PKC epsilon Antikörper
Kurzübersicht für PKC epsilon Antikörper (ABIN1500229)
Target
Alle PKC epsilon (PRKCE) Antikörper anzeigenReaktivität
Wirt
Klonalität
Konjugat
Applikation
Klon
-
-
Spezifität
- Human PKC Epsilon
-
Aufreinigung
- Protein A/G purified
-
Immunogen
-
Full length human recombinant protein of human PRKCE (NP_005391) produced in HEK293T cell.
Type of Immunogen: Recombinant protein -
Isotyp
- IgG2b
-
-
-
-
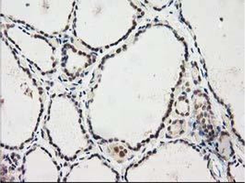
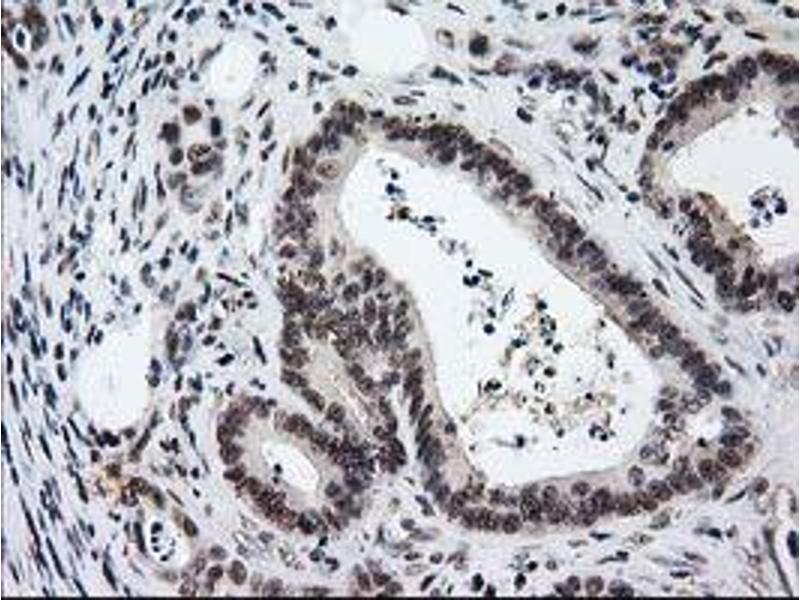
Applikationshinweise
- Approved: Flo (1:100), IF (1:100), IHC, IHC-P (1:150), WB (1:1000 - 1:2000)
-
Kommentare
-
Target Species of Antibody: Human
-
Beschränkungen
- Nur für Forschungszwecke einsetzbar
-
-
-
Format
- Liquid
-
Konzentration
- Lot specific
-
Buffer
- PBS, pH 7.3, 1 % BSA, 50 % glycerol, 0.02 % sodium azide
-
Konservierungsmittel
- Sodium azide
-
Vorsichtsmaßnahmen
- This product contains Sodium azide: a POISONOUS AND HAZARDOUS SUBSTANCE which should be handled by trained staff only.
-
Handhabung
- Minimize freezing and thawing.
-
Lagerung
- -20 °C
-
Informationen zur Lagerung
- Store at -20°C. Avoid freeze-thaw cycles.
-
-
- PKC epsilon (PRKCE) (Protein Kinase C, epsilon (PRKCE))
-
Andere Bezeichnung
- PRKCE / PKC-Epsilon
-
Hintergrund
-
Name/Gene ID: PRKCE
Subfamily: PKC
Family: Protein Kinase
Synonyms: PRKCE, NPKC-epsilon, PKC epsilon, Protein kinase C epsilon, Protein kinase C epsilon type, Pkcepsilon, PKCE, Protein kinase C, epsilon -
Gen-ID
- 5581
-
NCBI Accession
- NP_005391
-
UniProt
- Q02156
-
Pathways
- T-Zell Rezeptor Signalweg, EGFR Signaling Pathway, Neurotrophin Signalübertragung, Positive Regulation of Peptide Hormone Secretion, Activation of Innate immune Response, Cellular Response to Molecule of Bacterial Origin, Regulation of Actin Filament Polymerization, Myometrial Relaxation and Contraction, Regulation of Carbohydrate Metabolic Process, Interaction of EGFR with phospholipase C-gamma, Thromboxane A2 Receptor Signaling
Target
-