Telefon:
+49 (0)241 95 163 153
Fax:
+49 (0)241 95 163 155
E-Mail:
orders@antikoerper-online.de

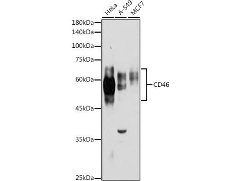
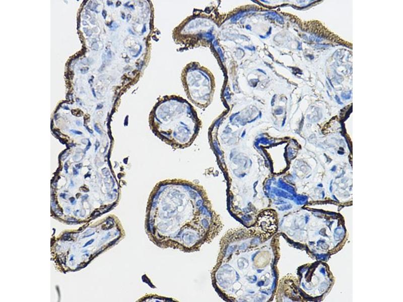
CD46 Antikörper (AA 40-320)

Dieser Kaninchen Polyklonal Antikörper detektiert spezifisch CD46 in WB, IHC und IF. Es zeigt Reaktivität gegenüber Proben von Human.
Produktnummer ABIN1512715
320,00 €
Zzgl. Versandkosten 20,00 € und MwSt
Lieferung nach: Deutschland
Lieferung in 7 bis 9 Werktagen

Kurzübersicht für CD46 Antikörper (AA 40-320) (ABIN1512715)

Target

Alle CD46 Antikörper anzeigen
CD46

Reaktivität

  • 144
  • 34
  • 21
  • 11
  • 10
  • 3
Human

Wirt

  • 90
  • 71
  • 2
  • 2
Kaninchen

Klonalität

  • 97
  • 68
Polyklonal

Konjugat

  • 62
  • 16
  • 14
  • 10
  • 6
  • 4
  • 3
  • 3
  • 3
  • 3
  • 3
  • 3
  • 2
  • 2
  • 2
  • 2
  • 2
  • 2
  • 2
  • 2
  • 1
  • 1
  • 1
  • 1
  • 1
  • 1
  • 1
  • 1
  • 1
  • 1
  • 1
  • 1
  • 1
  • 1
  • 1
  • 1
  • 1
  • 1
  • 1
Dieser CD46 Antikörper ist unkonjugiert

Applikation

  • 94
  • 92
  • 50
  • 41
  • 36
  • 28
  • 18
  • 15
  • 14
  • 9
  • 8
  • 5
  • 5
  • 2
  • 2
  • 1
  • 1
  • 1
  • 1
Western Blotting (WB), Immunohistochemistry (IHC), Immunofluorescence (IF)
  • Bindungsspezifität

    • 16
    • 10
    • 6
    • 5
    • 5
    • 3
    • 3
    • 2
    • 2
    • 2
    • 2
    • 2
    • 1
    • 1
    • 1
    • 1
    • 1
    • 1
    AA 40-320

    Sequenz

    TFEAMELIGK PKPYYEIGER VDYKCKKGYF YIPPLATHTI CDRNHTWLPV SDDACYRETC PYIRDPLNGQ AVPANGTYEF GYQMHFICNE GYYLIGEEIL YCELKGSVAI WSGKPPICEK VLCTPPPKIK NGKHTFSEVE VFEYLDAVTY SCDPAPGPDP FSLIGESTIY CGDNSVWSRA APECKVVKCR FPVVENGKQI SGFGKKFYYK ATVMFECDKG FYLDGSDTIV CDSNSTWDPP VPKCLKVSTS STTKSPASSA SGPRPTYKPP VSNYPGYPKP E

    Kreuzreaktivität

    Human, Maus, Ratte

    Produktmerkmale

    Polyclonal Antibodies

    Aufreinigung

    Affinity purification

    Immunogen

    Recombinant fusion protein containing a sequence corresponding to amino acids 40-320 of human CD46 (NP_722548.1).

    Isotyp

    IgG
  • Applikationshinweise

    WB,1:500 - 1:2000,IHC,1:50 - 1:200,IF,1:50 - 1:200

    Beschränkungen

    Nur für Forschungszwecke einsetzbar
  • Format

    Liquid

    Buffer

    PBS with 0.02 % sodium azide,50 % glycerol, pH 7.3.

    Konservierungsmittel

    Sodium azide

    Vorsichtsmaßnahmen

    This product contains Sodium azide: a POISONOUS AND HAZARDOUS SUBSTANCE which should be handled by trained staff only.

    Handhabung

    Avoid freeze / thaw cycles

    Lagerung

    -20 °C

    Informationen zur Lagerung

    Store at -20°C. Avoid freeze / thaw cycles.
  • Target

    CD46

    Andere Bezeichnung

    CD46

    Hintergrund

    The protein encoded by this gene is a type I membrane protein and is a regulatory part of the complement system. The encoded protein has cofactor activity for inactivation of complement components C3b and C4b by serum factor I, which protects the host cell from damage by complement. In addition, the encoded protein can act as a receptor for the Edmonston strain of measles virus, human herpesvirus-6, and type IV pili of pathogenic Neisseria. Finally, the protein encoded by this gene may be involved in the fusion of the spermatozoa with the oocyte during fertilization. Mutations at this locus have been associated with susceptibility to hemolytic uremic syndrome. Alternatively spliced transcript variants encoding different isoforms have been described.,AHUS2,MCP,MIC10,TLX,TRA2.10,CD46,Immunology & Inflammation,CD markers,Cell Intrinsic Innate Immunity Signaling Pathway,CD46

    Molekulargewicht

    36 kDa/39 kDa/40 kDa/41 kDa/42 kDa/43 kDa/44 kDa

    Gen-ID

    4179

    UniProt

    P15529

    Pathways

    Regulation of Actin Filament Polymerization
Sie sind hier:
Chat with us!