Telefon:
+49 (0)241 95 163 153
Fax:
+49 (0)241 95 163 155
E-Mail:
orders@antikoerper-online.de

GOLM1 Antikörper

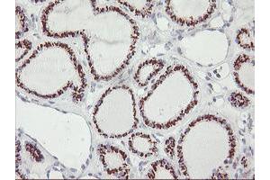
Der Maus Monoklonal anti-GOLM1 Antikörper (Klon 3D7) (ABIN1498497) detektiert spezifisch GOLM1 in WB, IHC und IHC (p). Dieser Antikörper reagiert spezifisch mit Proben aus Human.
Produktnummer ABIN1498497
806,47 €
Zzgl. Versandkosten 20,00 € und MwSt
100 μL
Lieferung nach: Deutschland
Lieferung in 15 bis 20 Werktagen

Kurzübersicht für GOLM1 Antikörper (ABIN1498497)

Target

Alle GOLM1 Antikörper anzeigen
GOLM1 (Golgi Membrane Protein 1 (GOLM1))

Reaktivität

  • 92
  • 36
  • 27
  • 3
  • 2
  • 2
  • 2
  • 1
  • 1
  • 1
  • 1
  • 1
Human

Wirt

  • 67
  • 33
  • 1
Maus

Klonalität

  • 52
  • 49
Monoklonal

Konjugat

  • 55
  • 14
  • 6
  • 3
  • 3
  • 3
  • 3
  • 3
  • 3
  • 3
  • 1
  • 1
  • 1
  • 1
  • 1
Dieser GOLM1 Antikörper ist unkonjugiert

Applikation

  • 74
  • 44
  • 34
  • 30
  • 24
  • 22
  • 10
  • 6
  • 3
  • 2
  • 2
  • 2
  • 1
  • 1
  • 1
Western Blotting (WB), Immunohistochemistry (IHC), Immunohistochemistry (Paraffin-embedded Sections) (IHC (p))

Klon

3D7
  • Spezifität

    Human GP73 / GOLPH2

    Aufreinigung

    Protein A/G purified

    Immunogen

    Full length human recombinant protein of human GOLM1(NP_808800) produced in HEK293T cell.

    Type of Immunogen: Recombinant protein

    Isotyp

    IgG2b
  • Applikationshinweise

    Approved: IHC, IHC-P (1:150), WB (1:2000)

    Kommentare

    Target Species of Antibody: Human

    Beschränkungen

    Nur für Forschungszwecke einsetzbar
  • Format

    Liquid

    Konzentration

    Lot specific

    Buffer

    PBS,  pH 7.3, 1 % BSA, 50 % glycerol, 0.02 % sodium azide

    Konservierungsmittel

    Sodium azide

    Vorsichtsmaßnahmen

    This product contains Sodium azide: a POISONOUS AND HAZARDOUS SUBSTANCE which should be handled by trained staff only.

    Handhabung

    Minimize freezing and thawing.

    Lagerung

    -20 °C

    Informationen zur Lagerung

    Store at -20°C. Avoid freeze-thaw cycles.
  • Target

    GOLM1 (Golgi Membrane Protein 1 (GOLM1))

    Andere Bezeichnung

    GOLM1 / GP73 / GOLPH2

    Hintergrund

    Name/Gene ID: GOLM1

    Synonyms: GOLM1, BA379P1.3, Golgi membrane protein GP73, Golgi phosphoprotein 2, Golgi protein, 73-kD, gp73, GOLPH2, PSEC0257, C9orf155, Golgi membrane protein 1

    Gen-ID

    51280

    NCBI Accession

    NP_808800

    UniProt

    Q8NBJ4
Sie sind hier:
Chat with us!