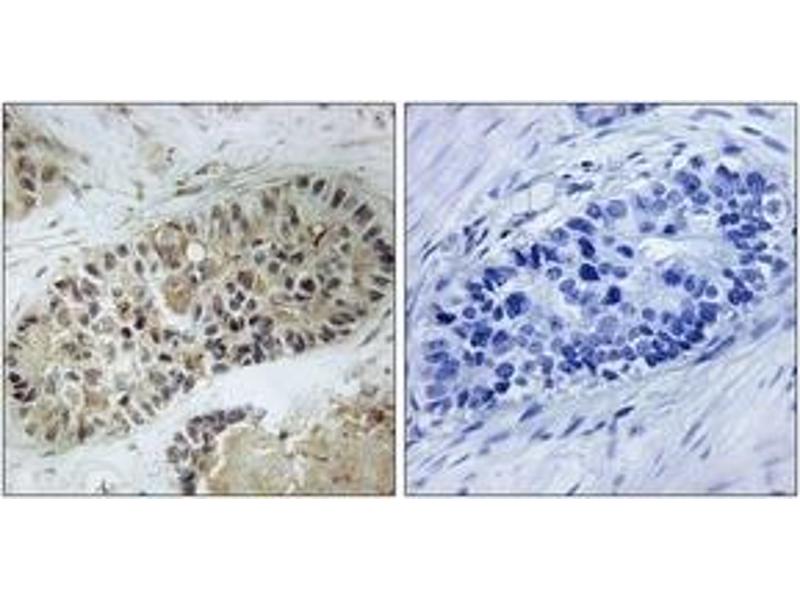
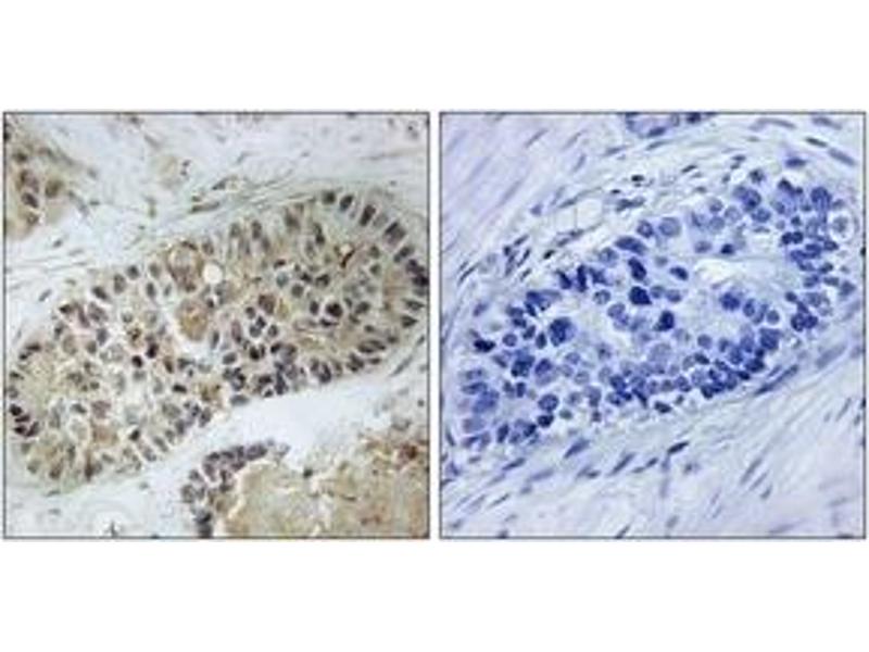
DCLRE1C Antikörper (pSer516)

Der Kaninchen Polyklonal anti-DCLRE1C Antikörper (ABIN1531298) detektiert spezifisch DCLRE1C in WB, ELISA und IHC. Dieser Antikörper reagiert spezifisch mit Proben aus Human und Maus.
Produktnummer ABIN1531298
402,00 €
Zzgl. Versandkosten 20,00 € und MwSt
Lieferung nach: Deutschland
Lieferung in 6 bis 9 Werktagen

Kurzübersicht für DCLRE1C Antikörper (pSer516) (ABIN1531298)

Target

Alle DCLRE1C Antikörper anzeigen
DCLRE1C (DNA Cross-Link Repair 1C (DCLRE1C))

Reaktivität

  • 43
  • 28
  • 25
  • 4
  • 4
  • 3
  • 3
  • 3
  • 2
  • 2
  • 1
  • 1
Human, Maus

Wirt

  • 56
  • 3
Kaninchen

Klonalität

  • 59
Polyklonal

Konjugat

  • 33
  • 3
  • 2
  • 2
  • 1
  • 1
  • 1
  • 1
  • 1
  • 1
  • 1
  • 1
  • 1
  • 1
  • 1
  • 1
  • 1
  • 1
  • 1
  • 1
  • 1
  • 1
  • 1
Dieser DCLRE1C Antikörper ist unkonjugiert

Applikation

  • 45
  • 24
  • 20
  • 13
  • 13
  • 9
  • 5
  • 3
  • 2
  • 1
  • 1
  • 1
  • 1
Western Blotting (WB), ELISA, Immunohistochemistry (IHC)
  • Bindungsspezifität

    • 15
    • 8
    • 7
    • 4
    • 4
    • 2
    • 2
    • 2
    • 2
    • 2
    • 1
    • 1
    • 1
    • 1
    • 1
    • 1
    AA 482-531, pSer516

    Spezifität

    Artemis (Phospho-Ser516) Antibody detects endogenous levels of Artemis only when phosphorylated at Ser516.

    PhosphorylationH:S516 M:S518

    Aufreinigung

    The antibody was purified from rabbit antiserum by affinity-chromatography using phospho peptide. The antibody against non-phospho peptide was removed by chromatography using corresponding non-phospho peptide.

    Reinheit

    > 95 %

    Immunogen

    The antiserum was produced against synthesized peptide derived from human Artemis around the phosphorylation site of Ser516.

    Isotyp

    IgG
  • Applikationshinweise

    WB: 1:500~1:1000 IHC: 1:50~1:100 ELISA: 1:1000

    Kommentare

    Unigene-Number: Hs.656065 (NCBI Gene Symbol: DCLRE1C)

    Beschränkungen

    Nur für Forschungszwecke einsetzbar
  • Format

    Liquid

    Konzentration

    1 mg/mL

    Buffer

    phosphate buffered saline (without Mg2+ and Ca2+), pH 7.4, 150 mM NaCl, 0.02 % sodium azide and 50 % glycerol.

    Konservierungsmittel

    Sodium azide

    Vorsichtsmaßnahmen

    This product contains sodium azide: a POISONOUS AND HAZARDOUS SUBSTANCE which should be handled by trained staff only.

    Lagerung

    -20 °C

    Informationen zur Lagerung

    Stable at -20°C for at least 1 year.

    Haltbarkeit

    12 months
  • Target

    DCLRE1C (DNA Cross-Link Repair 1C (DCLRE1C))

    Andere Bezeichnung

    Artemis

    Hintergrund

    Synonyms: A-SCID protein, ARTEMIS, ASCID, DCLRE1C, DCR1C, DNA cross-link repair 1C protein, SCIDA, SNM1- like protein, SNM1C

    NCBI Gene Symbol: DCLRE1C

    Molekulargewicht

    78 kDa

    Gen-ID

    64421

    OMIM

    602450

    UniProt

    Q96SD1

    Pathways

    DNA Reparatur
Sie sind hier:
Chat with us!